症例詳細
Case detail
ニューヨークから1泊で通院 1DAYインプラント
治療症例の内容
- 患者様
- 50代女性
- 治療期間
- 5ヶ月
- 治療回数
- 2-5回
- 治療計画
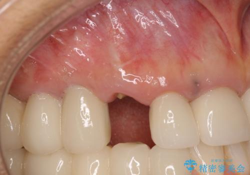
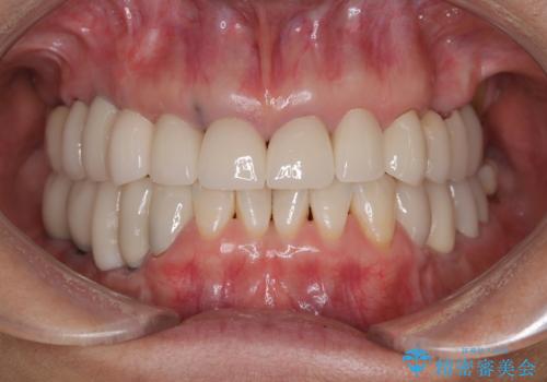
- 以前当院にて治療を終え、経過に不安を感じていた歯が要治療となったために海外から通院されている患者様です。
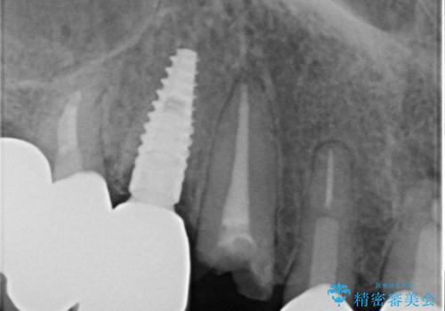
全顎的な治療後に、急遽ニューヨークへ転居されることとなったのですが、治療後から経過観察を行っていた右上犬歯が歯肉縁下に及ぶむし歯のため、クラウンが土台ごと外れてしまったとの連絡がありました。
患者様と連絡を取り、年に1、2回の帰国のタイミングで治療を進めて行くこととしました。
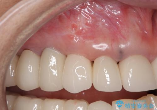
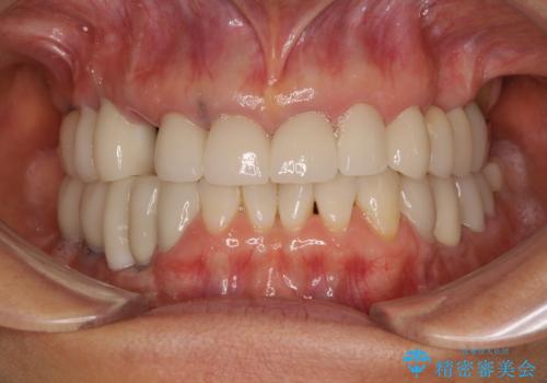
他の部位にインプラント治療を行っていたことから、こちらの歯に対してもインプラントによる補綴治療を希望されたため、1泊での帰国時に抜歯、インプラント埋入、仮歯の装着を行い、数ヶ月後の帰国時にオールセラミッククラウンの型取りと装着を行う計画としました。
- 費用(概算)
- 50万円(税込)費用は治療当時の料金となります
治療について
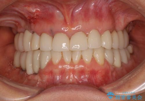
インプラント埋入時は1泊、補綴治療時には3週間ほど日本に滞在していただき、2回の渡航で無事に治療を終えることができました。
インプラント治療の注意事項(リスク・副作用など)
- 外科手術のため、術後に痛みや腫れ、違和感を伴います
- メンテナンスを怠ったり喫煙により、お口の中に大きな悪影響を及ぼすインプラント周囲炎等にかかる可能性があります
- 糖尿病、肝硬変、心臓病等の場合、インプラント治療ができない可能性があります
- 高血圧、貧血・不整脈等の場合、インプラント治療後に治癒不全を招く可能性があります
- 自費診療(保険適用外治療)となります
セラミック治療の注意事項(リスク・副作用など)
- 天然歯を削ります
- 硬い素材は天然歯を傷つけてしまう場合があります
- かみ合わせや歯ぎしりが強すぎる方はセラミックが割れてしまう可能性があります
- 自費診療(保険適用外治療)となります
当サイトの内容、テキスト、画像等の無断転載、複製、複写、盗用を固く禁じます。

















