症例詳細
Case detail
矯正の後戻りによるすきっ歯と歯肉退縮 根面被覆と部分矯正
治療症例の内容
- 担当医
- 藤巻太一朗(ドクタープロフィール)
- 患者様
- 30代女性
- 治療期間
- 8ヶ月
- 治療回数
- 10-30回
- 治療計画
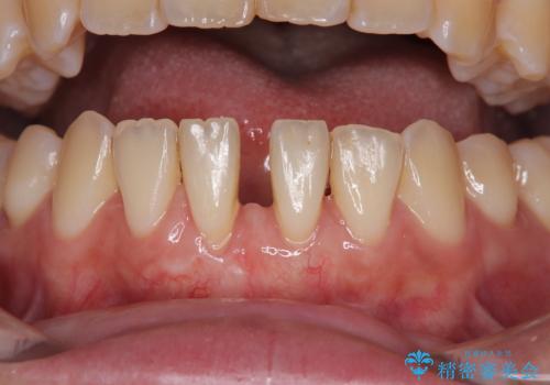
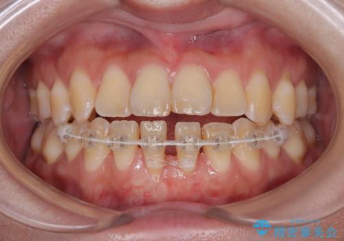
- 学生時代の矯正治療の後戻りと、それに伴う下顎前歯西肉退縮を気にして来院された患者様です。
舌の突出癖が著しく、それが原因で後戻りと歯肉退縮を起こしている状態でした。
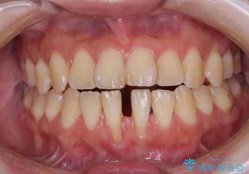
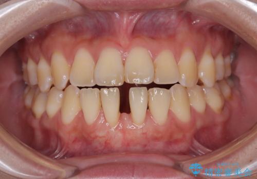
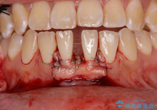
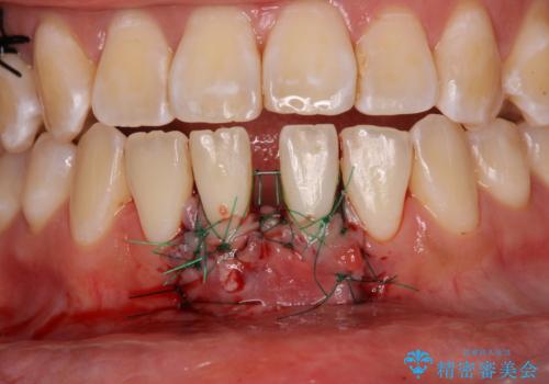
舌のトレーニングをしっかりと行っていくことを前提に、歯肉移植による根面被覆と、部分矯正によるすきっ歯の改善を行うこととしました。
- 費用(概算)
- 40万円(税込)費用は治療当時の料金となります
治療について
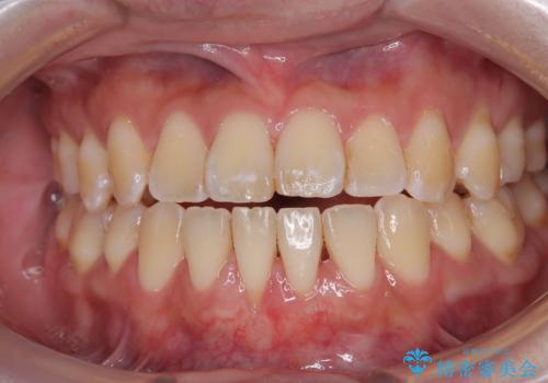
歯肉移植と矯正治療後には非常に満足のいく仕上がりとなりましたが、舌の突出癖は残存しており、今後歯肉退縮とすきっ歯になるリスクを抱えた状態での治療終了となりました。
歯周病治療の注意事項(リスク・副作用など)
- 外科手術のため、術後に痛みや腫れ、違和感を伴います
- 歯周組織再生治療は患者様の状態によって術後の経過が異なります(見た目が改善しない場合もあります)
- 歯周組織再生治療は自費診療(保険適用外)となります
ワイヤー矯正の注意事項(リスク・副作用など)
- 治療中は違和感や痛みが起こることがあります
- 症状により、抜歯が必要な場合があります
- 治療中は歯磨きがしにくくなるため、虫歯や歯周病になりやすくなります
- 矯正治療後の保定が不十分だと後戻り(元の位置に戻ろうとする動き)をします
- 自費診療(保険適用外)となります
当サイトの内容、テキスト、画像等の無断転載、複製、複写、盗用を固く禁じます。










