症例詳細
Case detail
前歯のガタガタ・奥歯のかみ合わせ(シザーズバイト)を改善|1年半で完了したメタルブラケット矯正
治療症例の内容
- 担当医
- 齋藤佑磨(ドクタープロフィール)
- 患者様
- 20代男性
- 矯正装置
- メタルブラケット
- 治療期間
- 1年6ヶ月
- 治療回数
- 10-30回
- 治療計画
- 主訴:前歯のデコボコと奥歯のかみ合わせを治したい
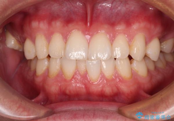
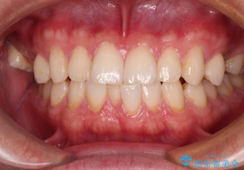
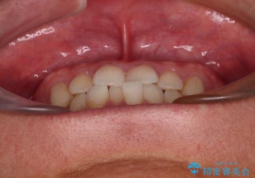
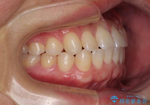
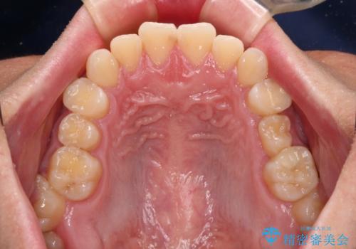
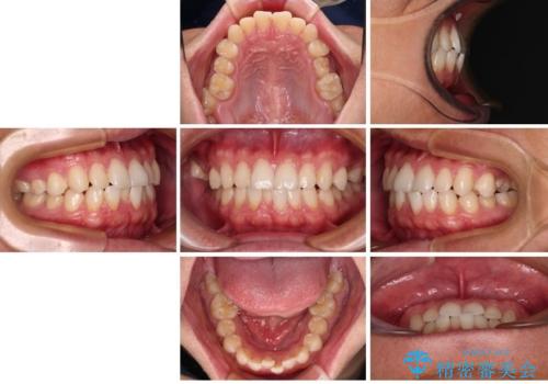
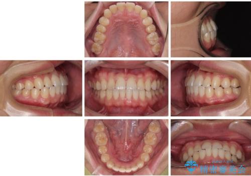
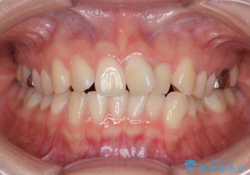
 今回ご紹介するのは、「前歯のガタガタ(叢生)」と「奥歯のかみ合わせ(シザーズバイト)」にお悩みでご来院された患者様の症例です。
 患者様は、
 ・歯並びをできるだけ早く改善したい
 ・費用を抑えた矯正治療
 というご要望をお持ちでした。
 
 診断と治療計画
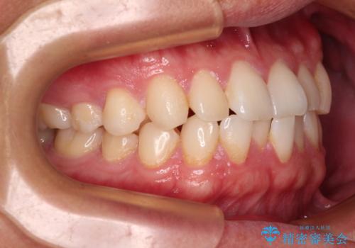
 ▼ 診断
 ・上顎左右の第二大臼歯が頬側へ転移し、シザーズバイト(scissors bite)の状態
 ・上顎左側第二小臼歯が90度捻転しており、噛み合わせに影響
 
 治療計画のポイント
 患者様のご希望に合わせ、以下の治療方針を立てました。
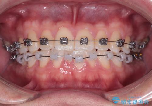
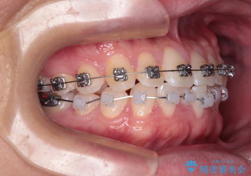
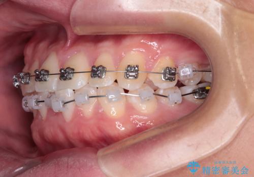
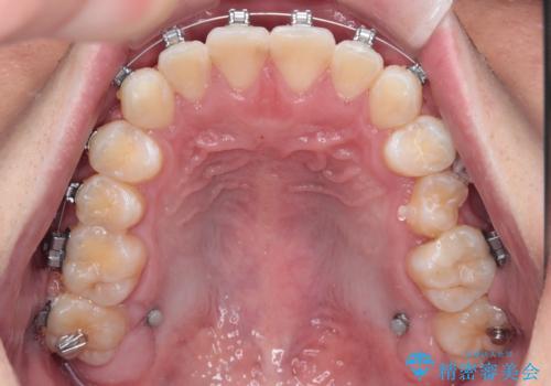
 ・費用と期間を抑えるために、多少目立っても効率の良いメタルブラケットを使用
 ・奥歯のシザーズバイト改善には、口蓋側にアンカースクリュー(TAD)を設置し、矯正用ゴムで内側に牽引
 ・捻転した第二小臼歯は、ワイヤーと矯正用ゴムの力を用いて正しい位置へ回転移動
 
- 費用(概算)
- 75万円(税込)費用は治療当時の料金となります
治療について
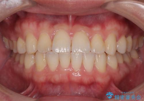
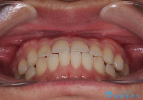
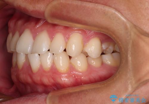
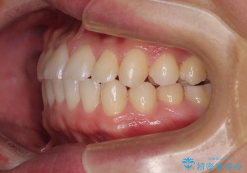
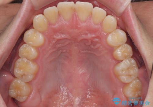
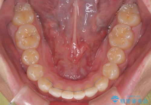
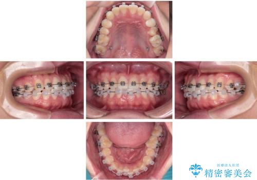
**前歯のデコボコ(叢生)**が整い、歯列全体が美しく改善
シザーズバイトの奥歯も正常なかみ合わせに改善
捻転歯も回転が修正され、全体的に清掃性・咀嚼効率が向上
患者様にも「大人になってから矯正を始めることに不安もありましたが、思っていたよりも短期間で治療が終わって本当にうれしいです。前歯のガタガタも気にならなくなり、笑うことに自信が持てるようになりました!」と喜んでいただけました。
ワイヤー矯正の注意事項(リスク・副作用など)
- 治療中は違和感や痛みが起こることがあります
- 症状により、抜歯が必要な場合があります
- 治療中は歯磨きがしにくくなるため、虫歯や歯周病になりやすくなります
- 矯正治療後の保定が不十分だと後戻り(元の位置に戻ろうとする動き)をします
- 自費診療(保険適用外)となります
当サイトの内容、テキスト、画像等の無断転載、複製、複写、盗用を固く禁じます。








 
                       
                                                          

























 
                   
                   
                  