症例詳細
Case detail
【モニター】デコボコと隠れてしまう前歯 ワイヤー装置による抜歯矯正で美しい口元に
治療症例の内容
- 診療科目
- 担当医
- 藤巻太一朗(ドクタープロフィール)
- 患者様
- 20代女性
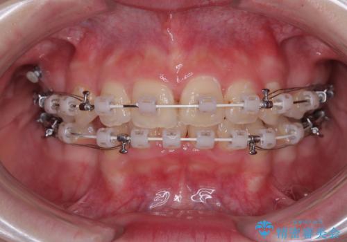
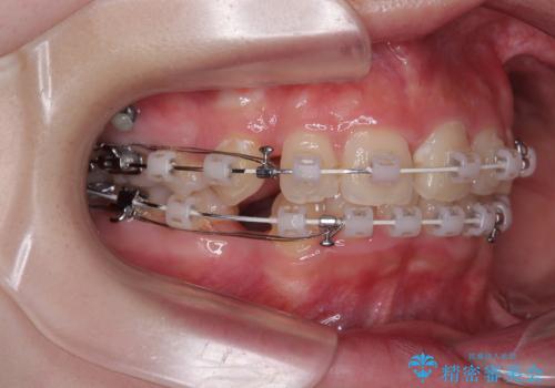
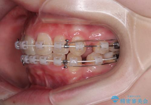
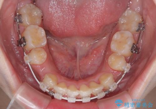
- 矯正装置
- 審美装置
- 治療期間
- 2年
- 治療回数
- 10-30回
- 治療計画
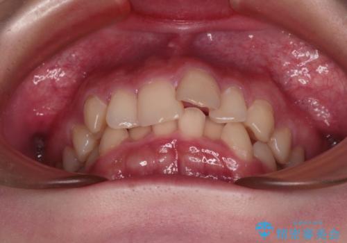
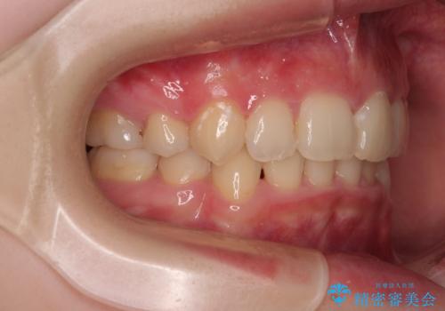
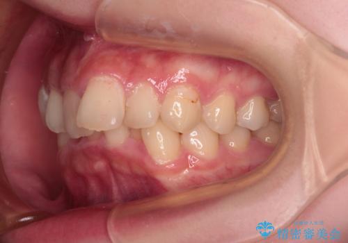
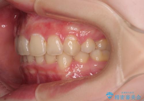
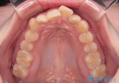
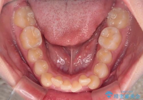
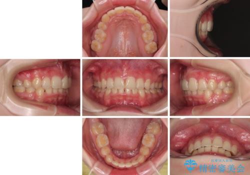
- デコボコになっている前歯を気にして来院された患者様です。
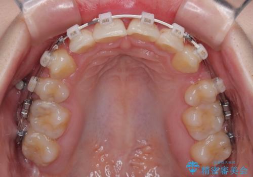
口元の突出感は気になっていないものの、デコボコを解消すると口元が前方に突出する可能性があるため、上下左右の第一小臼歯4本を抜歯して、ワイヤー装置にて矯正治療を行うこととしました。
- 費用(概算)
- 95万円(税込)費用は治療当時の料金となります
※顔写真掲載にあたり、患者様の了解を得ております
治療について
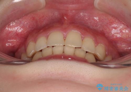
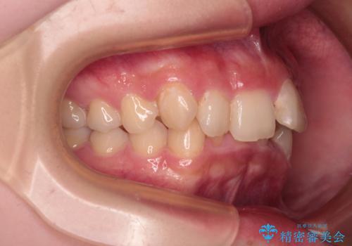
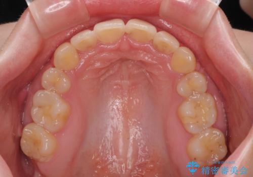
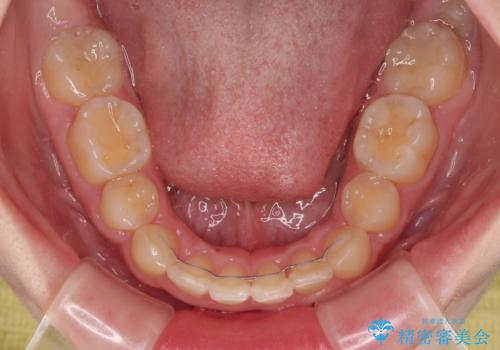
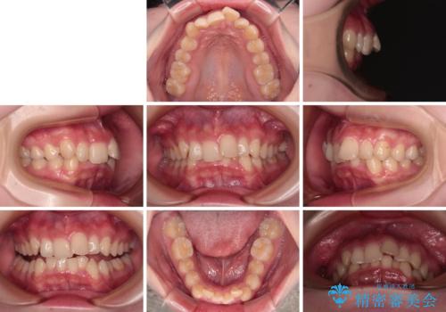
下の前歯が隠れてしまうほど深く咬みこんでいたため、上顎前歯が前方に突出しているような印象がありましたが、咬み合わせが改善され、整った口元に仕上げることができました。
ワイヤー矯正の注意事項(リスク・副作用など)
- 治療中は違和感や痛みが起こることがあります
- 症状により、抜歯が必要な場合があります
- 治療中は歯磨きがしにくくなるため、虫歯や歯周病になりやすくなります
- 矯正治療後の保定が不十分だと後戻り(元の位置に戻ろうとする動き)をします
- 自費診療(保険適用外)となります
当サイトの内容、テキスト、画像等の無断転載、複製、複写、盗用を固く禁じます。


























