症例詳細
Case detail
転んで折れてしまった前歯 インプラント補綴治療
治療症例の内容
- 担当医
- 藤巻太一朗(ドクタープロフィール)
- 患者様
- 20代男性
- 治療期間
- 3ヶ月
- 治療回数
- 2-5回
- 治療計画
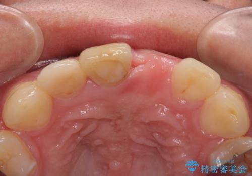
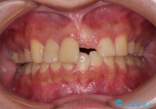
- 転倒により前歯を失ったところにインプラント治療を受けたいとのことで来院された患者様です。
転倒を機に矯正治療を行ったようで、歯列が整い、インプラントのスペースができたとのことで受診をされました。
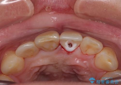
骨量は十分にあったため、インプラント埋入後速やかに仮歯を装着して、歯肉治癒後にオールセラミッククラウンによる補綴治療を行うこととしました。
- 費用(概算)
- 52万円(税込)費用は治療当時の料金となります
治療について
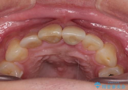
日中は仮歯の着いた床タイプのリテーナーを装着していていましたが、仮歯が装着された段階でマウスピースタイプのリテーナーに変更しました。
セラミックで自然な口元となり、視線が集まっていたことも気にならなくなったとのことでした。
インプラント治療の注意事項(リスク・副作用など)
- 外科手術のため、術後に痛みや腫れ、違和感を伴います
- メンテナンスを怠ったり喫煙により、お口の中に大きな悪影響を及ぼすインプラント周囲炎等にかかる可能性があります
- 糖尿病、肝硬変、心臓病等の場合、インプラント治療ができない可能性があります
- 高血圧、貧血・不整脈等の場合、インプラント治療後に治癒不全を招く可能性があります
- 自費診療(保険適用外治療)となります
セラミック治療の注意事項(リスク・副作用など)
- 天然歯を削ります
- 硬い素材は天然歯を傷つけてしまう場合があります
- かみ合わせや歯ぎしりが強すぎる方はセラミックが割れてしまう可能性があります
- 自費診療(保険適用外治療)となります
当サイトの内容、テキスト、画像等の無断転載、複製、複写、盗用を固く禁じます。














