症例詳細
Case detail
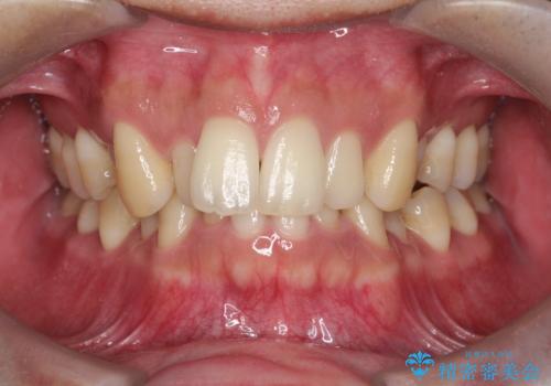
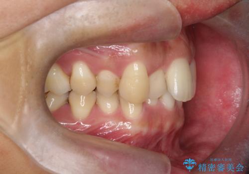
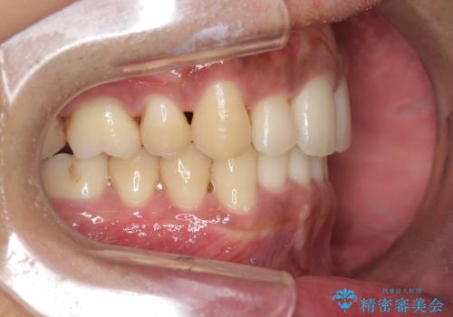
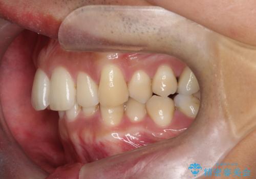
前歯のデコボコと深い咬み合わせを解消
治療症例の内容
- 診療科目
- 担当医
- 河口智英(ドクタープロフィール)
- 患者様
- 30代男性
- 治療期間
- 2年6ヶ月
- 治療回数
- 10-30回
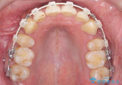
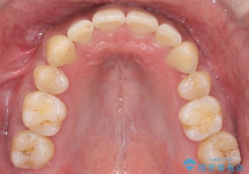
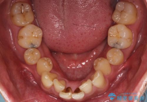
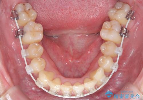
- 治療計画
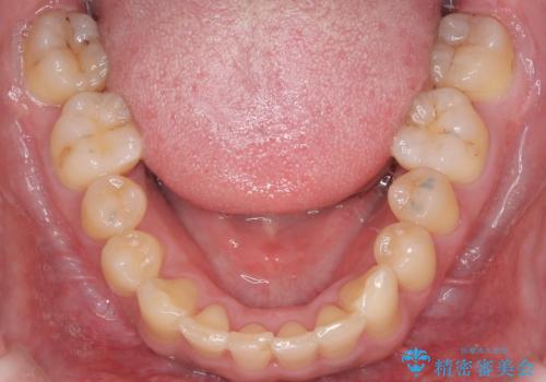
- 前歯のデコボコ(叢生)と、上下の歯の重なりが深い「ディープバイト(過蓋咬合)」を主訴にご来院されました。精密検査の結果、歯が並ぶスペースが不足しているため、上顎左右の小臼歯を抜歯することでスペースを確保し、全体の咬み合わせを改善する治療計画を立案しました。これにより、見た目の改善だけでなく、過度な咬み合わせによって生じる歯や顎への負担も軽減することを目指します。
- 費用(概算)
- 90万円費用は治療当時の料金となります
治療について
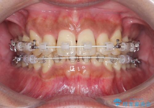
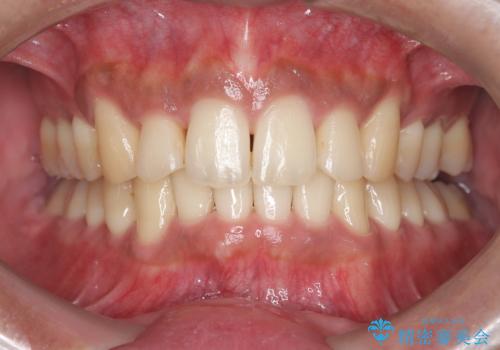
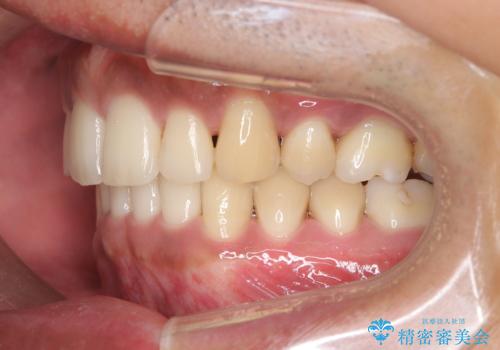
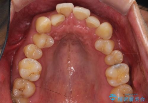
今回の矯正治療では、まず歯が並ぶスペースを確保するため、上顎の小臼歯を抜歯しました。抜歯によってできたスペースを利用して前歯を奥へ移動させ、デコボコを解消。同時に、奥歯の咬み合わせを調整することで、深すぎた咬み合わせであるディープバイトも改善しました。治療の結果、長年気にされていた前歯のデコボコが解消され、理想的な歯並びに。さらに、正しい咬み合わせを獲得したことで、機能的にも安定した美しい口元になりました。
ワイヤー矯正の注意事項(リスク・副作用など)
- 治療中は違和感や痛みが起こることがあります
- 症状により、抜歯が必要な場合があります
- 治療中は歯磨きがしにくくなるため、虫歯や歯周病になりやすくなります
- 矯正治療後の保定が不十分だと後戻り(元の位置に戻ろうとする動き)をします
- 自費診療(保険適用外)となります
当サイトの内容、テキスト、画像等の無断転載、複製、複写、盗用を固く禁じます。















