症例詳細
Case detail
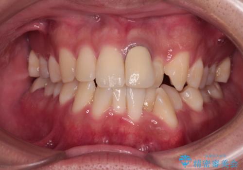
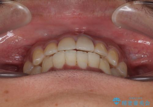
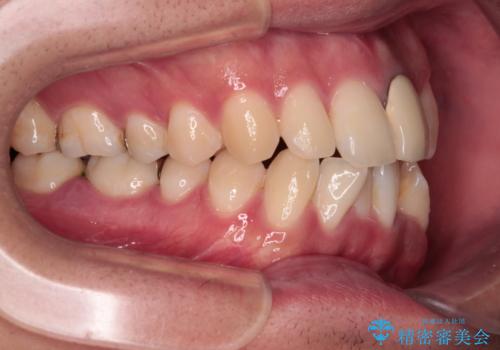
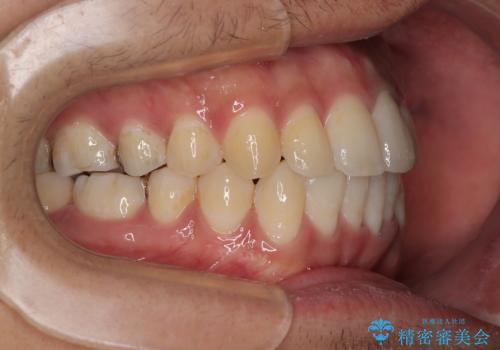
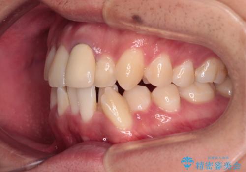
気になる前歯のデコボコと八重歯 ワイヤー矯正ですっきりと
治療症例の内容
- 診療科目
- 担当医
- 藤巻太一朗(ドクタープロフィール)
- 患者様
- 20代男性
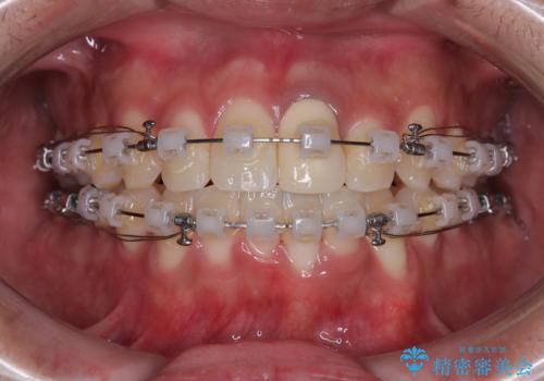
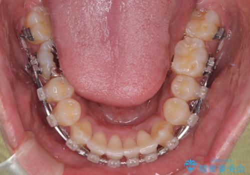
- 矯正装置
- クリアブラケット
- 治療期間
- 1年10ヶ月
- 治療回数
- 10-30回
- 治療計画
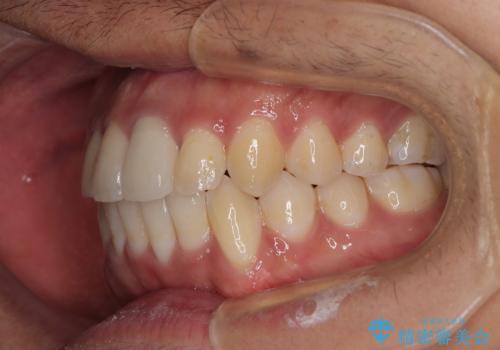
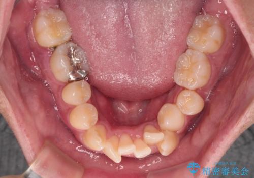
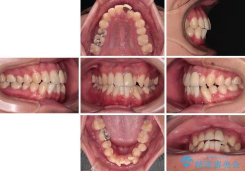
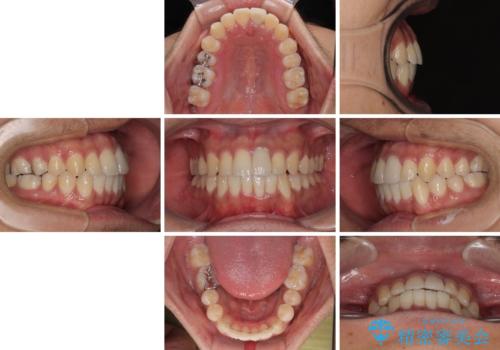
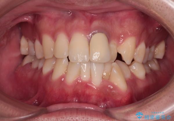
- 前歯のデコボコや八重歯を気にして来院された患者様です。
他院でワイヤー矯正を行うつもりでいらっしゃったそうですが、通院が難しくなったとのことで当院での治療を希望されて来院されました。
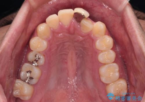
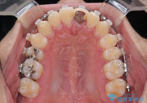
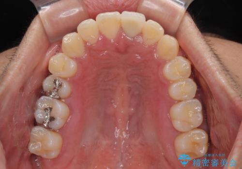
上下ともに歯列幅が狭く、その影響でデコボコになっていたため、ワイヤー装置を用いて歯列を側方に拡大しながら、デコボコを解消していくこととしました。
- 費用(概算)
- 100万円(税込)費用は治療当時の料金となります
治療について
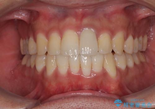
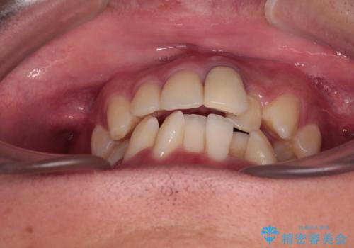
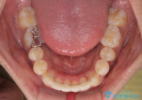
矯正治療後には気になっていた前歯をセラミッククラウンにし、自然な口元に仕上げることができました。
ワイヤー矯正の注意事項(リスク・副作用など)
- 治療中は違和感や痛みが起こることがあります
- 症状により、抜歯が必要な場合があります
- 治療中は歯磨きがしにくくなるため、虫歯や歯周病になりやすくなります
- 矯正治療後の保定が不十分だと後戻り(元の位置に戻ろうとする動き)をします
- 自費診療(保険適用外)となります
当サイトの内容、テキスト、画像等の無断転載、複製、複写、盗用を固く禁じます。


























