症例詳細
Case detail
気になる奥歯のむし歯治療 歯根端切除術
治療症例の内容
- 診療科目
- 担当医
- 藤巻太一朗(ドクタープロフィール)
- 患者様
- 30代男性
- 治療期間
- 6ヶ月
- 治療回数
- 2-5回
- 治療計画
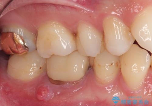
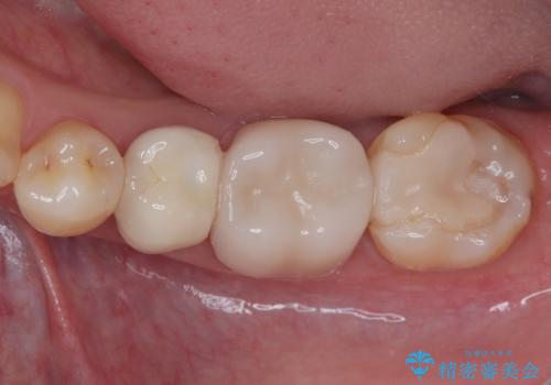
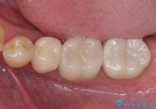
- 左右ともに下顎の奥歯に違和感や痛みを感じるとのことで来院された患者様です。
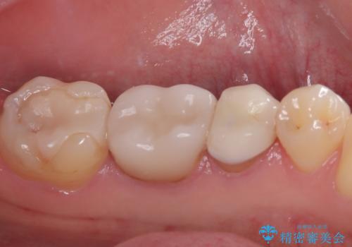
左下奥歯は詰め物と周辺の歯が欠けて、しみている状態でした。
部分的な詰め物ですと、再度破損リスクが高いため、高強度のセラミッククラウンにて補綴治療を行うこととしました。
また、親知らずが埋もれており、よい機会なので抜歯を行ってからセラミッククラウンを装着することとしました。
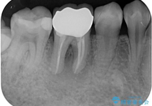
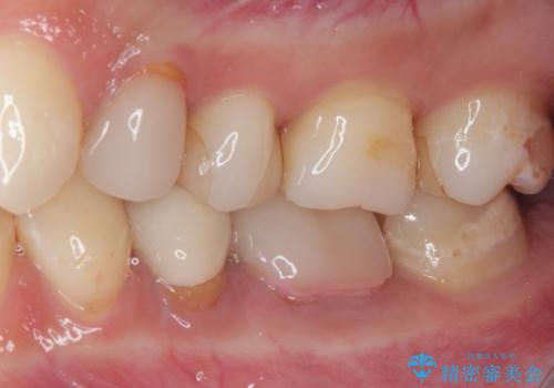
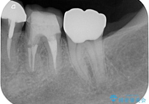
右下奥歯は既に根管治療が行われており、セラミッククラウンが装着されていました。
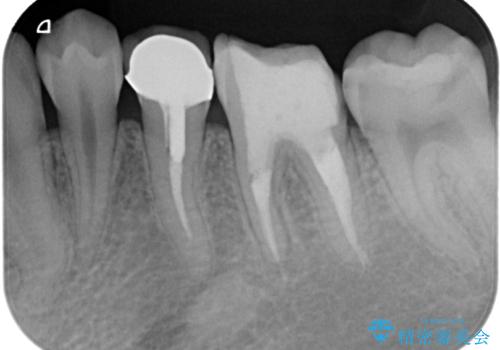
セラミッククラウンを壊して再度根管治療を行い、その後セラミッククラウンを装着する方法か、外科的に歯根の先端を切除し、炎症の原因である細菌を取り除き治癒を図る方法とを提案し、極力クラウンを壊さずに治療を進めたいとの希望により、歯根端切除術を行うこととしました。
- 費用(概算)
- 21万円(税込)費用は治療当時の料金となります
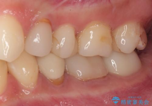
治療について
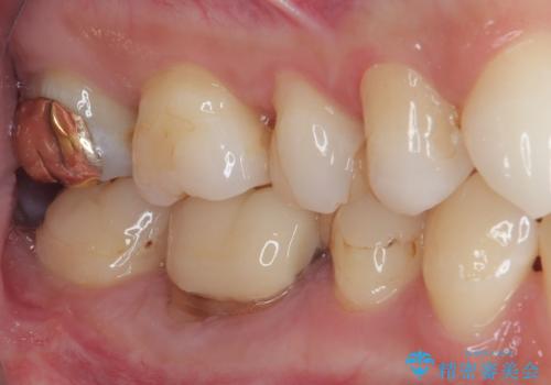
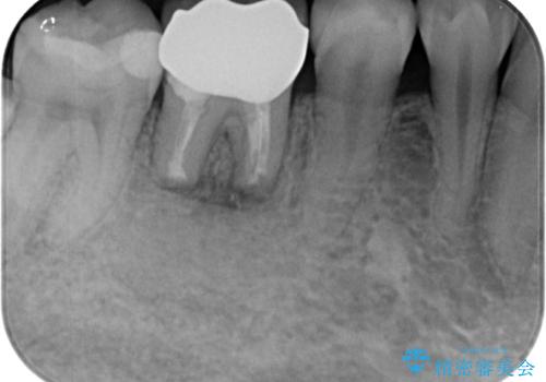
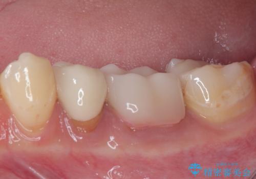
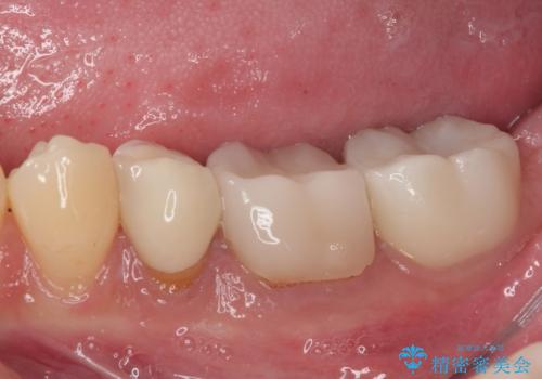
治療から9か月ほどが経過した時点で、違和感や痛みはなく、歯根端切除術を行った右下は、レントゲンでも良好な経過が確認できました。
今後も継続して観察を行っていくこととなります。
セラミック治療の注意事項(リスク・副作用など)
- 天然歯を削ります
- 硬い素材は天然歯を傷つけてしまう場合があります
- かみ合わせや歯ぎしりが強すぎる方はセラミックが割れてしまう可能性があります
- 自費診療(保険適用外治療)となります
根管治療の注意事項(リスク・副作用など)
- 根管治療により類似の全ての症例の問題が解決するわけではなく、症例はあくまでも一例です
- 根管治療により痛みや腫れがひかない事や、術後に痛みや腫れが生じる事、治療によるファイル破折やパーフォレーションなどの偶発症、術後の歯根破折を生じる可能性もあります
- 自費診療(保険適用外)となります
当サイトの内容、テキスト、画像等の無断転載、複製、複写、盗用を固く禁じます。

















