症例詳細
Case detail
歯周病再生治療と歯周ポケット除去 歯周外科手術
治療症例の内容
- 担当医
- 大元洋佑(ドクタープロフィール)
- 患者様
- 30代女性
- 矯正装置
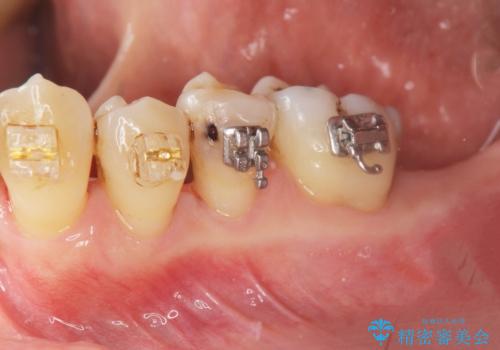
- 部分ワイヤー矯正
- 治療期間
- 1年6ヶ月
- 治療回数
- 10-30回
- 治療計画
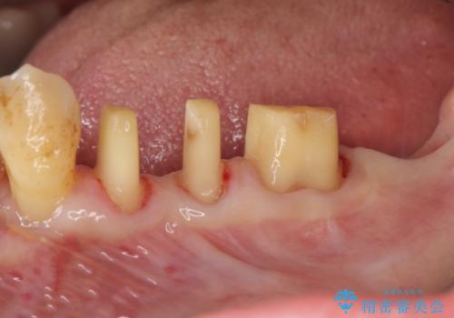
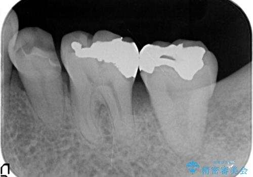
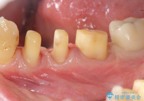
- 他院で歯周病を指摘され、様子見ではなく根本的な治療はないか?とご相談に来院されました。
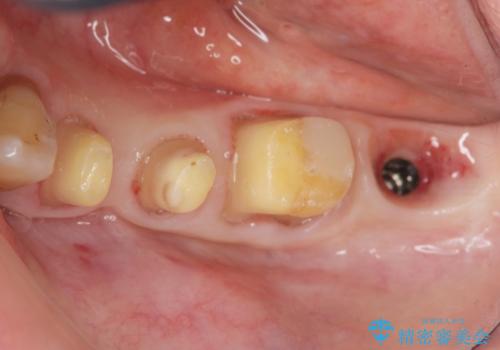
重度の歯周病で再生療法の適応ではない最後方臼歯は抜去行い、インプラント治療、
がたつきの強い天然歯を矯正治療で整えたのち、再生治療、歯周ポケットを除去する歯周外科手術を行いました。
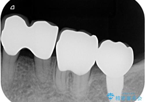
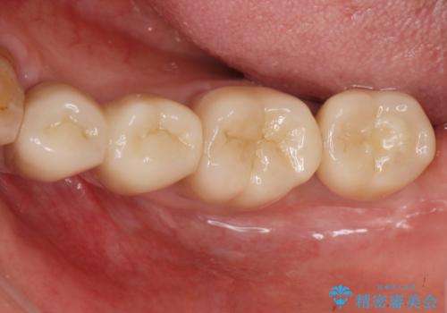
歯周病の問題が解決したのち、歯の揺れを抑えるべくセラミッククラウンで連結補綴をおこなっています。
- 費用(概算)
- 102.3万円 (再生療法 歯周ポケット除去手術 インプラント アバットメント セラミッククラウン×4 )費用は治療当時の料金となります
治療について
再生療法を行ったことで、抜歯をされてもおかしくなかった歯を、残すことができました。
インプラント治療の注意事項(リスク・副作用など)
- 外科手術のため、術後に痛みや腫れ、違和感を伴います
- メンテナンスを怠ったり喫煙により、お口の中に大きな悪影響を及ぼすインプラント周囲炎等にかかる可能性があります
- 糖尿病、肝硬変、心臓病等の場合、インプラント治療ができない可能性があります
- 高血圧、貧血・不整脈等の場合、インプラント治療後に治癒不全を招く可能性があります
- 自費診療(保険適用外治療)となります
歯周病治療の注意事項(リスク・副作用など)
- 外科手術のため、術後に痛みや腫れ、違和感を伴います
- 歯周組織再生治療は患者様の状態によって術後の経過が異なります(見た目が改善しない場合もあります)
- 歯周組織再生治療は自費診療(保険適用外)となります
セラミック治療の注意事項(リスク・副作用など)
- 天然歯を削ります
- 硬い素材は天然歯を傷つけてしまう場合があります
- かみ合わせや歯ぎしりが強すぎる方はセラミックが割れてしまう可能性があります
- 自費診療(保険適用外治療)となります
当サイトの内容、テキスト、画像等の無断転載、複製、複写、盗用を固く禁じます。




















