症例詳細
Case detail
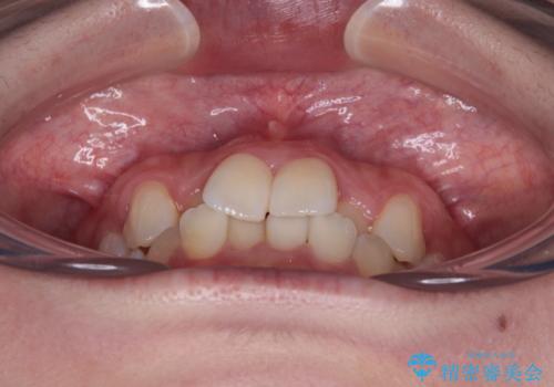
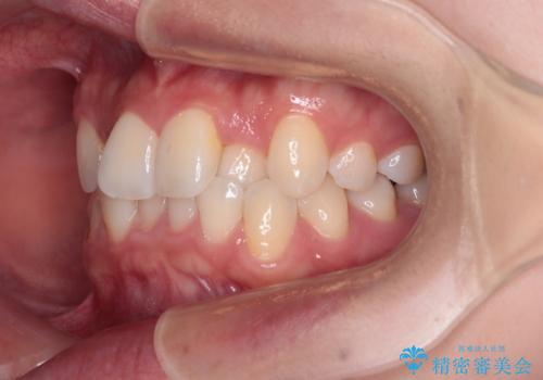
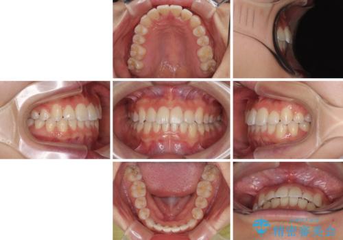
前歯のクロスバイト 裏側に隠れた歯をワイヤー装置で短期間治療
治療症例の内容
- 診療科目
- 治療カテゴリ
- 担当医
- 藤巻太一朗(ドクタープロフィール)
- 患者様
- 20代女性
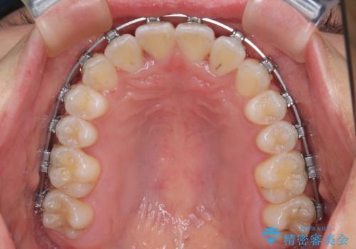
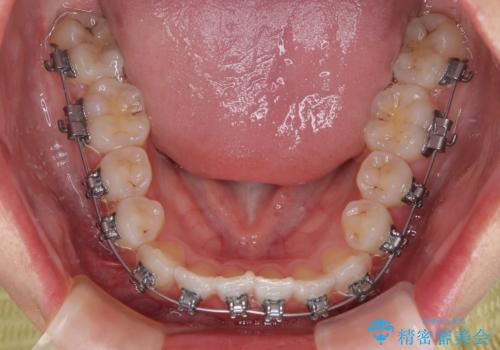
- 矯正装置
- メタルブラケット
- 治療期間
- 1年2ヶ月
- 治療回数
- 10-30回
- 治療計画
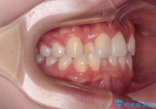
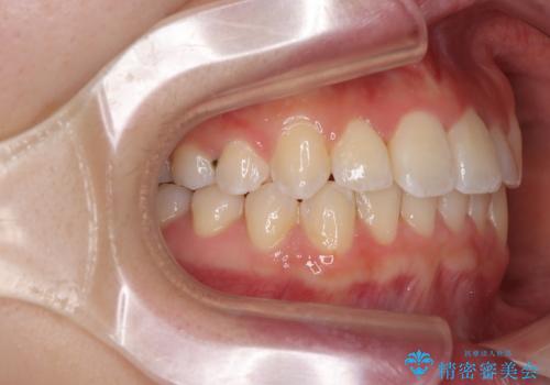
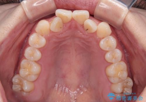
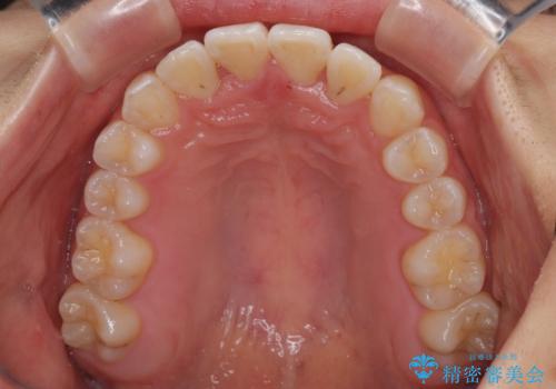
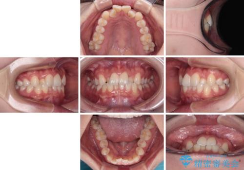
- 上顎前歯のクロスバイトを気にして来院された患者様です。
ワイヤー矯正でもマウスピース矯正でも対応可能でしたが、マウスピースによる自己管理に一切の自信がないとのことで、ワイヤー装置にて矯正治療を行うこととしました。
- 費用(概算)
- 80万円(税込)費用は治療当時の料金となります
治療について
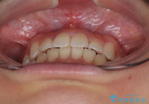
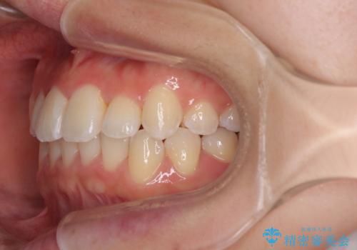
装置の外見を気にしていましたが、短期間で治療を終えることができるだろうと伝えると、安価であるメタルブラケットを選択されました。
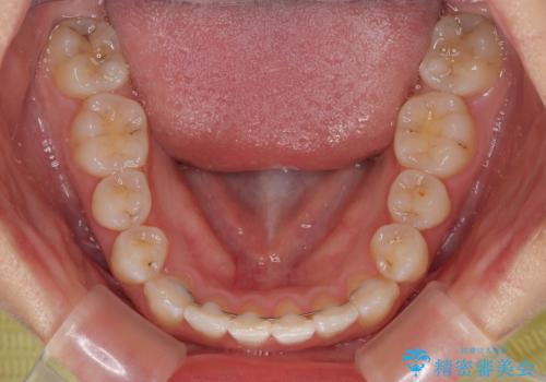
想定通り、1年強で綺麗に仕上げることができました。
ワイヤー矯正の注意事項(リスク・副作用など)
- 治療中は違和感や痛みが起こることがあります
- 症状により、抜歯が必要な場合があります
- 治療中は歯磨きがしにくくなるため、虫歯や歯周病になりやすくなります
- 矯正治療後の保定が不十分だと後戻り(元の位置に戻ろうとする動き)をします
- 自費診療(保険適用外)となります
当サイトの内容、テキスト、画像等の無断転載、複製、複写、盗用を固く禁じます。


























