症例詳細
Case detail
全顎的なデコボコと口元の突出感 ワイヤー装置での抜歯矯正で整った口元に
治療症例の内容
- 担当医
- 藤巻太一朗(ドクタープロフィール)
- 患者様
- 20代女性
- 矯正装置
- 審美装置
- 治療期間
- 3年10ヶ月
- 治療回数
- 30回以上
- 治療計画
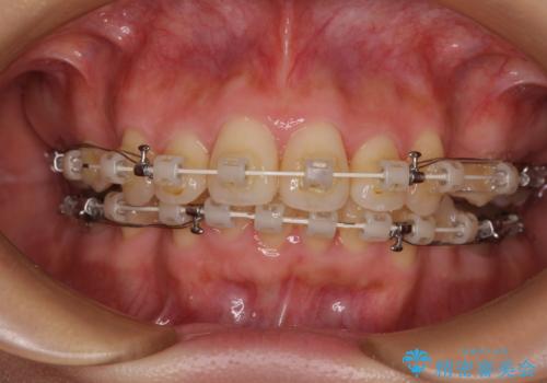
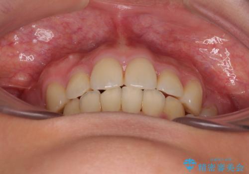
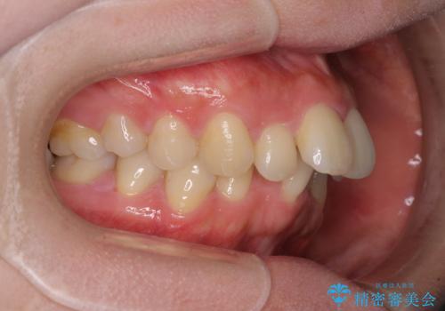
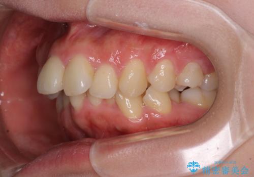
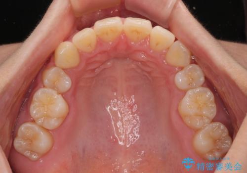
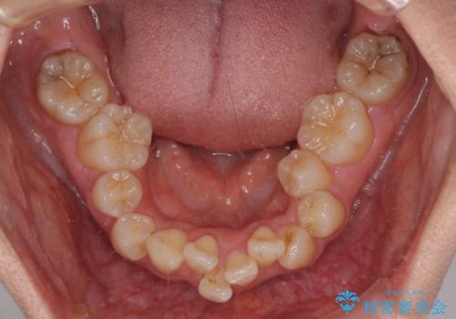
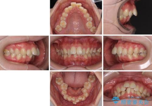
- 奥歯も含めて全体的なデコボコと前歯の突出感を気にして来院された患者様です。
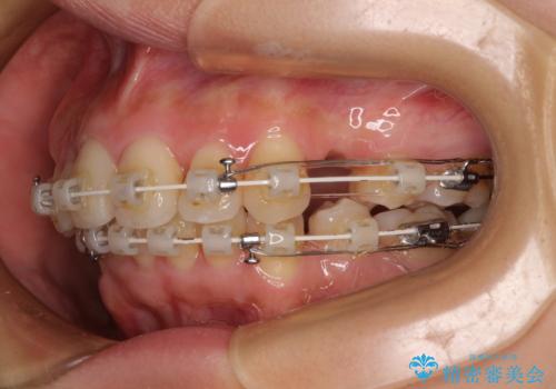
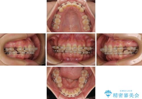
上下左右第一小臼歯4本を抜歯し、ワイヤー装置にて矯正治療を行うこととしました。
- 費用(概算)
- 105万円(税込)費用は治療当時の料金となります
治療について
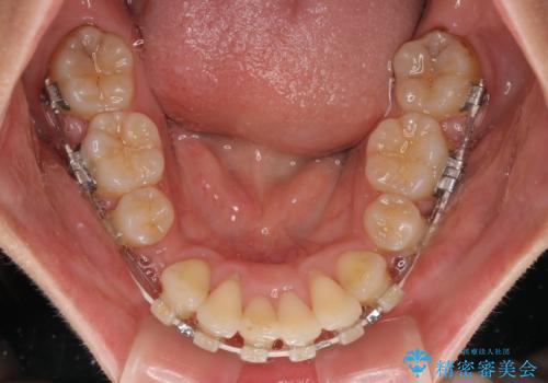
想像以上に咬合力が強く、抜歯したスペースを閉じきるまでに長期間を要することとなりました。
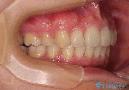
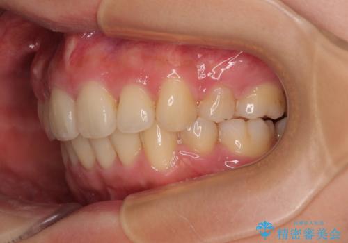
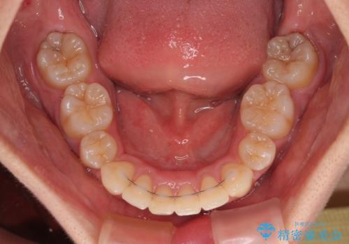
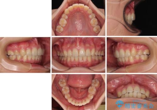
前歯の突出感がなくなり、仕上がりには大変満足していただけました。
ワイヤー矯正の注意事項(リスク・副作用など)
- 治療中は違和感や痛みが起こることがあります
- 症状により、抜歯が必要な場合があります
- 治療中は歯磨きがしにくくなるため、虫歯や歯周病になりやすくなります
- 矯正治療後の保定が不十分だと後戻り(元の位置に戻ろうとする動き)をします
- 自費診療(保険適用外)となります
当サイトの内容、テキスト、画像等の無断転載、複製、複写、盗用を固く禁じます。


























