症例詳細
Case detail
目立ちにくい表側装置で1年完了!狭いアーチを側方拡大し前歯のデコボコを整えた症例
治療症例の内容
- 担当医
- 齋藤佑磨(ドクタープロフィール)
- 患者様
- 20代女性
- 矯正装置
- 審美装置
- 治療期間
- 1年1ヶ月
- 治療回数
- 10-30回
- 治療計画
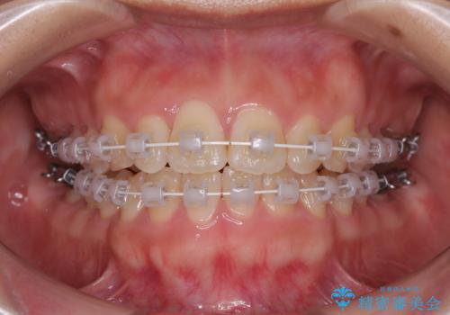
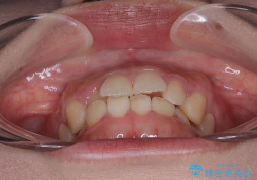
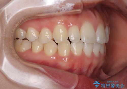
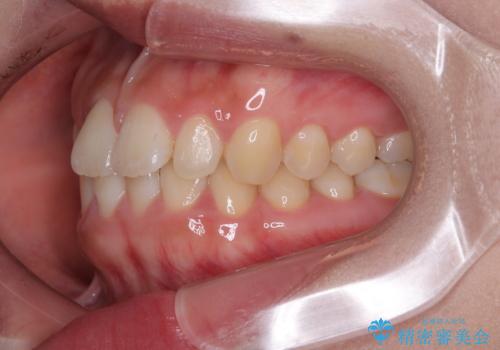
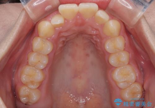
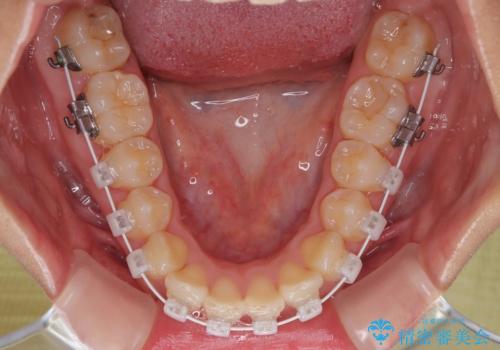
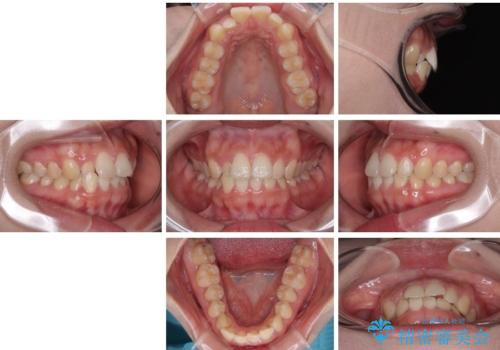
- 前歯のデコボコが気になるでのことで来院された患者様です。
歯列アーチが狭くスペース不足により前歯がデコボコしている状態でした。見た目を改善しつつ、前歯を前方に突出させず、自然な笑顔を目指したいというご希望でした。
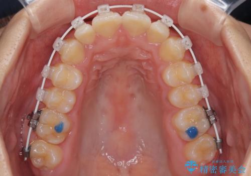
治療計画
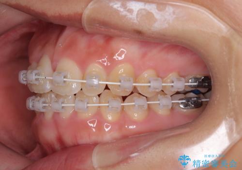
・アーチを側方に拡大して歯が並ぶスペースを確保
・抜歯は避け、非抜歯での対応
・目立ちにくい審美装置による矯正
・治療期間をできるだけ短縮するために、綿密な装置管理と協力体制を構築
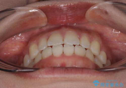
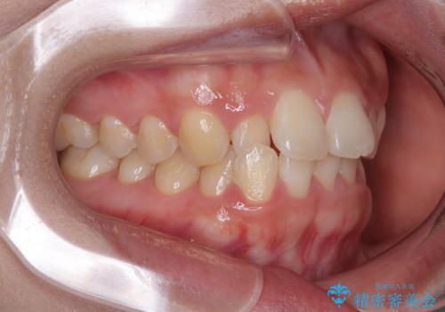
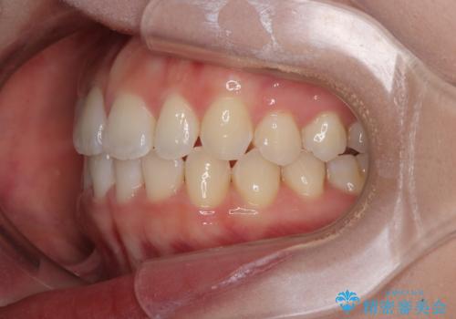
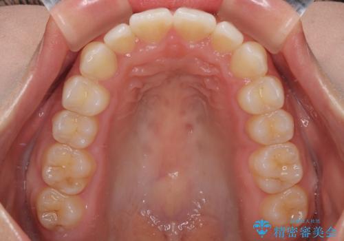
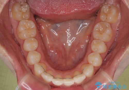
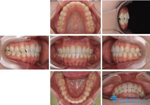
治療終了時
前歯が自然なアーチにきれいに並び、正中(上下の中心線)も整い、咬み合わせも良好です。
側方拡大することで、非抜歯であるにも関わらず前歯が前方に出ることなく、バランスの良い仕上がりとなりました。
- 費用(概算)
- 94万円(税込)費用は治療当時の料金となります
治療について
「矯正装置が目立たず、思ったより短期間で仕上がりに満足しています。鏡を見るのが毎日楽しみになりました!」とうれしいお言葉をいただきました。
ワイヤー矯正の注意事項(リスク・副作用など)
- 治療中は違和感や痛みが起こることがあります
- 症状により、抜歯が必要な場合があります
- 治療中は歯磨きがしにくくなるため、虫歯や歯周病になりやすくなります
- 矯正治療後の保定が不十分だと後戻り(元の位置に戻ろうとする動き)をします
- 自費診療(保険適用外)となります
当サイトの内容、テキスト、画像等の無断転載、複製、複写、盗用を固く禁じます。


























