症例詳細
Case detail
下顎大臼歯の再根管治療とオールセラミッククラウンによる補綴治療
治療症例の内容
- 診療科目
- 担当医
- 齋藤佑磨(ドクタープロフィール)
- 患者様
- 50代男性
- 治療期間
- 2ヶ月
- 治療回数
- 2-5回
- 治療計画
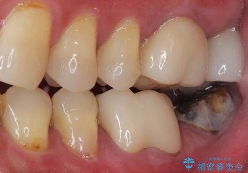
- 左下の奥歯の被せものが外れ、噛むと痛みがあると来院された患者様です。
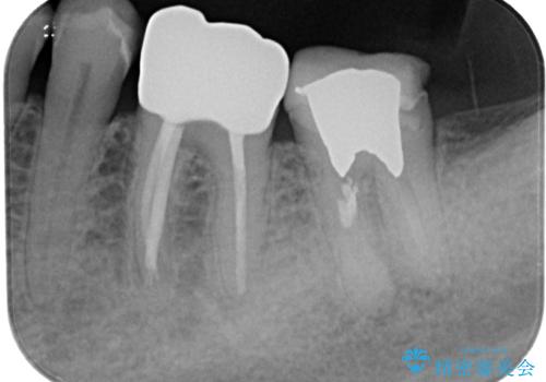
歯根破折の疑いがあり、顕微鏡下で染色して確認したところ破折線は認められませんでした。
そのため再根管治療の適応と判断し、治療を進めていくこととしました。
- 費用(概算)
- 30万円(税込)費用は治療当時の料金となります
治療について
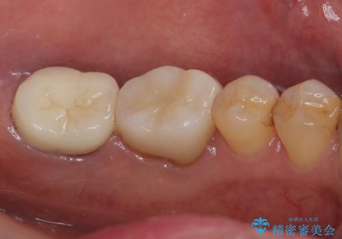
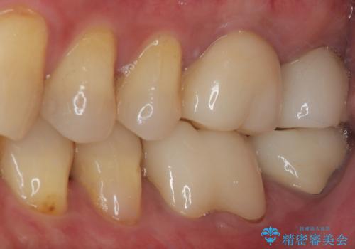
根管治療後は痛みもなくなりました。
強い咬合力による歯根破折を予防するためにナイトガードの使用も有効です。
セラミック治療の注意事項(リスク・副作用など)
- 天然歯を削ります
- 硬い素材は天然歯を傷つけてしまう場合があります
- かみ合わせや歯ぎしりが強すぎる方はセラミックが割れてしまう可能性があります
- 自費診療(保険適用外治療)となります
根管治療の注意事項(リスク・副作用など)
- 根管治療により類似の全ての症例の問題が解決するわけではなく、症例はあくまでも一例です
- 根管治療により痛みや腫れがひかない事や、術後に痛みや腫れが生じる事、治療によるファイル破折やパーフォレーションなどの偶発症、術後の歯根破折を生じる可能性もあります
- 自費診療(保険適用外)となります
当サイトの内容、テキスト、画像等の無断転載、複製、複写、盗用を固く禁じます。









