症例詳細
Case detail
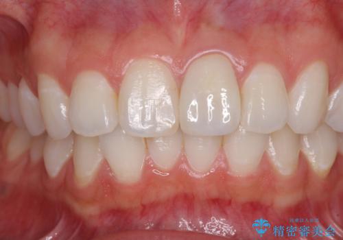
古くなった前歯のクラウンをオールセラミッククラウンに
治療症例の内容
- 診療科目
- 担当医
- 藤巻太一朗(ドクタープロフィール)
- 患者様
- 50代女性
- 治療期間
- 2ヶ月
- 治療回数
- 2-5回
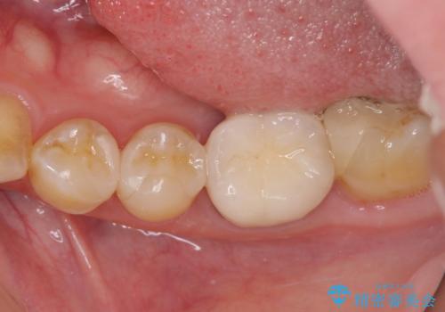
- 治療計画
- 前歯のクラウン付近の歯肉が黒く見えることを気にして来院された患者様です。
根管治療を行った後に、オールセラミッククラウンにて補綴することとしました。
- 費用(概算)
- 治療費の目安: 44万円費用は治療当時の料金となります
治療について
元々前歯1本が前に飛び出していたため、歯肉ラインが左右で大きく異なっていました。
歯根が見えないようにクラウンを装着すると左右の歯の長さの違いが気になる可能性がありましたが、改善のための歯周外科処置を希望されなかったため、そのまま補綴治療を行うこととしました。
治療後は、長さの違いよりも、色や形が大幅に改善されたため、患者様には大変満足していただきました。
リスクについて
セラミックは破折などにより修復や再製作が必要となることがあります。
セラミック治療の注意事項(リスク・副作用など)
- 天然歯を削ります
- 硬い素材は天然歯を傷つけてしまう場合があります
- かみ合わせや歯ぎしりが強すぎる方はセラミックが割れてしまう可能性があります
- 自費診療(保険適用外治療)となります
根管治療の注意事項(リスク・副作用など)
- 根管治療により類似の全ての症例の問題が解決するわけではなく、症例はあくまでも一例です
- 根管治療により痛みや腫れがひかない事や、術後に痛みや腫れが生じる事、治療によるファイル破折やパーフォレーションなどの偶発症、術後の歯根破折を生じる可能性もあります
- 自費診療(保険適用外)となります
当サイトの内容、テキスト、画像等の無断転載、複製、複写、盗用を固く禁じます。










