症例詳細
Case detail
神経を取って変色した歯 オールセラミッククラウンで綺麗に仕上げる
治療症例の内容
- 診療科目
- 担当医
- 藤巻太一朗(ドクタープロフィール)
- 患者様
- 20代女性
- 治療期間
- 1ヶ月
- 治療回数
- 2-5回
- 治療計画
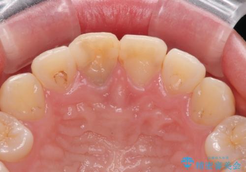
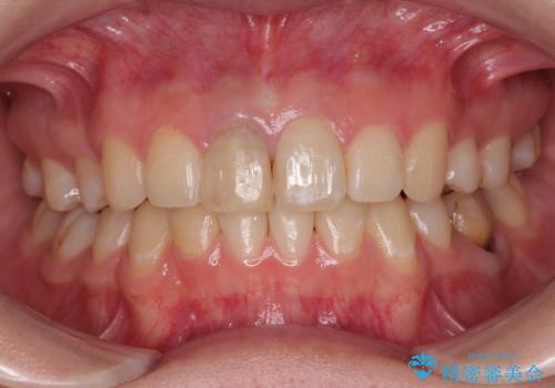
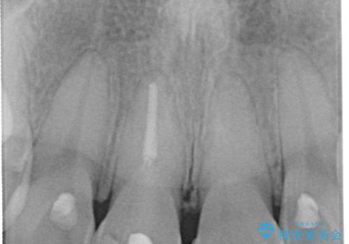
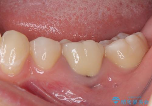
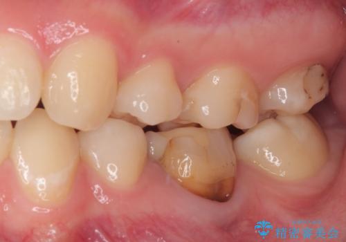
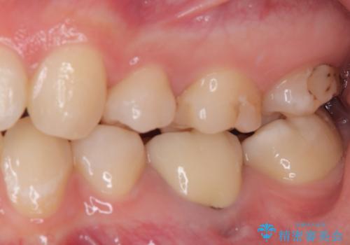
- 神経を取り除いた後に歯の色が変色して気になってきたとのことで来院された患者様です。
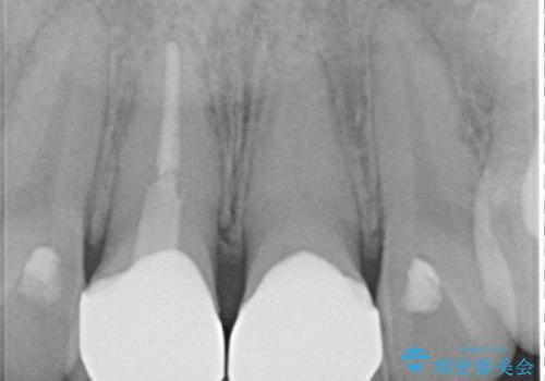
前歯は片側のみ神経を取り除かれていましたが、反対側もむし歯治療の詰め物が広範囲に及んでいたため、両方の歯をオールセラミッククラウンにて補綴治療を行うこととしました。
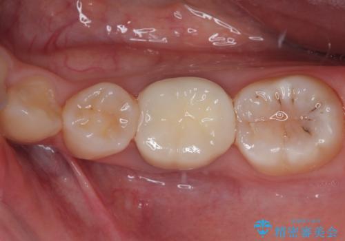
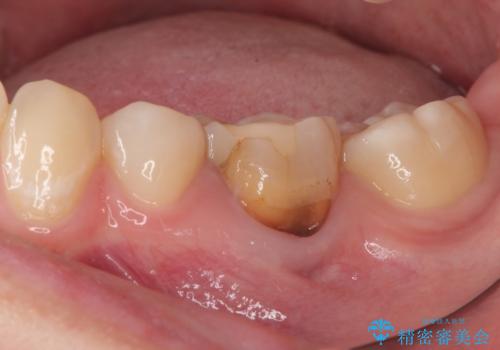
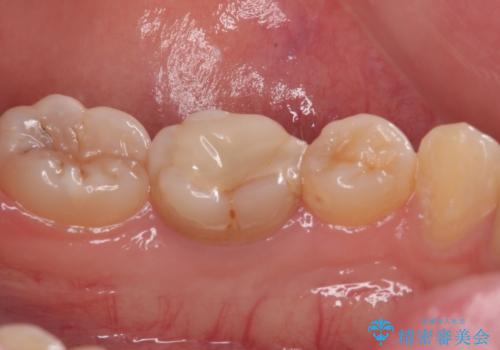
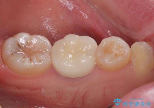
奥歯も著しく茶色に変色していたため、同様にオールセラミッククラウンにて補綴治療を行うこととしました。
- 費用(概算)
- 40万円(税込)費用は治療当時の料金となります
治療について
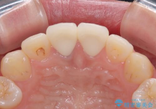
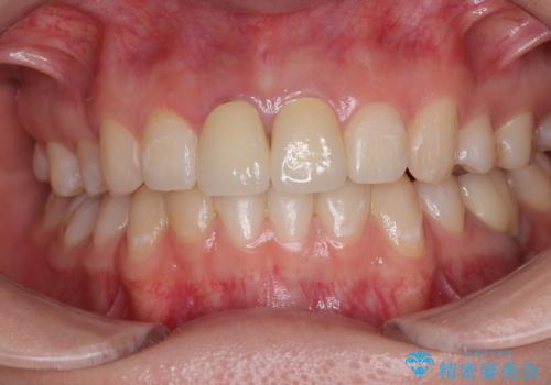
明るく自然な口元になりました。
セラミック治療の注意事項(リスク・副作用など)
- 天然歯を削ります
- 硬い素材は天然歯を傷つけてしまう場合があります
- かみ合わせや歯ぎしりが強すぎる方はセラミックが割れてしまう可能性があります
- 自費診療(保険適用外治療)となります
当サイトの内容、テキスト、画像等の無断転載、複製、複写、盗用を固く禁じます。


















