症例詳細
Case detail
破折した前歯のインプラント 1DAYインプラントで短期間治療
治療症例の内容
- 患者様
- 40代女性
- 治療期間
- 3ヶ月
- 治療回数
- 2-5回
- 治療計画
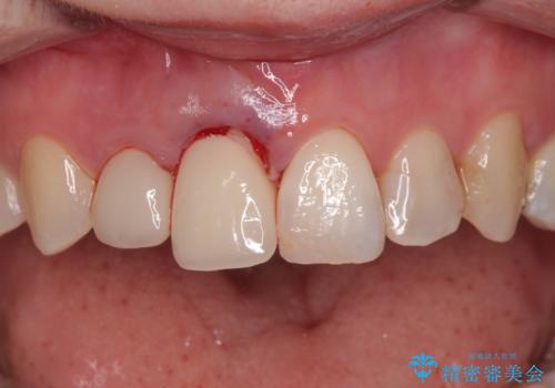
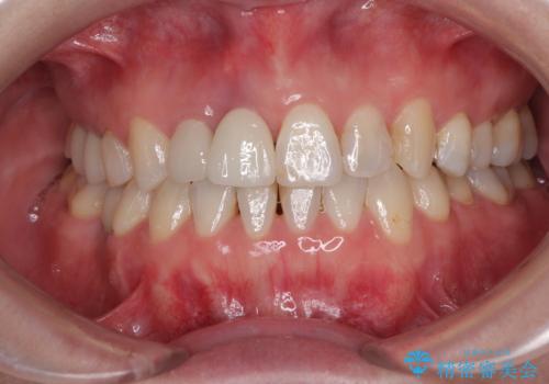
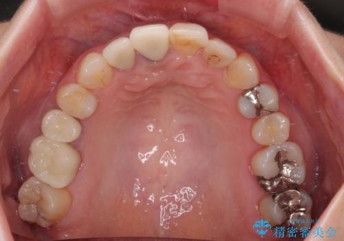
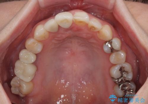
- 前歯のセラミッククランが外れてしまったとのことで来院された患者様です。
診察をしたところ、歯根に縦破折が認められ、抜歯が必要と判断されました。
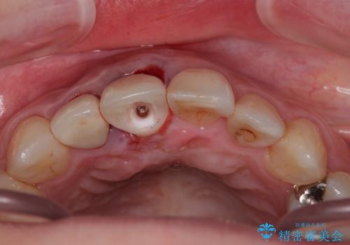
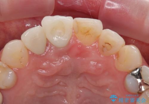
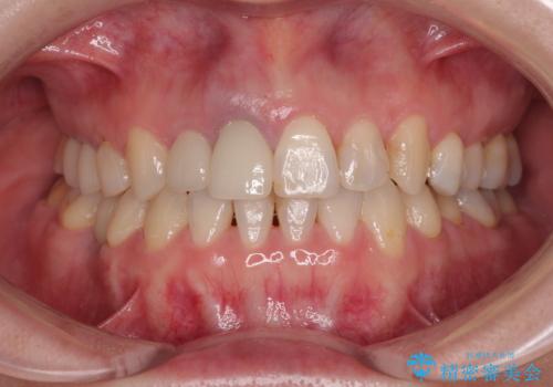
抜歯、インプラント埋入、仮歯の装着が同時に可能な1DAYインプラントが適用可能と判断されたため、インプラントによる補綴治療を行うこととしました。
- 費用(概算)
- 50万円(税込)費用は治療当時の料金となります
治療について
前歯のインプラント治療は、従来の抜歯から数ヶ月待機する手法では、骨造成や歯肉移植など付随の処置が多く必要となり、費用、期間、身体的負担のいずれもが多大となります。
抜歯時にインプラントを埋入することでそれらの負担を大きく軽減させることが可能です。
インプラント治療の注意事項(リスク・副作用など)
- 外科手術のため、術後に痛みや腫れ、違和感を伴います
- メンテナンスを怠ったり喫煙により、お口の中に大きな悪影響を及ぼすインプラント周囲炎等にかかる可能性があります
- 糖尿病、肝硬変、心臓病等の場合、インプラント治療ができない可能性があります
- 高血圧、貧血・不整脈等の場合、インプラント治療後に治癒不全を招く可能性があります
- 自費診療(保険適用外治療)となります
セラミック治療の注意事項(リスク・副作用など)
- 天然歯を削ります
- 硬い素材は天然歯を傷つけてしまう場合があります
- かみ合わせや歯ぎしりが強すぎる方はセラミックが割れてしまう可能性があります
- 自費診療(保険適用外治療)となります
当サイトの内容、テキスト、画像等の無断転載、複製、複写、盗用を固く禁じます。


















