症例詳細
Case detail
前歯の見た目と根の悩みを根本から解決
治療症例の内容
- 診療科目
- 担当医
- 河口智英(ドクタープロフィール)
- 患者様
- 20代女性
- 治療期間
- 2ヶ月
- 治療回数
- 2-5回
- 治療計画
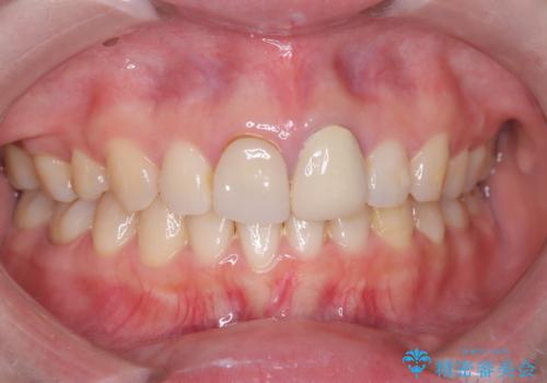
- 以前他院で治療した前歯の被せものの見た目の不満を主訴にご来院されました。レントゲンと診査の結果、被せものの不適合だけでなく、その土台となる歯の根管充填(根の治療の詰め物)が不十分であることが判明。再感染のリスクを避けるため、まず精密根管治療を行い、その後に最も審美性に優れたオールセラミッククラウンで修復する治療計画を立案しました。これにより、見た目の改善と歯の寿命の長期化を目指しました。
- 費用(概算)
- 45万円費用は治療当時の料金となります
治療について
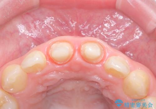
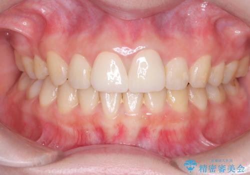
治療は、再感染の原因となっていた粗な根管充填材を丁寧に取り除く精密根管治療から開始しました。治療中はラバーダムと歯科用顕微鏡を使用し、根管内を徹底的に清掃・消毒。根の先まで緊密に薬を詰めることで、再発リスクを最小限に抑えました。根管治療の完了後、歯ぐきの状態を整え、周囲の歯と調和するオールセラミッククラウンを作製。金属を一切使わないため、透明感のある自然な仕上がりとなり、長年の見た目のコンプレックスも解消。歯の内部から表面までを根本的に改善することができました。
セラミック治療の注意事項(リスク・副作用など)
- 天然歯を削ります
- 硬い素材は天然歯を傷つけてしまう場合があります
- かみ合わせや歯ぎしりが強すぎる方はセラミックが割れてしまう可能性があります
- 自費診療(保険適用外治療)となります
当サイトの内容、テキスト、画像等の無断転載、複製、複写、盗用を固く禁じます。





