症例詳細
Case detail
前歯の破折も1日で解決!抜歯即時インプラントで自然な笑顔へ
治療症例の内容
- 患者様
- 30代女性
- 治療期間
- 3ヶ月
- 治療回数
- 2-5回
- 治療計画
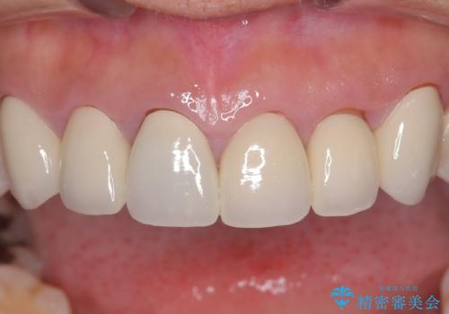
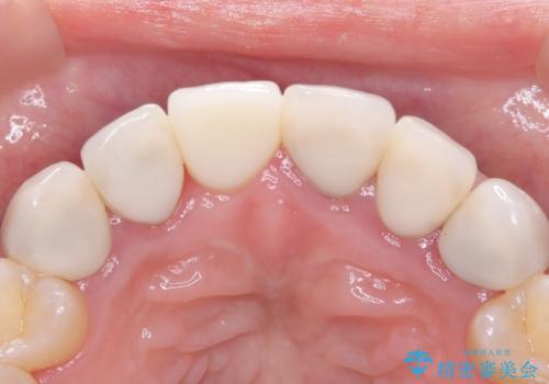
- 前歯の痛みと破折を主訴にご来院されました。精密な診査の結果、歯の根元までひび割れが進行し、保存が困難であると診断。見た目にも関わる前歯を失うことへの患者様の不安を考慮し、抜歯と同時にインプラントを埋入する抜歯即時埋入インプラントによる治療計画を立案しました。これにより、歯がない期間を最小限に抑え、治療期間と身体への負担を軽減しながら、審美性の高い新しい歯を獲得することを目指します。
- 費用(概算)
- 50万円費用は治療当時の料金となります
治療について
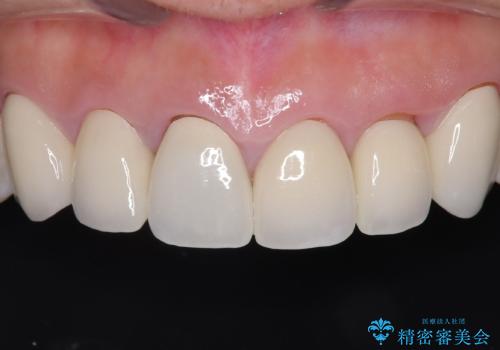
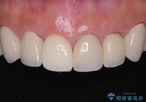
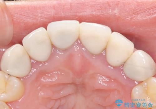
今回の治療では、まず原因となっていた前歯を慎重に抜歯し、その直後にインプラントを埋入しました。抜歯即時埋入は、歯を失うのとほぼ同時に新しい歯の土台を確保できるため、骨の吸収を防ぎ、仕上がりの美しさを保つ上で非常に有効です。また、治療当日に仮歯を装着することで、歯がない期間をなくし、患者様の精神的なご負担にも配慮しました。最終的に、周囲の歯と調和したオーダーメイドのセラミッククラウンを装着。機能性だけでなく、天然歯と見分けがつかないほどの自然で美しい前歯を取り戻していただけました。
セラミック治療の注意事項(リスク・副作用など)
- 天然歯を削ります
- 硬い素材は天然歯を傷つけてしまう場合があります
- かみ合わせや歯ぎしりが強すぎる方はセラミックが割れてしまう可能性があります
- 自費診療(保険適用外治療)となります
インプラント治療の注意事項(リスク・副作用など)
- 外科手術のため、術後に痛みや腫れ、違和感を伴います
- メンテナンスを怠ったり喫煙により、お口の中に大きな悪影響を及ぼすインプラント周囲炎等にかかる可能性があります
- 糖尿病、肝硬変、心臓病等の場合、インプラント治療ができない可能性があります
- 高血圧、貧血・不整脈等の場合、インプラント治療後に治癒不全を招く可能性があります
- 自費診療(保険適用外治療)となります
当サイトの内容、テキスト、画像等の無断転載、複製、複写、盗用を固く禁じます。













