症例詳細
Case detail
がたつきと出っ歯 ワイヤー矯正での歯並び改善
治療症例の内容
- 担当医
- 大元洋佑(ドクタープロフィール)
- 患者様
- 20代女性
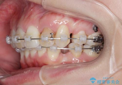
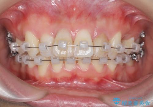
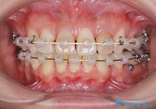
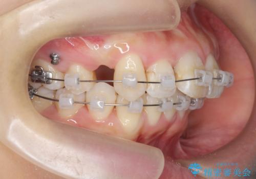
- 矯正装置
- ワイヤー矯正
- 治療期間
- 3年
- 治療回数
- 30回以上
- 治療計画
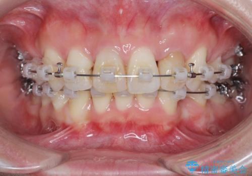
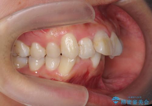
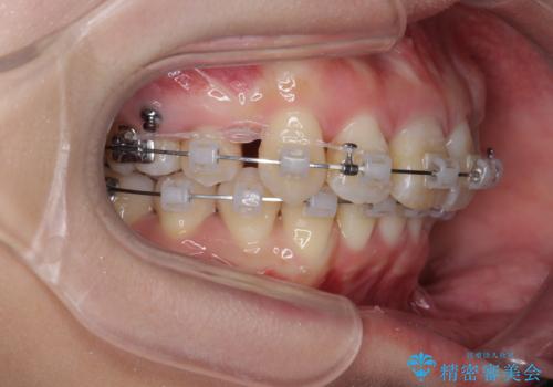
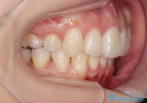
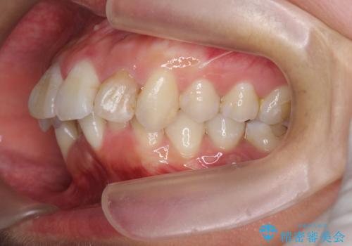
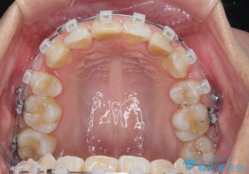
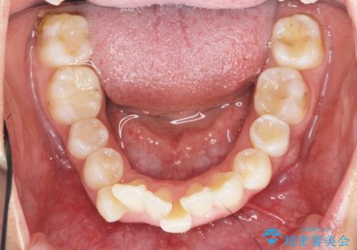
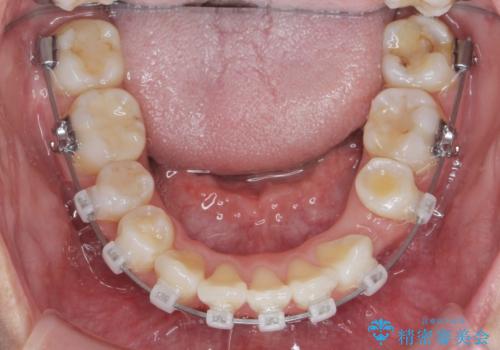
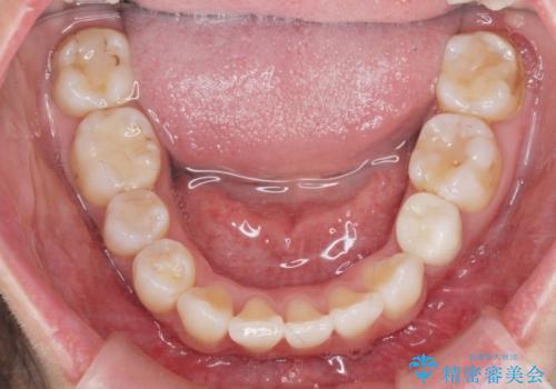
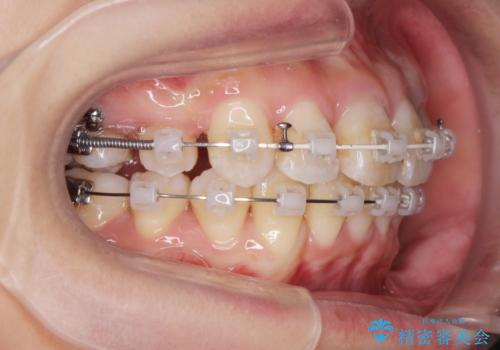
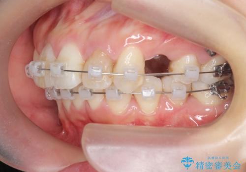
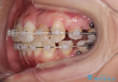
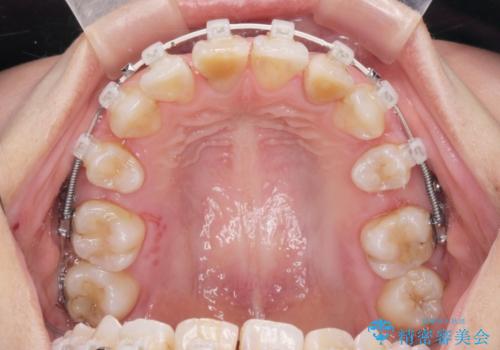
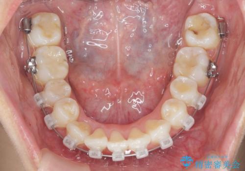
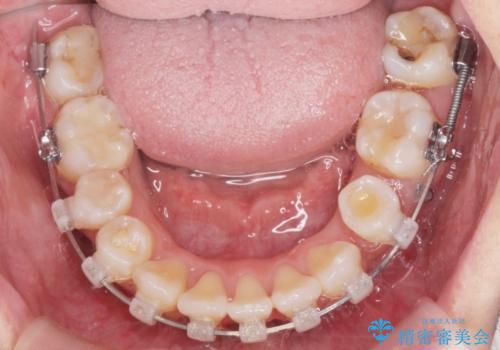
- 突き出た前歯と、歯ブラシのしづらいがたがたの歯並びの改善を求めて来院されました。
抜歯を行うことでしっかりとスペースを確保し、ワイヤー矯正でしっかりと歯並びを整えていきます。
- 費用(概算)
- 132万円費用は治療当時の料金となります
治療について
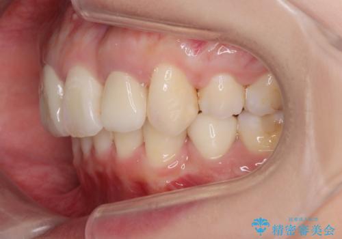
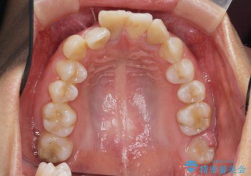
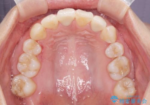
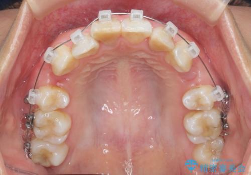
難易度の高い矯正治療でしたがしっかりときれいな歯並びに仕上げることができました。
ワイヤー矯正の注意事項(リスク・副作用など)
- 治療中は違和感や痛みが起こることがあります
- 症状により、抜歯が必要な場合があります
- 治療中は歯磨きがしにくくなるため、虫歯や歯周病になりやすくなります
- 矯正治療後の保定が不十分だと後戻り(元の位置に戻ろうとする動き)をします
- 自費診療(保険適用外)となります
当サイトの内容、テキスト、画像等の無断転載、複製、複写、盗用を固く禁じます。

























