症例詳細
Case detail
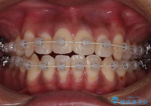
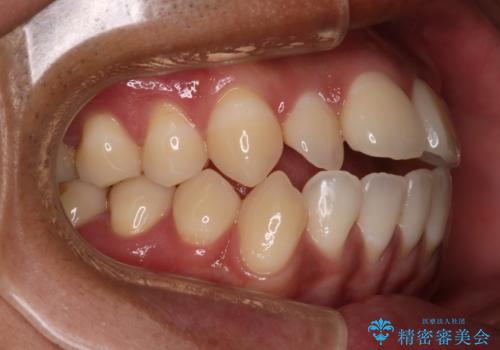
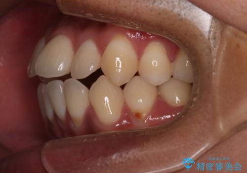
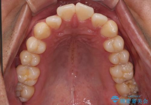
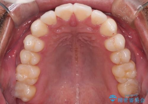
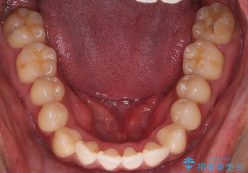
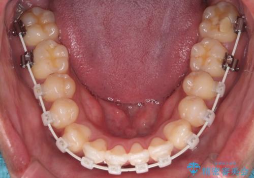
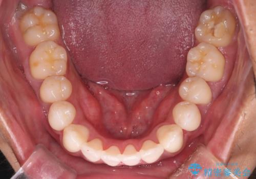
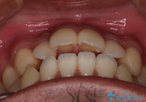
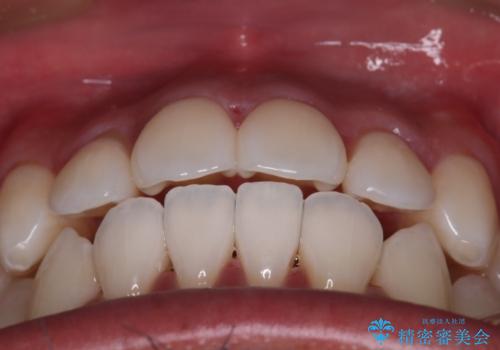
【審美装置】開口(オープンバイト)を改善
治療症例の内容
- 担当医
- 菊地俊介(ドクタープロフィール)
- 患者様
- 30代男性
- 矯正装置
- 審美装置
- 治療期間
- 9ヶ月
- 治療回数
- 10-30回
- 治療計画
- 全体的に歯並びをよくしたいとのことで来院されました。初診時、患者様はセラミック矯正とワイヤー矯正で迷われていました。
開口(オープンバイト)のため噛み合わせを考慮してワイヤー矯正を提案させていただきました。
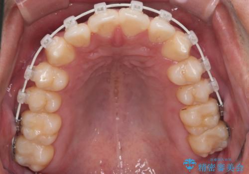
IPR(歯と歯の間を削る処置)と顎間ゴムを行い歯並びを整える治療計画を立てました。
- 費用(概算)
- 77万円(税込)費用は治療当時の料金となります
治療について
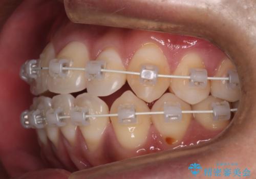
IPR(歯と歯の間を削る処置)と顎間ゴムを行い歯並びを整える治療計画を立てました。
早く終わらせたいとの事でしたが、ゴム掛けを頑張っていただいたので
9ヶ月という短い期間で治療が完了しました。
矯正後は保定経過とメンテナンスで経過を見ていきます。
ワイヤー矯正の注意事項(リスク・副作用など)
- 治療中は違和感や痛みが起こることがあります
- 症状により、抜歯が必要な場合があります
- 治療中は歯磨きがしにくくなるため、虫歯や歯周病になりやすくなります
- 矯正治療後の保定が不十分だと後戻り(元の位置に戻ろうとする動き)をします
- 自費診療(保険適用外)となります
当サイトの内容、テキスト、画像等の無断転載、複製、複写、盗用を固く禁じます。




















