症例詳細
Case detail
上の前歯が下唇に引っかかる 口元を引っ込めすぎない抜歯矯正治療
治療症例の内容
- 診療科目
- 治療カテゴリ
- 担当医
- 藤巻太一朗(ドクタープロフィール)
- 患者様
- 20代女性
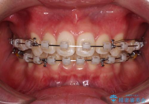
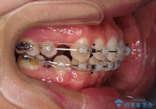
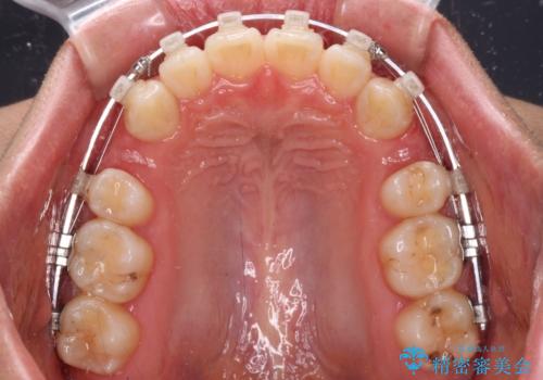
- 矯正装置
- クリアブラケット
- 治療期間
- 2年11ヶ月
- 治療回数
- 30回以上
- 治療計画
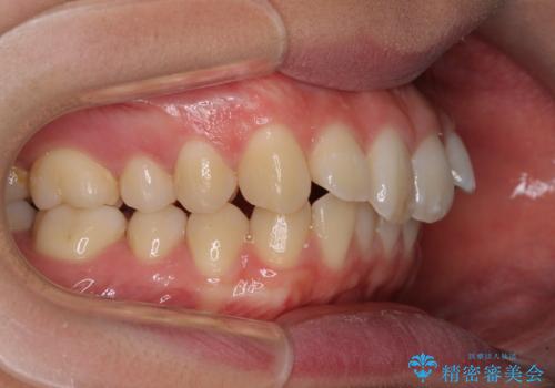
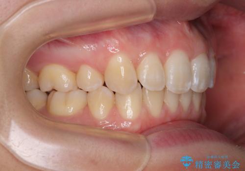
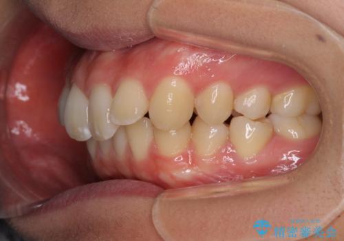
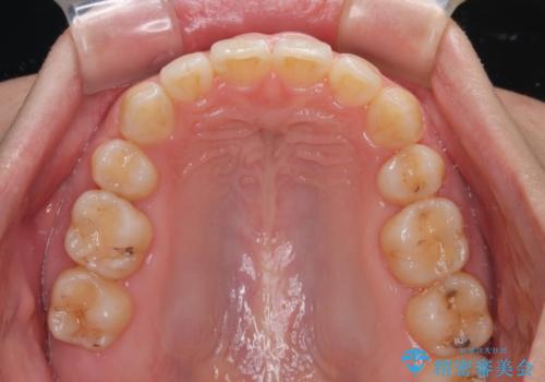
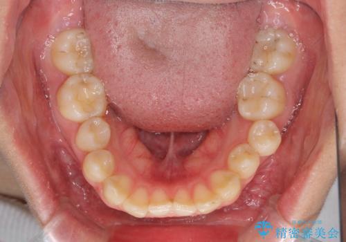
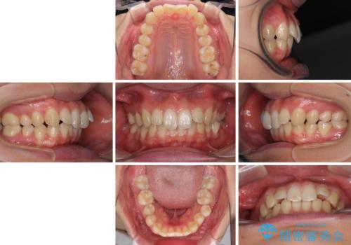
- 上の前歯が下唇に引っかかる感じが気にして来院された患者様です。
上下歯列の前後位置を見ると、上顎が全体的に前方に位置しており、上顎前歯が前方に突出しているものの、横顔の印象はそれほど口元が突出しているものではない状態でした。
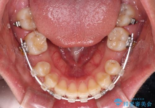
口元を極端に引っ込めた印象にしないため、上顎は左右第一小臼歯2本を、下顎は左右第二小臼歯2本を抜歯し、ワイヤー装置にて矯正治療を行うこととしました。
- 費用(概算)
- 105万円(税込)費用は治療当時の料金となります
治療について
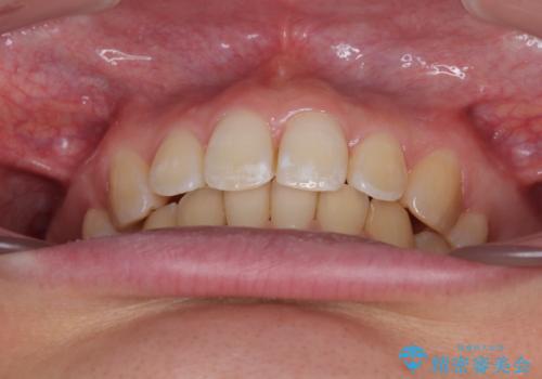
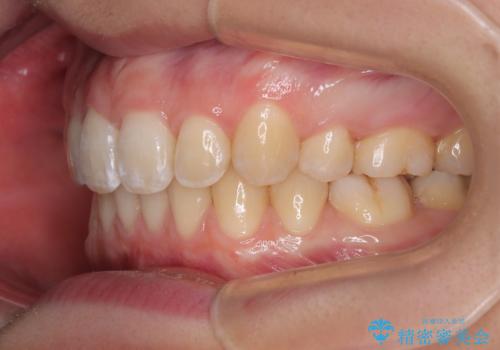
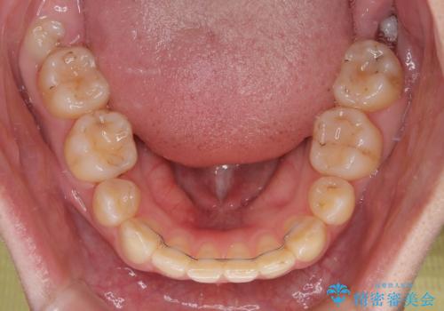
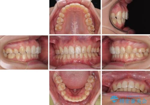
上下の抜歯位置を変えることで、左右ともに理想的な咬み合わせを達成することができました。
横顔の印象はほとんど変わらないものの、唇を閉じたときに前に出ていた下唇が、治療後には少し下がった状態に仕上げることができました。
ワイヤー矯正の注意事項(リスク・副作用など)
- 治療中は違和感や痛みが起こることがあります
- 症状により、抜歯が必要な場合があります
- 治療中は歯磨きがしにくくなるため、虫歯や歯周病になりやすくなります
- 矯正治療後の保定が不十分だと後戻り(元の位置に戻ろうとする動き)をします
- 自費診療(保険適用外)となります
当サイトの内容、テキスト、画像等の無断転載、複製、複写、盗用を固く禁じます。


























