症例詳細
Case detail
ラバーダム使用で再感染リスクを抑えた再根管治療+精密な補綴による長期安定を実現
治療症例の内容
- 診療科目
- 担当医
- 齋藤佑磨(ドクタープロフィール)
- 患者様
- 20代女性
- 治療期間
- 2ヶ月
- 治療回数
- 2-5回
- 治療計画
- 「以前に根管治療をした歯が、噛むと違和感がある」とのことでご来院された患者様の症例です。
患者様は、数年前に他院で根管治療を受けたとのことでしたが、被せもの(クラウン)は装着されていない状態でした。
噛んだときの違和感が慢性的にあり、食事中も気になるとのことで当院にご相談いただきました。
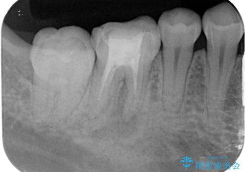
レントゲン検査では、根の先端に透過像(根尖病変の可能性)が見られ、過去の治療ではラバーダム防湿が使用されていなかったそうです。
当院ではラバーダム防湿をし、根管内の感染源をしっかりと除去するために再根管治療を行いました。
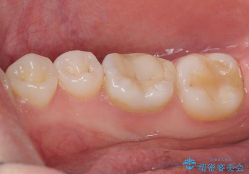
その後、ファイバーコア(グラスファイバー製の支台)を築造し、最終的には精密な適合性と審美性に優れたオールセラミッククラウンによる補綴をしました。
このセラミッククラウンは、歯科技工士と連携し、1本1本の形・色・噛み合わせまで細部にこだわって製作しており、見た目の自然さだけでなく、長期的に安心して噛める機能性も重視しています。
- 費用(概算)
- 30万円(税込)費用は治療当時の料金となります
治療について
根管治療後の歯は、再感染を防ぐために精密なクラウンで補綴することが非常に重要です。
過去に治療を受けた歯に違和感がある方、クラウンを入れずにそのままにしている方は、ぜひ一度ご相談ください。
セラミック治療の注意事項(リスク・副作用など)
- 天然歯を削ります
- 硬い素材は天然歯を傷つけてしまう場合があります
- かみ合わせや歯ぎしりが強すぎる方はセラミックが割れてしまう可能性があります
- 自費診療(保険適用外治療)となります
根管治療の注意事項(リスク・副作用など)
- 根管治療により類似の全ての症例の問題が解決するわけではなく、症例はあくまでも一例です
- 根管治療により痛みや腫れがひかない事や、術後に痛みや腫れが生じる事、治療によるファイル破折やパーフォレーションなどの偶発症、術後の歯根破折を生じる可能性もあります
- 自費診療(保険適用外)となります
当サイトの内容、テキスト、画像等の無断転載、複製、複写、盗用を固く禁じます。








