症例詳細
Case detail
歯周病でグラグラの歯 矯正治療と歯周外科を併用した総合歯科治療
治療症例の内容
- 患者様
- 40代女性
- 矯正装置
- 審美装置
- 治療期間
- 5年3ヶ月
- 治療回数
- 30回以上
- 治療計画
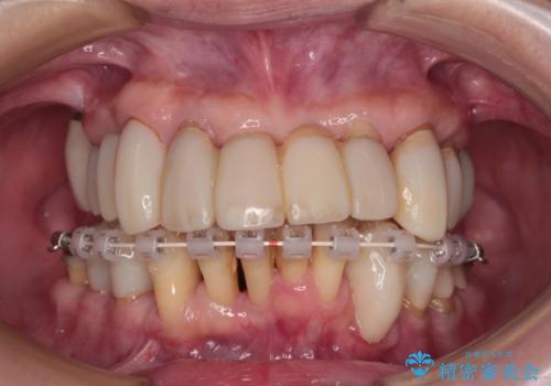
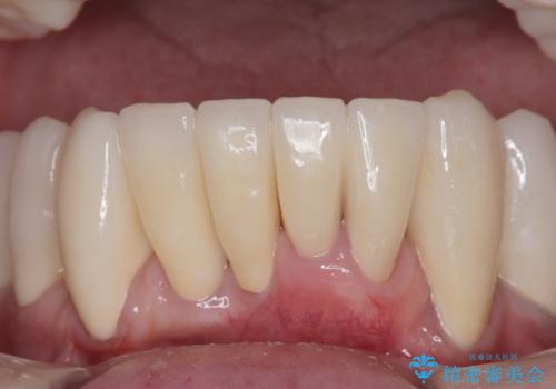
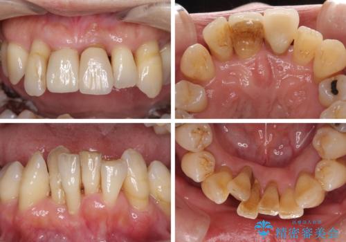
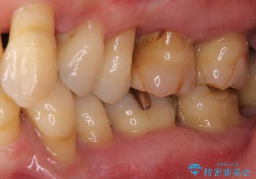
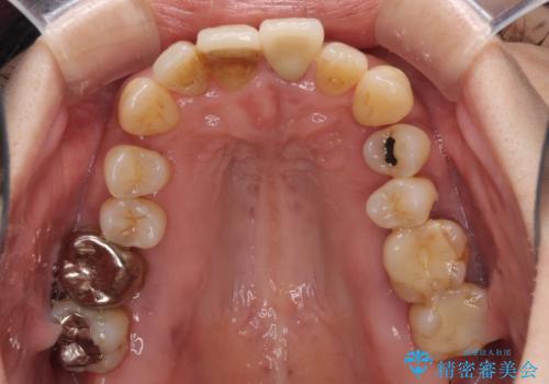
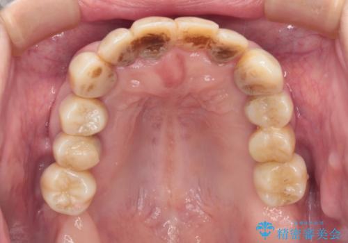
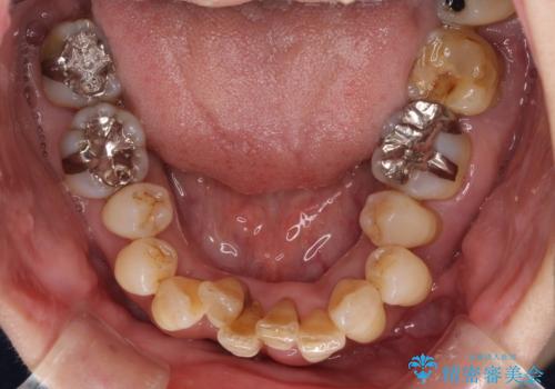
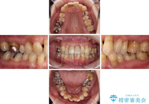
- 近医に通い続けるも、一向に不快感が改善しないとのことで来院された患者様です。
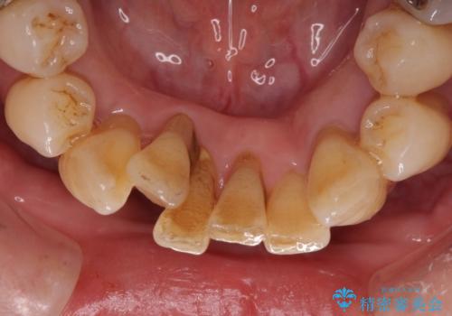
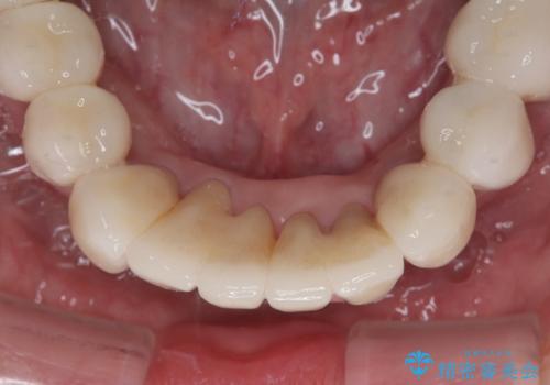
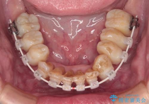
診察を行ったところ、重度歯周病の状態の上に上下の歯列が著しい叢生という状態でした。
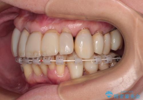
歯周初期治療として抜歯や歯槽骨再生治療を行い、さらに歯周ポケット除去を行った後に矯正治療で歯列を整えて行くこととしました。
- 費用(概算)
- 550万円(税込)費用は治療当時の料金となります
治療について
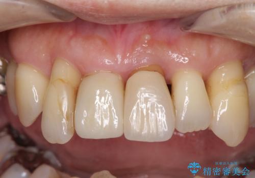
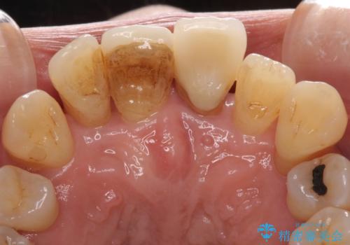
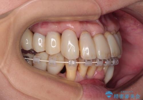
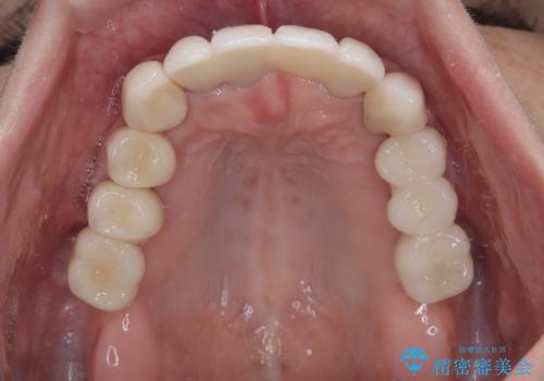
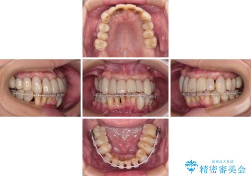
2~3年は早く終了する予定でしたが、途中で体調を崩されて来院されない時期が続いたため、非常に長期間の治療となりました。
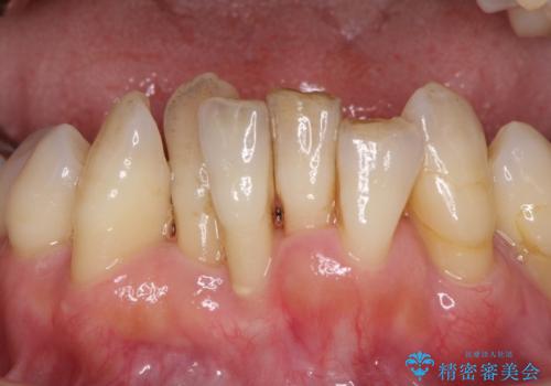
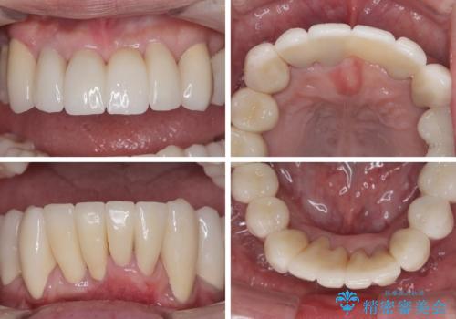
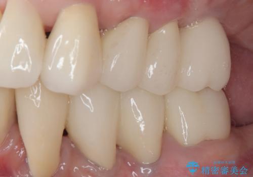
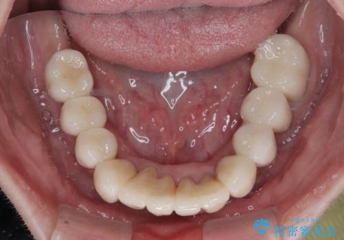
上顎口蓋からの堅い歯肉を移植する角化歯肉移植術を行いたかったのですが、体調不良から実施しなかったため、最終補綴物であるオールセラミッククラウンを装着した後に、知覚過敏や境目が見てしまうといった問題が一部で発生いたしました。
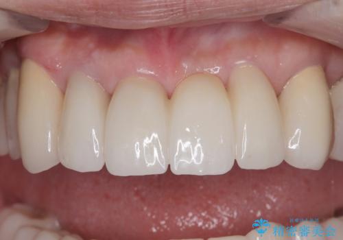
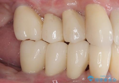
最終的には痛みや違和感のない状態にて治療を終えることができました。
歯周病治療の注意事項(リスク・副作用など)
- 外科手術のため、術後に痛みや腫れ、違和感を伴います
- 歯周組織再生治療は患者様の状態によって術後の経過が異なります(見た目が改善しない場合もあります)
- 歯周組織再生治療は自費診療(保険適用外)となります
ワイヤー矯正の注意事項(リスク・副作用など)
- 治療中は違和感や痛みが起こることがあります
- 症状により、抜歯が必要な場合があります
- 治療中は歯磨きがしにくくなるため、虫歯や歯周病になりやすくなります
- 矯正治療後の保定が不十分だと後戻り(元の位置に戻ろうとする動き)をします
- 自費診療(保険適用外)となります
インプラント治療の注意事項(リスク・副作用など)
- 外科手術のため、術後に痛みや腫れ、違和感を伴います
- メンテナンスを怠ったり喫煙により、お口の中に大きな悪影響を及ぼすインプラント周囲炎等にかかる可能性があります
- 糖尿病、肝硬変、心臓病等の場合、インプラント治療ができない可能性があります
- 高血圧、貧血・不整脈等の場合、インプラント治療後に治癒不全を招く可能性があります
- 自費診療(保険適用外治療)となります
セラミック治療の注意事項(リスク・副作用など)
- 天然歯を削ります
- 硬い素材は天然歯を傷つけてしまう場合があります
- かみ合わせや歯ぎしりが強すぎる方はセラミックが割れてしまう可能性があります
- 自費診療(保険適用外治療)となります
当サイトの内容、テキスト、画像等の無断転載、複製、複写、盗用を固く禁じます。
































