症例詳細
Case detail
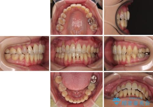
急速拡大装置 狭い骨幅を拡大した上で、顕著なデコボコを改善する抜歯矯正治療
治療症例の内容
- 診療科目
- 担当医
- 藤巻太一朗(ドクタープロフィール)
- 患者様
- 20代女性
- 矯正装置
- 審美装置
- 治療期間
- 4年4ヶ月
- 治療回数
- 30回以上
- 治療計画
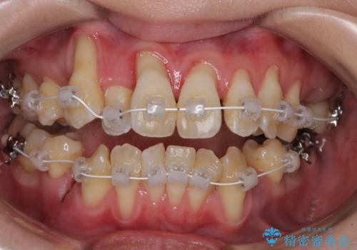
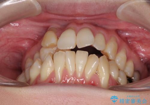
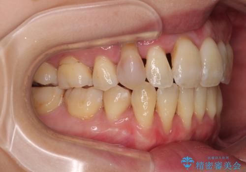
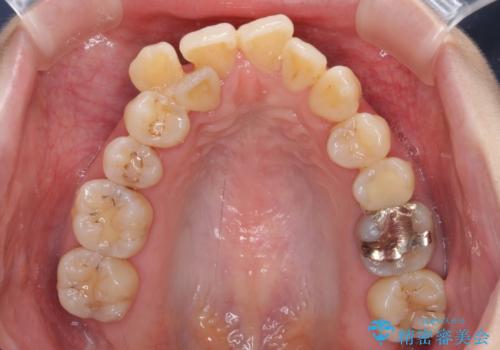
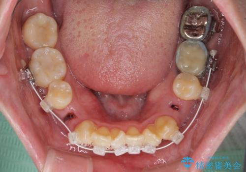
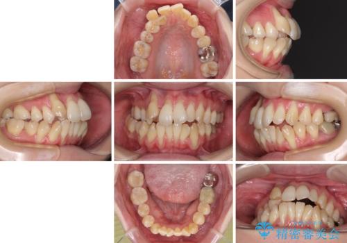
- 前歯のデコボコと唇の閉じにくさを気にして来院された患者様です。
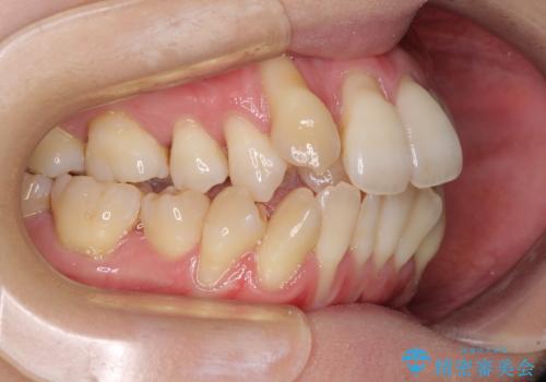
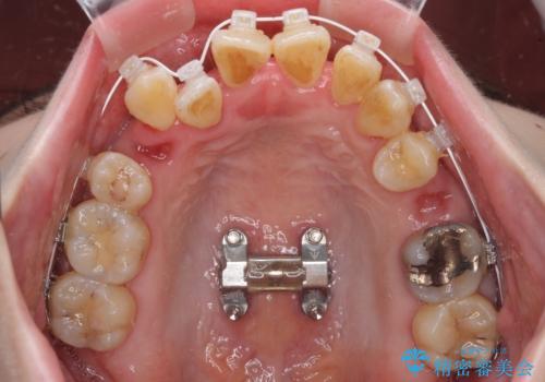
上顎骨よりも下顎骨の幅が広く、更には下顎骨が左側に変位していたため、より良い咬み合わせを達成することを目的として、急速拡大装置を用いて上顎骨を拡大することとしました。
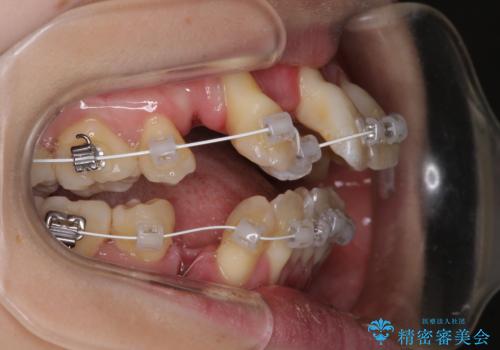
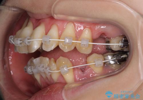
デコボコが強い上に、口元の突出感も気にしていたため、上下左右の小臼歯4本を抜歯して、ワイヤー装置にて矯正治療を行うこととしました。
- 費用(概算)
- 120万円(税込)費用は治療当時の料金となります
治療について
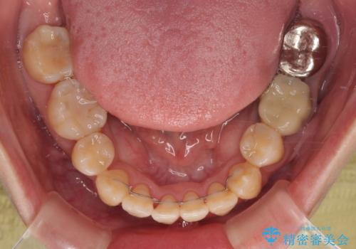
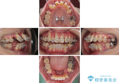
歯根露出が顕著であったため、歯の移動は早く、スムーズに治療を終えられるかと思いましたが、歯槽骨が硬く、治療は長期間に及びました。
過剰に力をかけ続ける事態となり、一部の歯では変色したり、神経が失活したりとトラブルが続きました。
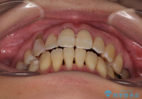
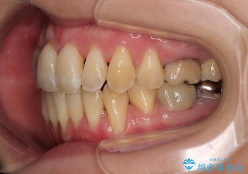
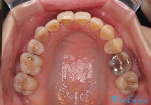
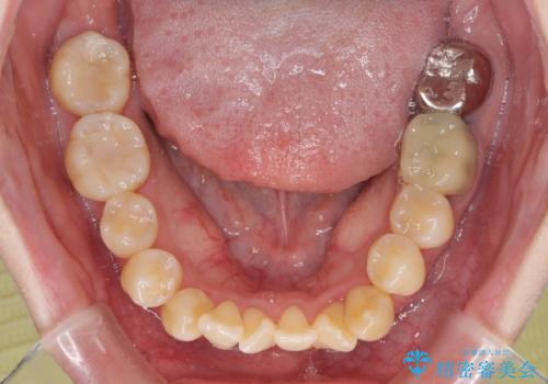
それでも当初とは比べものにならないほど、綺麗な歯列に仕上げることができました。
ワイヤー矯正の注意事項(リスク・副作用など)
- 治療中は違和感や痛みが起こることがあります
- 症状により、抜歯が必要な場合があります
- 治療中は歯磨きがしにくくなるため、虫歯や歯周病になりやすくなります
- 矯正治療後の保定が不十分だと後戻り(元の位置に戻ろうとする動き)をします
- 自費診療(保険適用外)となります
当サイトの内容、テキスト、画像等の無断転載、複製、複写、盗用を固く禁じます。



























