症例詳細
Case detail
歯がボロボロで咬合崩壊 矯正・インプラント・セラミックで実現する、酸蝕症の総合治療
- 患者様
- 50代男性
- 矯正装置
- 審美装置
- 治療期間
- 2年
- 治療回数
- 30回以上
- 治療計画
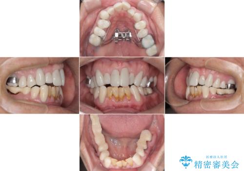
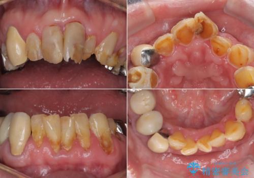
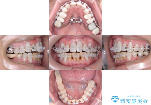
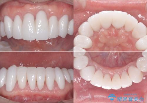
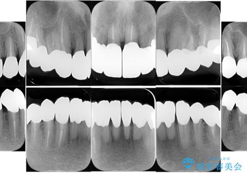
- 強い酸によって歯が広範囲にわたって侵食され、「歯がボロボロになった」と主訴に来院されました。詳細な診査の結果、重度の酸蝕症と診断。失われた歯質や咬み合わせの崩壊が著しいことから、単一の治療では対応が困難と判断し、矯正治療、インプラント治療、セラミック治療を組み合わせた総合的な治療計画を立案しました。矯正治療後に最終的にセラミックを用いて機能性と審美性を回復。患者様と綿密な話し合いを重ね、長期的な口腔内の健康維持を見据えた最適な治療を行いました。
- 費用(概算)
- 700万円費用は治療当時の料金となります
治療について
酸蝕症の原因に関しては、医科のほうで解決済みでしたので、失われた機能、審美性の回復のため矯正治療によって歯並びと咬み合わせのバランスを整えセラミックによる修復を行ました。
保存できないと判断した歯は抜歯しインプラントにて治療をおこなっています。
矯正後、歯肉の形態不良のため、歯周外科を行い連続性を獲得しています。
インプラント治療の注意事項(リスク・副作用など)
- 外科手術のため、術後に痛みや腫れ、違和感を伴います
- メンテナンスを怠ったり喫煙により、お口の中に大きな悪影響を及ぼすインプラント周囲炎等にかかる可能性があります
- 糖尿病、肝硬変、心臓病等の場合、インプラント治療ができない可能性があります
- 高血圧、貧血・不整脈等の場合、インプラント治療後に治癒不全を招く可能性があります
- 自費診療(保険適用外治療)となります
ワイヤー矯正の注意事項(リスク・副作用など)
- 治療中は違和感や痛みが起こることがあります
- 症状により、抜歯が必要な場合があります
- 治療中は歯磨きがしにくくなるため、虫歯や歯周病になりやすくなります
- 矯正治療後の保定が不十分だと後戻り(元の位置に戻ろうとする動き)をします
- 自費診療(保険適用外)となります
根管治療の注意事項(リスク・副作用など)
- 根管治療により類似の全ての症例の問題が解決するわけではなく、症例はあくまでも一例です
- 根管治療により痛みや腫れがひかない事や、術後に痛みや腫れが生じる事、治療によるファイル破折やパーフォレーションなどの偶発症、術後の歯根破折を生じる可能性もあります
- 自費診療(保険適用外)となります
外科処置の注意事項(リスク・副作用など)
- 外科手術のため、術後に出血、痛みや腫れ、違和感を伴います
- 口腔内の状態によっては適応できないことがあります
当サイトの内容、テキスト、画像等の無断転載、複製、複写、盗用を固く禁じます。









