症例詳細
Case detail
「抜歯してブリッジ」と言われた20代女性が選んだ治療とは?|たった4か月で自然な笑顔に|抜歯即時インプラント+審美補綴の症例
- 患者様
- 20代女性
- 治療期間
- 4ヶ月
- 治療回数
- 5-10回
- 治療計画
- 20代女性の患者様。
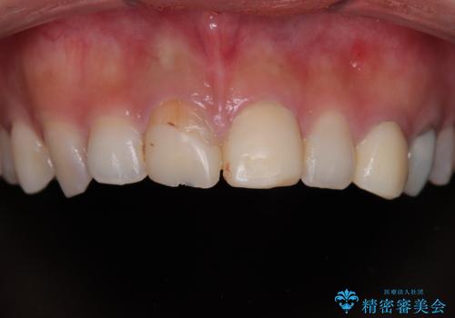
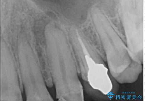
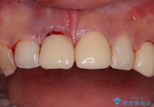
他院にて「上の前歯(右上中切歯)は抜歯してインプラントかブリッジにする必要がある」と診断され、大変ショックを受けられていました。
すでに根管治療を受けた歯でしたが、急に担当医が変わり、「抜歯が必要」とだけ説明されたことに不安感を抱き、当院を受診されました。
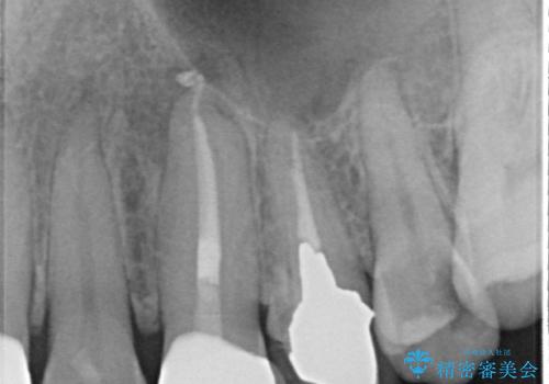
左上中切歯と犬歯も仮歯のままで、将来への不安が大きかったご様子です。
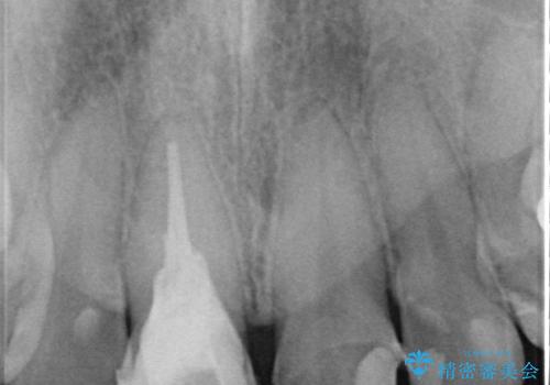
精密検査の結果、右上中切歯には**フェルール(歯の周囲の健全な歯質)**がほぼ存在せず、このままの状態での保存は困難と判断しました。
■保存治療の選択肢として**挺出(エクストリュージョン)**により歯を引っ張り出し、フェルールを確保する方法も検討可能でしたが、患者様のご希望により、より短期間で審美性を回復できる治療法を選択。
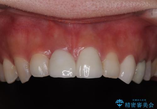
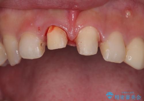
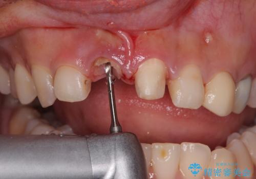
▶右上中切歯
抜歯後、即時インプラント埋入
審美性を考慮し、仮歯を即日装着
治療期間を最小限に抑えつつ、自然な前歯のラインと歯ぐきの形を維持
▶左上中切歯
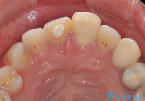
土台を再度丁寧に整え、オールセラミッククラウンにて補綴
▶左上犬歯
根管治療行い感染除去した後、最終補綴はオールセラミッククラウンにて審美的に
- 費用(概算)
- 82万円(税込)費用は治療当時の料金となります
治療について
抜歯を避けられない場合でも、「即日でインプラント治療+仮歯装着」により見た目を損なわないで治療を終えることができました。
抜歯をしてインプラントを埋入してから、4か月で最終補綴物(オールセラミッククラウン)の装着まで終えることができ非常に満足いただきました。
セラミック治療の注意事項(リスク・副作用など)
- 天然歯を削ります
- 硬い素材は天然歯を傷つけてしまう場合があります
- かみ合わせや歯ぎしりが強すぎる方はセラミックが割れてしまう可能性があります
- 自費診療(保険適用外治療)となります
インプラント治療の注意事項(リスク・副作用など)
- 外科手術のため、術後に痛みや腫れ、違和感を伴います
- メンテナンスを怠ったり喫煙により、お口の中に大きな悪影響を及ぼすインプラント周囲炎等にかかる可能性があります
- 糖尿病、肝硬変、心臓病等の場合、インプラント治療ができない可能性があります
- 高血圧、貧血・不整脈等の場合、インプラント治療後に治癒不全を招く可能性があります
- 自費診療(保険適用外治療)となります
根管治療の注意事項(リスク・副作用など)
- 根管治療により類似の全ての症例の問題が解決するわけではなく、症例はあくまでも一例です
- 根管治療により痛みや腫れがひかない事や、術後に痛みや腫れが生じる事、治療によるファイル破折やパーフォレーションなどの偶発症、術後の歯根破折を生じる可能性もあります
- 自費診療(保険適用外)となります
当サイトの内容、テキスト、画像等の無断転載、複製、複写、盗用を固く禁じます。
















