症例詳細
Case detail
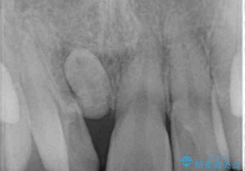
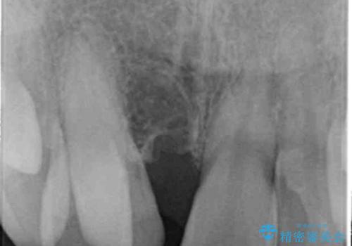
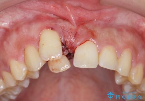
正中過剰埋伏歯で生じた前歯の審美障害 矯正治療での改善
治療症例の内容
- 患者様
- 20代男性
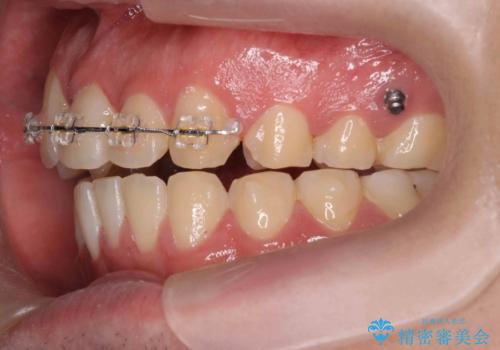
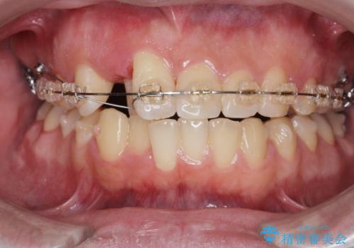
- 矯正装置
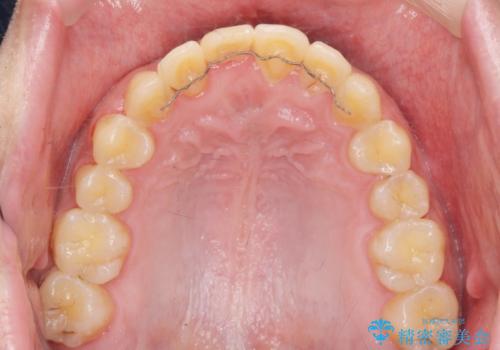
- ワイヤー矯正 → インビザライン
- 治療期間
- 3年
- 治療回数
- 30回以上
- 治療計画
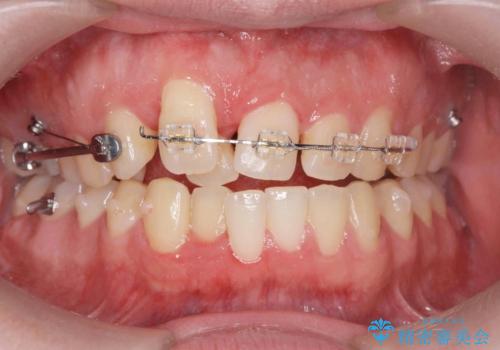
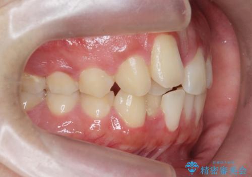
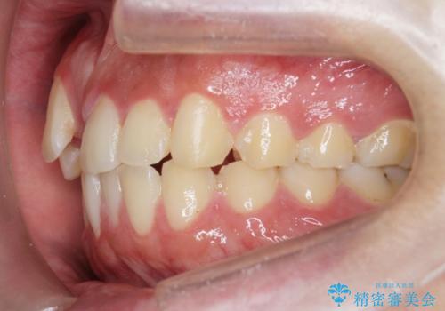
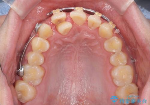
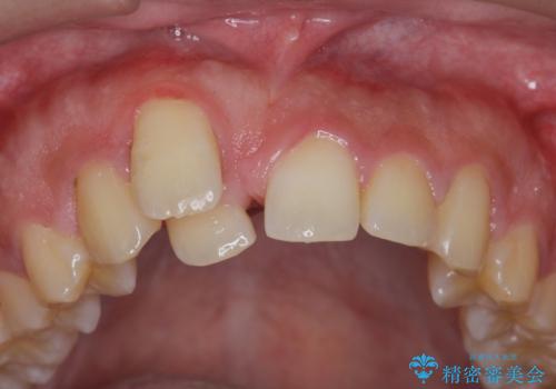
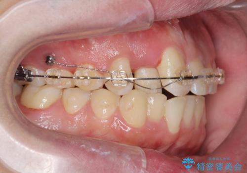
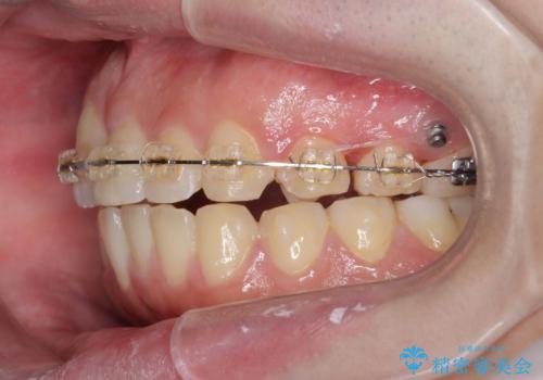
- 前歯の見た目に悩まれて来院されました。
当初他院では、抜歯を行いセラミックブリッジを提案されていましたが、他の方法はないかと総合歯科治療を行う当院へと相談来院されました。
「時間がかかっても良いので、できれば歯を抜かずに矯正治療で治したい。」という強い希望があったので、矯正治療で歯並び・審美性の改善を計画します。
- 費用(概算)
- 120万円費用は治療当時の料金となります
治療について
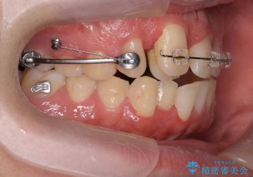
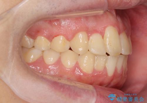
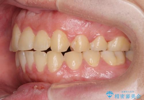
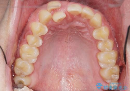
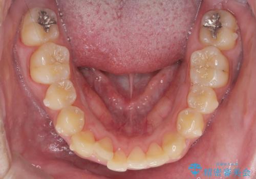
見た目、噛み合わせが大きく改善し、大変喜んでいただくことができました。
ワイヤー矯正の注意事項(リスク・副作用など)
- 治療中は違和感や痛みが起こることがあります
- 症状により、抜歯が必要な場合があります
- 治療中は歯磨きがしにくくなるため、虫歯や歯周病になりやすくなります
- 矯正治療後の保定が不十分だと後戻り(元の位置に戻ろうとする動き)をします
- 自費診療(保険適用外)となります
マウスピース矯正の注意事項(リスク・副作用など)
- 口腔内・歯並びの状態によっては対応できない場合があります
- マウスピース型矯正装置の長時間装着(1日20時間以上)が必須です
- 治療計画通りに進めるためには、患者様の意志が重要になります
- 矯正治療後の保定が不十分だと後戻り(元の位置に戻ろうとする動き)をします
- 薬機法対象外の矯正歯科装置のため医薬品副作用被害救済制度の対象外となる場合があります
- 自費診療(保険適用外)となります
当サイトの内容、テキスト、画像等の無断転載、複製、複写、盗用を固く禁じます。


























