症例詳細
Case detail
骨格的な出っ歯を抜歯矯正で改善 横顔の印象が劇的に変化
治療症例の内容
- 診療科目
- 担当医
- 藤巻太一朗(ドクタープロフィール)
- 患者様
- 20代女性
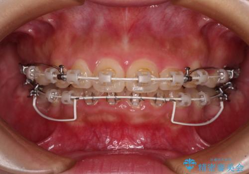
- 矯正装置
- 審美装置
- 治療期間
- 3年6ヶ月
- 治療回数
- 30回以上
- 治療計画
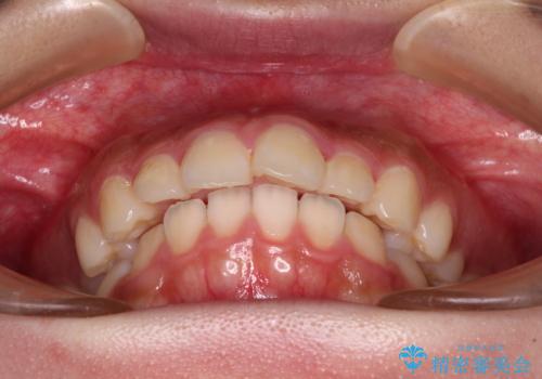
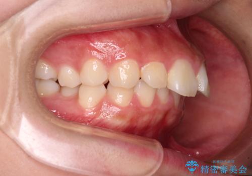
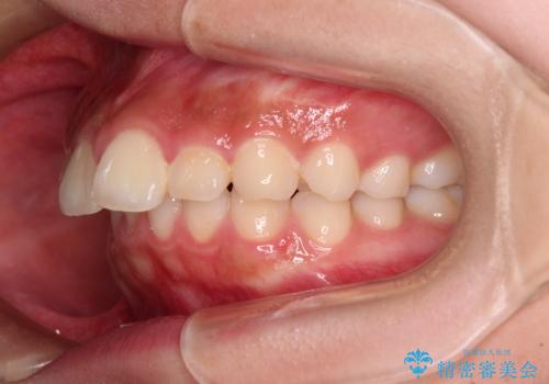
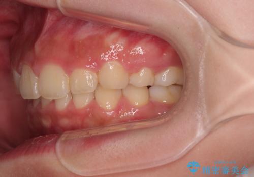
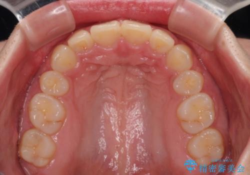
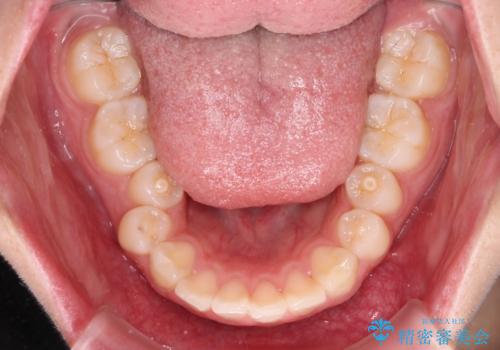
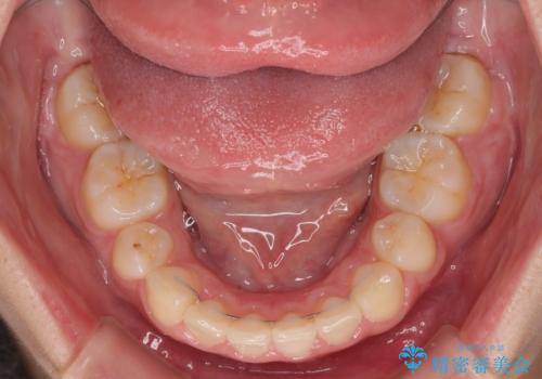
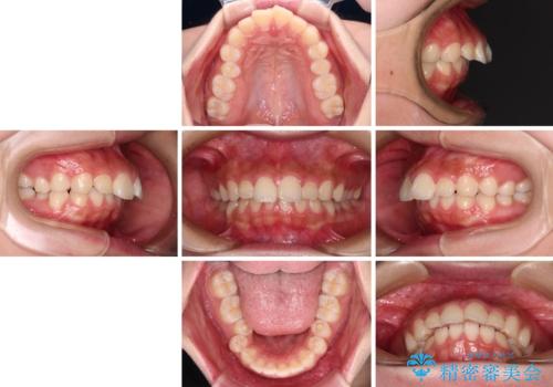
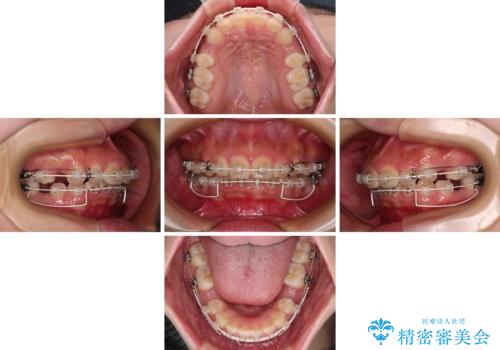
- 飛び出した上顎前歯と、閉じにくい唇、口元の突出した印象の横顔を気にして来院された患者様です。
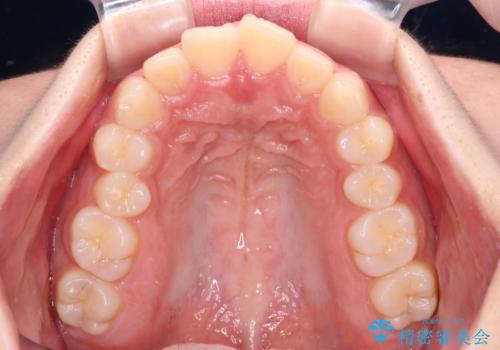
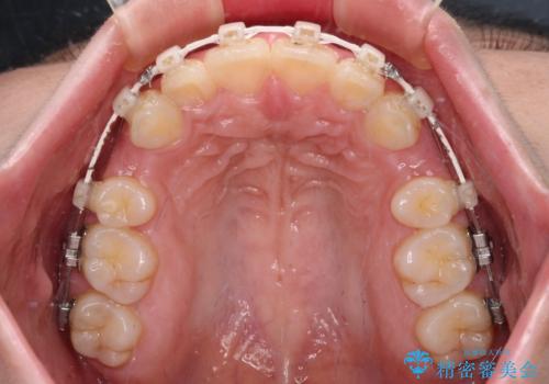
骨格的な上顎前突であり、上下前歯の前後的な距離が大きいため、上顎は左右第一小臼歯を、下顎は左右第二小臼歯をそれぞれ2本抜歯することで前歯が接触するようにし、さらには奥歯の咬み合わせも、より理想的な状態へ近づけていくこととしました。
3年以上はかかる難症例であるため、表側のワイヤー装置にて治療を行うこととしました。
- 費用(概算)
- 105万円(税込)費用は治療当時の料金となります
治療について
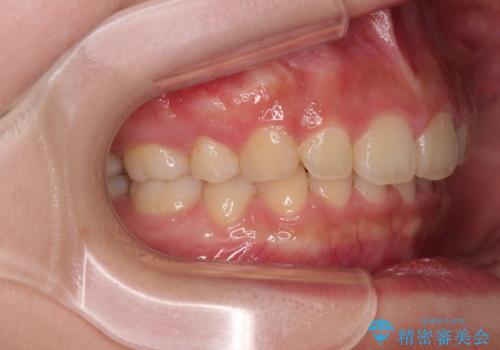
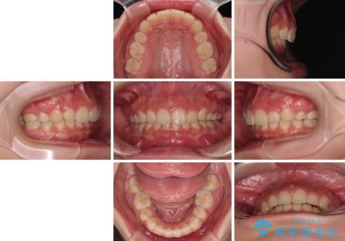
事前の予想通り、長期間を要する治療となりましたが、横顔の印象が劇的に変化し、患者様には大変満足していただきました。
ワイヤー矯正の注意事項(リスク・副作用など)
- 治療中は違和感や痛みが起こることがあります
- 症状により、抜歯が必要な場合があります
- 治療中は歯磨きがしにくくなるため、虫歯や歯周病になりやすくなります
- 矯正治療後の保定が不十分だと後戻り(元の位置に戻ろうとする動き)をします
- 自費診療(保険適用外)となります
当サイトの内容、テキスト、画像等の無断転載、複製、複写、盗用を固く禁じます。


























