症例詳細
Case detail
折れた前歯を即時インプラントで回復
治療症例の内容
- 患者様
- 30代男性
- 治療期間
- 5ヶ月
- 治療回数
- 5-10回
- 治療計画
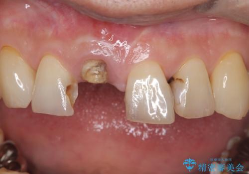
- 右上の前歯(1番)が折れたことを主訴に来院されました。診察とレントゲン検査の結果、歯冠の大部分が失われ、歯根の先には根尖病変(膿の袋)も認められました。残存歯質がほとんどなく、歯を保存することが困難と判断し、抜歯が必要と診断しました。
前歯は見た目の印象に大きく関わる部位であるため、できる限り治療期間中の審美性と機能性を損なわないことが求められます。患者さんとも相談のうえ、抜歯と同時にインプラント体を埋入する「即時埋入インプラント」を選択しました。これにより治療期間の短縮と、歯ぐきや骨の形態を保ちながらの審美的回復が可能となります。
- 費用(概算)
- 60万円費用は治療当時の料金となります
治療について
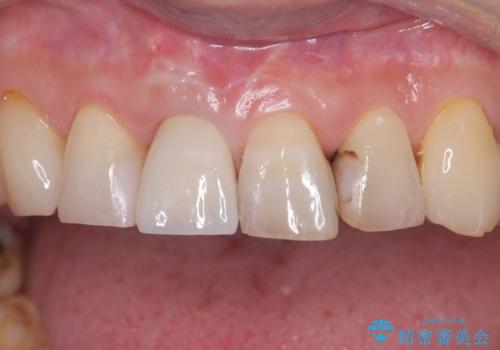
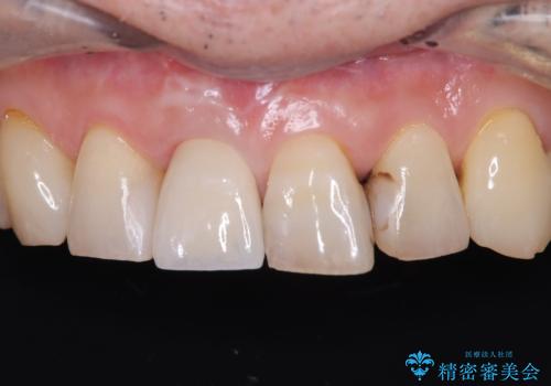
治療は、まず感染の原因となっていた前歯を慎重に抜歯し、抜歯と同時にインプラントを埋入しました。審美性を重視する部位であるため、骨や歯ぐきのボリュームを維持するための補填処置も併用しています。術後は仮歯を装着し、見た目を保ちながらインプラントと骨がしっかりと結合するのを待ちました。
約3か月の治癒期間を経て、最終的にセラミックの上部構造を装着。周囲の歯や歯ぐきとの調和を図りながら、自然な見た目としっかりとした噛み心地を再現しました。患者さんからは「折れて落ち込んでいたが、見た目も噛み心地も元通りで嬉しい」とのお声をいただきました。即時埋入により、精神的な負担も少なく治療を終えることができました。
セラミック治療の注意事項(リスク・副作用など)
- 天然歯を削ります
- 硬い素材は天然歯を傷つけてしまう場合があります
- かみ合わせや歯ぎしりが強すぎる方はセラミックが割れてしまう可能性があります
- 自費診療(保険適用外治療)となります
当サイトの内容、テキスト、画像等の無断転載、複製、複写、盗用を固く禁じます。














