症例詳細
Case detail
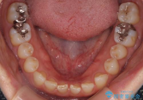
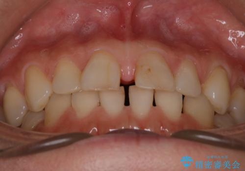
【審美装置】すきっ歯をワイヤー装置で治したい
治療症例の内容
- 診療科目
- 治療カテゴリ
- 担当医
- 菊地俊介(ドクタープロフィール)
- 患者様
- 30代女性
- 矯正装置
- 審美装置
- 治療期間
- 1年4ヶ月
- 治療回数
- 10-30回
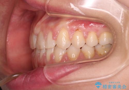
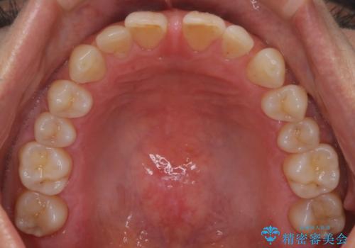
- 治療計画
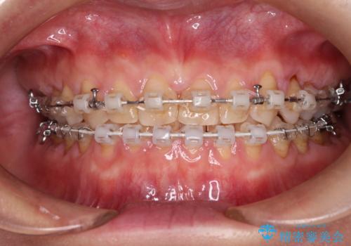
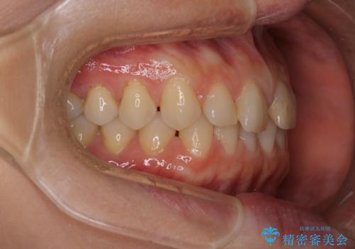
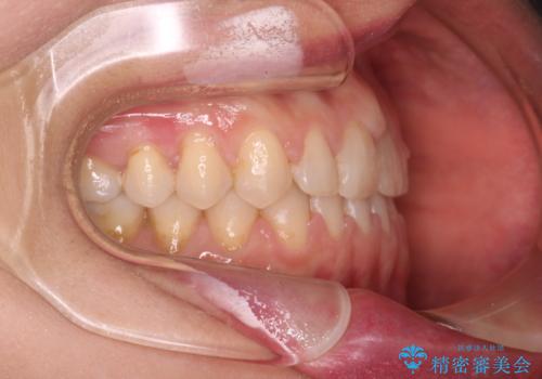
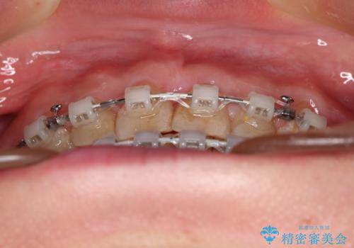
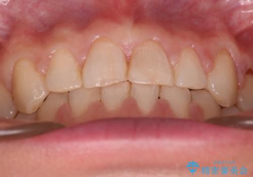
- 前歯のすきっ歯が気になるということで来院されました。今回は抜歯はしないためワイヤー矯正かインビザライン矯正のどちらでも治療可能でしたが、患者さまのご希望により表のワイヤー装置にて治療をおこないました。
- 費用(概算)
- 77万円(税込み)費用は治療当時の料金となります
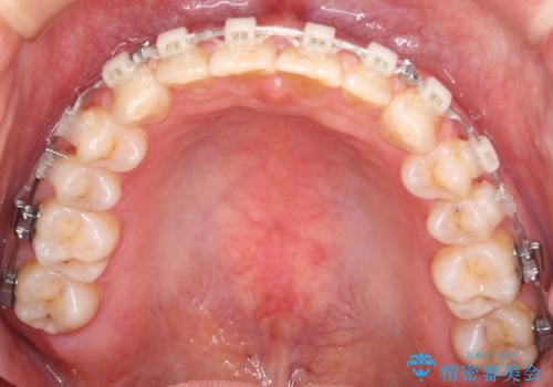
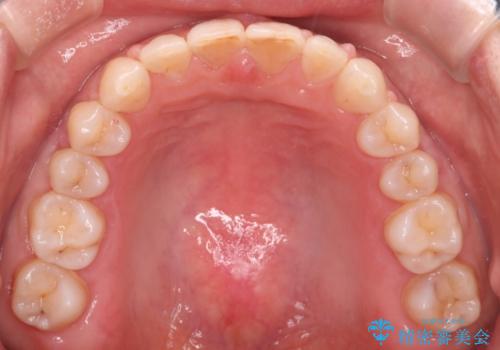
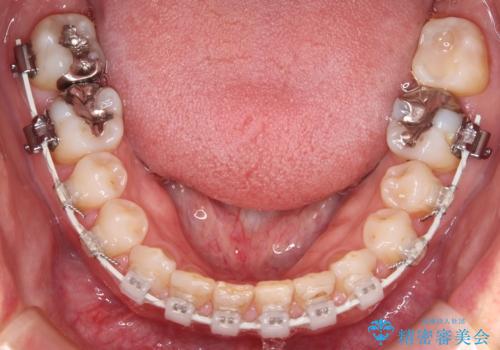
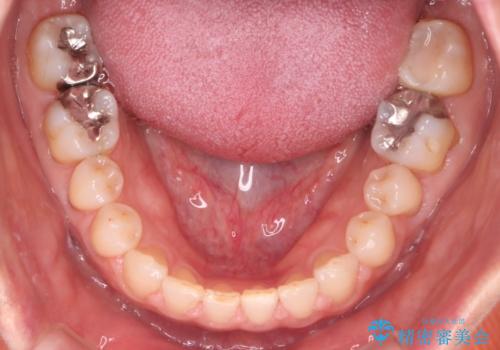
治療について
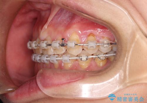
前歯に隙間がいくつかあったため、今回は上下でゴムかけを行いスペースを埋めるための力をかけて閉じました。もう少し早く終了する予定でしたが、ブラッシング不良による歯肉腫脹があり、一部スペースクローズに時間がかかりました。
ワイヤー矯正の注意事項(リスク・副作用など)
- 治療中は違和感や痛みが起こることがあります
- 症状により、抜歯が必要な場合があります
- 治療中は歯磨きがしにくくなるため、虫歯や歯周病になりやすくなります
- 矯正治療後の保定が不十分だと後戻り(元の位置に戻ろうとする動き)をします
- 自費診療(保険適用外)となります
当サイトの内容、テキスト、画像等の無断転載、複製、複写、盗用を固く禁じます。




















