症例詳細
Case detail
欠損した奥歯 インプラントによる補綴治療
治療症例の内容
- 患者様
- 40代男性
- 治療期間
- 9ヶ月
- 治療回数
- 5-10回
- 治療計画
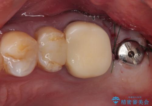
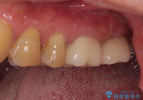
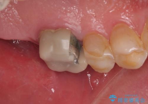
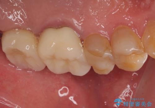
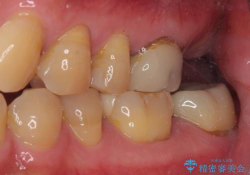
- 破損したクラウンと、奥歯の欠損を気にして来院された患者様です。
奥歯の欠損部はインプラントによる補綴治療を、手前の破損したクラウンは作り替えをご希望でした。
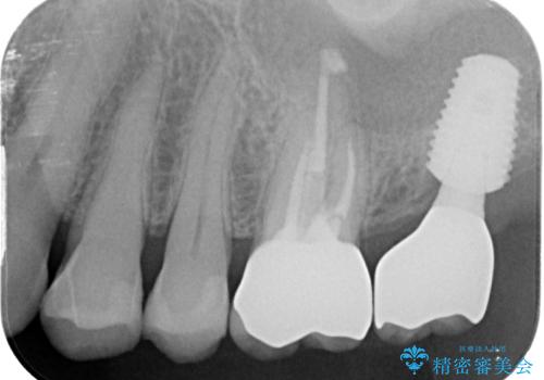
しかしながら、レントゲンやCT画像から、手前の破損したクラウンの根尖部に大きな病変が認められ、インプラント埋入部にまで病変が及んでいることから、まずは手前の根管治療を行い、病変の正体を確認した後にインプラント埋入を行うこととしました。
- 費用(概算)
- 75万円(税込)費用は治療当時の料金となります
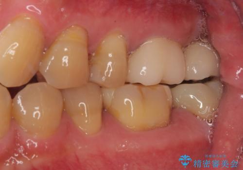
治療について
口があまり開かず、インプラントの埋入角度がやや斜めとなりましたが、機能的には全く問題なく治療を終えることができました。
セラミック治療の注意事項(リスク・副作用など)
- 天然歯を削ります
- 硬い素材は天然歯を傷つけてしまう場合があります
- かみ合わせや歯ぎしりが強すぎる方はセラミックが割れてしまう可能性があります
- 自費診療(保険適用外治療)となります
インプラント治療の注意事項(リスク・副作用など)
- 外科手術のため、術後に痛みや腫れ、違和感を伴います
- メンテナンスを怠ったり喫煙により、お口の中に大きな悪影響を及ぼすインプラント周囲炎等にかかる可能性があります
- 糖尿病、肝硬変、心臓病等の場合、インプラント治療ができない可能性があります
- 高血圧、貧血・不整脈等の場合、インプラント治療後に治癒不全を招く可能性があります
- 自費診療(保険適用外治療)となります
根管治療の注意事項(リスク・副作用など)
- 根管治療により類似の全ての症例の問題が解決するわけではなく、症例はあくまでも一例です
- 根管治療により痛みや腫れがひかない事や、術後に痛みや腫れが生じる事、治療によるファイル破折やパーフォレーションなどの偶発症、術後の歯根破折を生じる可能性もあります
- 自費診療(保険適用外)となります
当サイトの内容、テキスト、画像等の無断転載、複製、複写、盗用を固く禁じます。
















