症例詳細
Case detail
痛すぎて食事がとれない 奥歯の根管治療
治療症例の内容
- 診療科目
- 担当医
- 藤巻太一朗(ドクタープロフィール)
- 患者様
- 40代男性
- 治療期間
- 6ヶ月
- 治療回数
- 5-10回
- 治療計画
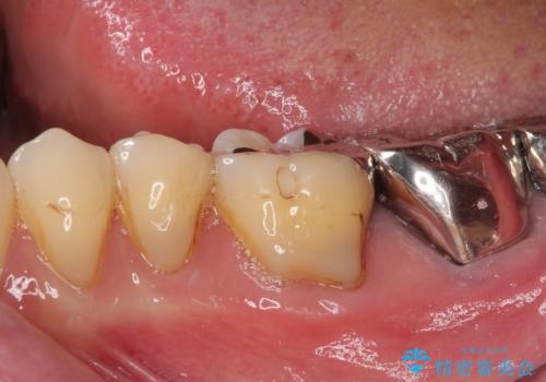
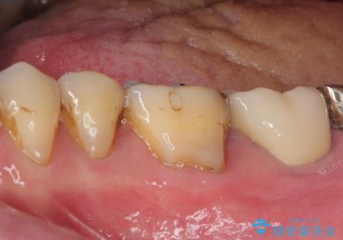
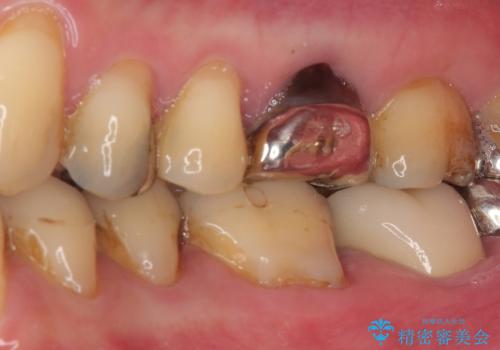
- 奥歯で食事がとれないくらいに痛むとのことで来院された患者です。
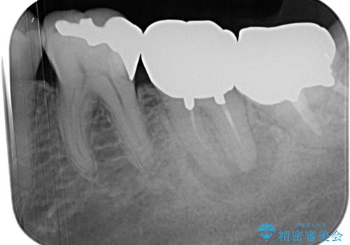
診察の結果、既に根管治療をされている第二大臼歯の根尖部に大きな病変があり、それが痛みの原因であるため、根管治療が必要と判断されました。
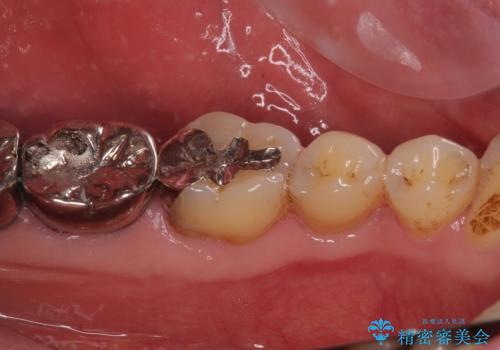
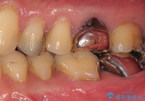
速やかに根管治療を行い、痛みの消退を確認の後、オールセラミッククラウンにて補綴治療を行うこととしました。
- 費用(概算)
- 30万円(税込)費用は治療当時の料金となります
治療について
初回の根管治療後にはすぐに痛みが引き、食事の際に触れないように注意することがなくなったようです。
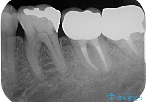
根管治療後6か月が経過してレントゲンを撮影したところ、非常に大きかった病変が小さくなっていることが確認されました。
今後も経過観察を継続していくこととなります。
セラミック治療の注意事項(リスク・副作用など)
- 天然歯を削ります
- 硬い素材は天然歯を傷つけてしまう場合があります
- かみ合わせや歯ぎしりが強すぎる方はセラミックが割れてしまう可能性があります
- 自費診療(保険適用外治療)となります
根管治療の注意事項(リスク・副作用など)
- 根管治療により類似の全ての症例の問題が解決するわけではなく、症例はあくまでも一例です
- 根管治療により痛みや腫れがひかない事や、術後に痛みや腫れが生じる事、治療によるファイル破折やパーフォレーションなどの偶発症、術後の歯根破折を生じる可能性もあります
- 自費診療(保険適用外)となります
当サイトの内容、テキスト、画像等の無断転載、複製、複写、盗用を固く禁じます。












