症例詳細
Case detail
奥歯のむし歯が気になる 根管治療とインプラント治療
治療症例の内容
- 患者様
- 50代男性
- 治療期間
- 7ヶ月
- 治療回数
- 5-10回
- 治療計画
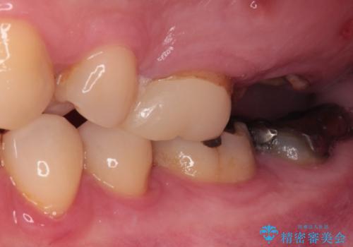
- 奥歯のむし歯と放置したむし歯を気にして来院された患者様です。
奥の歯は抜歯が必要なため、インプラント埋入による補綴治療を行うこととしました。
手前の歯は状態は良くないものの、抜歯するほどではないと判断したため、根管治療後にオールセラミッククラウンにて補綴治療を行うこととしました。
- 費用(概算)
- 75万円(税込)費用は治療当時の料金となります
治療について
術後半年でレントゲン写真を撮影したところ、インプラント周りの骨は安定しており、根管治療を行った歯周辺の病変はきれいに改善されていました。
インプラント治療の注意事項(リスク・副作用など)
- 外科手術のため、術後に痛みや腫れ、違和感を伴います
- メンテナンスを怠ったり喫煙により、お口の中に大きな悪影響を及ぼすインプラント周囲炎等にかかる可能性があります
- 糖尿病、肝硬変、心臓病等の場合、インプラント治療ができない可能性があります
- 高血圧、貧血・不整脈等の場合、インプラント治療後に治癒不全を招く可能性があります
- 自費診療(保険適用外治療)となります
根管治療の注意事項(リスク・副作用など)
- 根管治療により類似の全ての症例の問題が解決するわけではなく、症例はあくまでも一例です
- 根管治療により痛みや腫れがひかない事や、術後に痛みや腫れが生じる事、治療によるファイル破折やパーフォレーションなどの偶発症、術後の歯根破折を生じる可能性もあります
- 自費診療(保険適用外)となります
セラミック治療の注意事項(リスク・副作用など)
- 天然歯を削ります
- 硬い素材は天然歯を傷つけてしまう場合があります
- かみ合わせや歯ぎしりが強すぎる方はセラミックが割れてしまう可能性があります
- 自費診療(保険適用外治療)となります
当サイトの内容、テキスト、画像等の無断転載、複製、複写、盗用を固く禁じます。









