症例詳細
Case detail
放置した破折歯 即時・早期のインプラント埋入による補綴治療
治療症例の内容
- 患者様
- 50代女性
- 治療期間
- 7ヶ月
- 治療回数
- 5-10回
- 治療計画
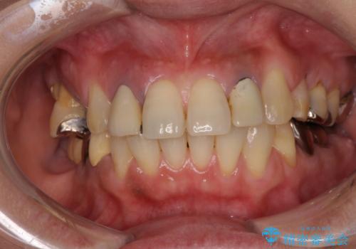
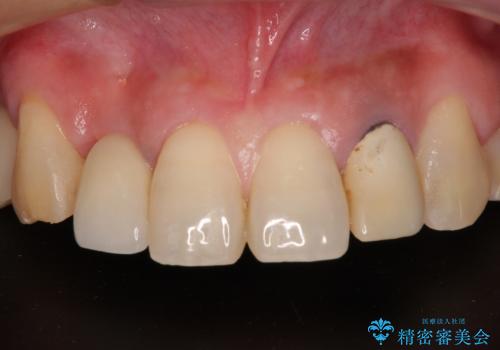
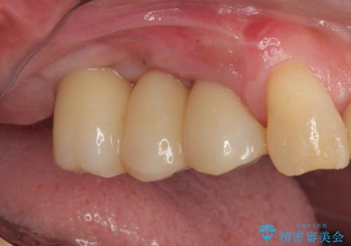
- 歯が破折しているため、抜歯が必要であると近医で診断されてからも放置を続けてしまったとのことで来院された患者様です。
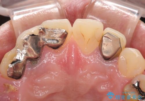
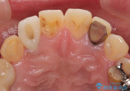
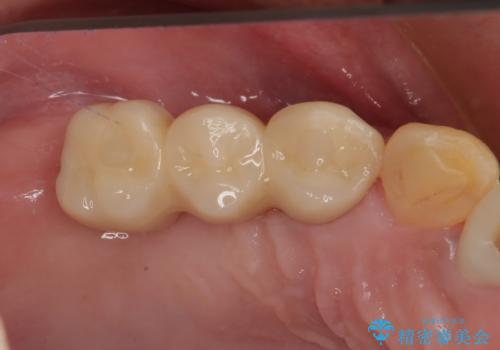
臼歯はもはや咬み合わせに寄与していない状態であり、3歯を抜去してインプラント2本埋入によるブリッジ補綴を計画しました。
セオリーとしては、インプラント補綴治療により奥歯の咬み合わせを確立してから、前歯部の処置を行うことになりますが、初めてのインプラント治療であることや、前歯部の見た目が気になっていることから、前歯の抜歯即時埋入インプラントによる補綴治療を先行して行い、並行して奥歯のインプラント治療を進めて行くこととしました。
- 費用(概算)
- 165万円(税込)費用は治療当時の料金となります
治療について
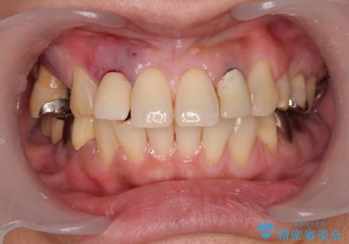
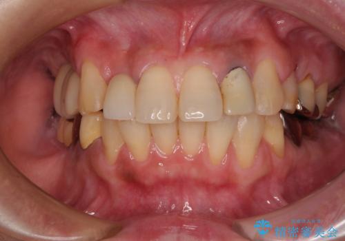
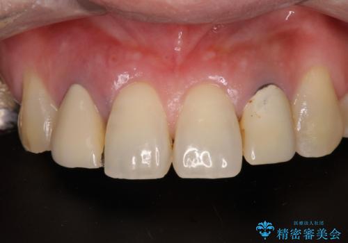
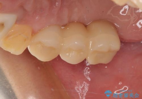
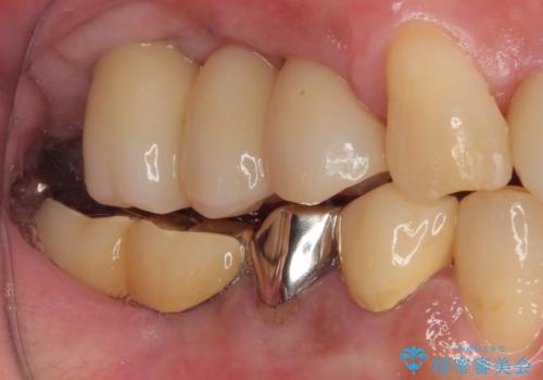
抜歯即時埋入インプラントによる補綴治療の特徴は、短期間であることや処置数が少ないことが挙げられます。また、表側の歯肉の陥凹を避けることができるというメリットがあります。しかしながら、今回は歯根破折の程度が酷く、やや膨らみを失うこととなりましたが、スムーズに治療を終えることができました。
臼歯部は前歯以上に炎症が酷く、抜歯即時埋入不可と判断されましたが、従来法よりは短期間で終えることができました。
インプラント治療の注意事項(リスク・副作用など)
- 外科手術のため、術後に痛みや腫れ、違和感を伴います
- メンテナンスを怠ったり喫煙により、お口の中に大きな悪影響を及ぼすインプラント周囲炎等にかかる可能性があります
- 糖尿病、肝硬変、心臓病等の場合、インプラント治療ができない可能性があります
- 高血圧、貧血・不整脈等の場合、インプラント治療後に治癒不全を招く可能性があります
- 自費診療(保険適用外治療)となります
セラミック治療の注意事項(リスク・副作用など)
- 天然歯を削ります
- 硬い素材は天然歯を傷つけてしまう場合があります
- かみ合わせや歯ぎしりが強すぎる方はセラミックが割れてしまう可能性があります
- 自費診療(保険適用外治療)となります
当サイトの内容、テキスト、画像等の無断転載、複製、複写、盗用を固く禁じます。































