症例詳細
Case detail
強い咬合力で奥歯がボロボロに インプラント治療による咬合回復と全顎セラミック治療
治療症例の内容
- 患者様
- 50代男性
- 治療期間
- 3年5ヶ月
- 治療回数
- 30回以上
- 治療計画
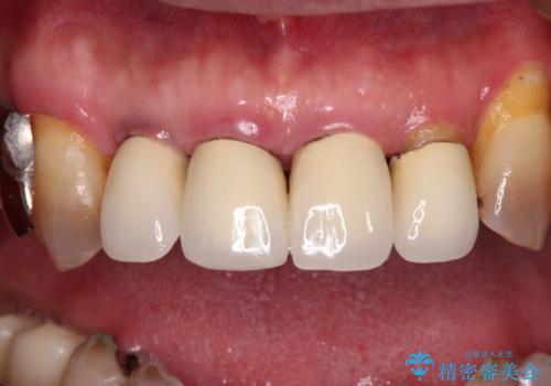
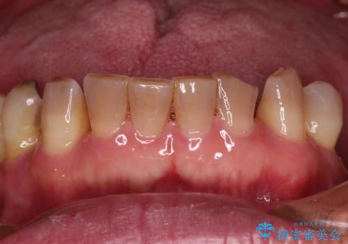
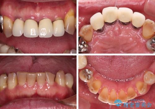
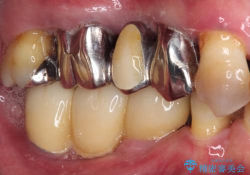
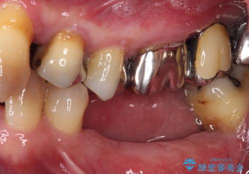
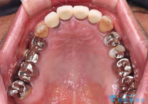
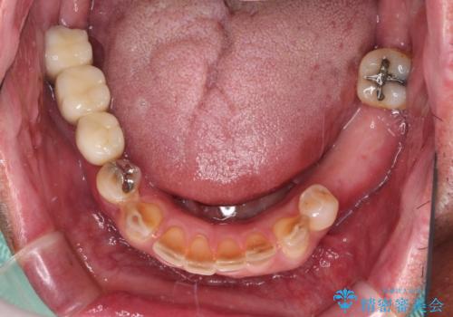
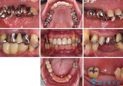
- 奥歯が咬みにくく、前歯がぐらぐらするとのことで来院された患者様です。
咬合力が強く、奥歯が欠損している状態でした。
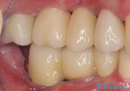
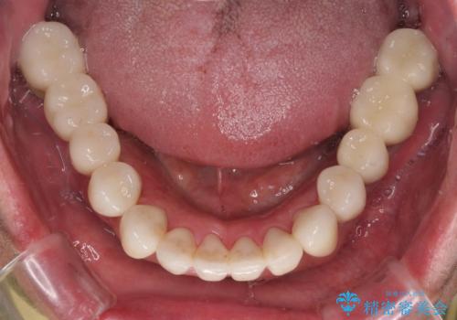
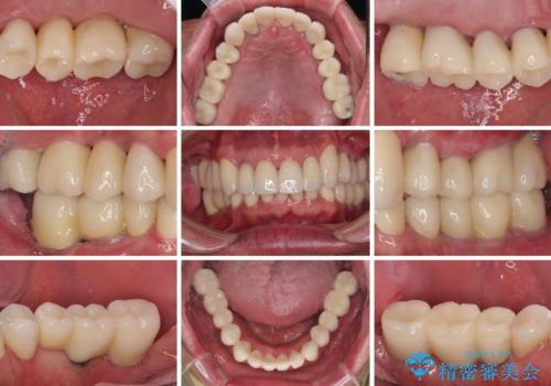
欠損部はインプラントによる補綴治療を行うこととし、臼歯部が安定した後に、上下前歯部をオールセラミッククラウンにて補綴治療を行うこととしました。
- 費用(概算)
- 600万円(税込)費用は治療当時の料金となります
治療について
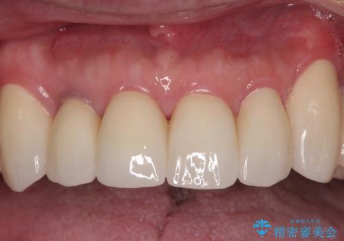
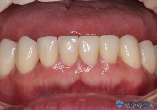
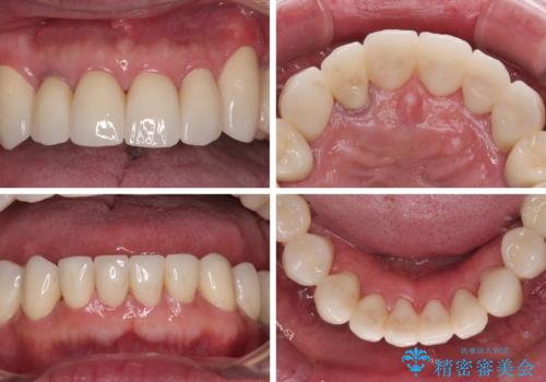
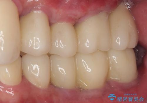
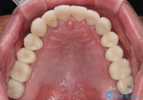
上顎前歯に歯周ポケットの深い部分がありましたが、インプラントの仮歯で奥歯がしっかりと噛めるようになると、1年程度で深い歯周ポケットは解消されました。
前歯部の審美面も大幅に改善され、大変満足していただけました。
インプラント治療の注意事項(リスク・副作用など)
- 外科手術のため、術後に痛みや腫れ、違和感を伴います
- メンテナンスを怠ったり喫煙により、お口の中に大きな悪影響を及ぼすインプラント周囲炎等にかかる可能性があります
- 糖尿病、肝硬変、心臓病等の場合、インプラント治療ができない可能性があります
- 高血圧、貧血・不整脈等の場合、インプラント治療後に治癒不全を招く可能性があります
- 自費診療(保険適用外治療)となります
歯周病治療の注意事項(リスク・副作用など)
- 外科手術のため、術後に痛みや腫れ、違和感を伴います
- 歯周組織再生治療は患者様の状態によって術後の経過が異なります(見た目が改善しない場合もあります)
- 歯周組織再生治療は自費診療(保険適用外)となります
根管治療の注意事項(リスク・副作用など)
- 根管治療により類似の全ての症例の問題が解決するわけではなく、症例はあくまでも一例です
- 根管治療により痛みや腫れがひかない事や、術後に痛みや腫れが生じる事、治療によるファイル破折やパーフォレーションなどの偶発症、術後の歯根破折を生じる可能性もあります
- 自費診療(保険適用外)となります
セラミック治療の注意事項(リスク・副作用など)
- 天然歯を削ります
- 硬い素材は天然歯を傷つけてしまう場合があります
- かみ合わせや歯ぎしりが強すぎる方はセラミックが割れてしまう可能性があります
- 自費診療(保険適用外治療)となります
当サイトの内容、テキスト、画像等の無断転載、複製、複写、盗用を固く禁じます。

























