症例詳細
Case detail
見た目が気になる前歯が痛い
治療症例の内容
- 診療科目
- 担当医
- 藤巻太一朗(ドクタープロフィール)
- 患者様
- 20代女性
- 治療期間
- 2ヶ月
- 治療回数
- 2-5回
- 治療計画
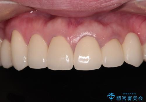
- 以前からクラウンの色合いなどが気に入らなかった前歯に痛みを感じて来院された患者様です。
前歯2本の歯根付近に大きな腫脹や膿の出口が認められたため、根管治療を行った後にオールセラミッククラウンにて補綴することとしました。
- 費用(概算)
- 治療費の目安: 50万円費用は治療当時の料金となります
治療を終えて
前歯のクラウンを外して仮歯に置き換える際に、初回の根管治療を実施しました。
翌日にはずっと気になっていた腫脹や痛みが引き、2週間後に根管充填を行いました。
痛みや腫脹が強かったため、今後も定期的にレントゲン写真撮影を行い経過を追っていく必要があります。
痛みが引き、長年気になっていた外観も改善され、患者様には大変満足していただきました。
リスクについて
根管治療後は一定の確率で症状が再発する可能性があります。
根管治療の注意事項(リスク・副作用など)
- 根管治療により類似の全ての症例の問題が解決するわけではなく、症例はあくまでも一例です
- 根管治療により痛みや腫れがひかない事や、術後に痛みや腫れが生じる事、治療によるファイル破折やパーフォレーションなどの偶発症、術後の歯根破折を生じる可能性もあります
- 自費診療(保険適用外)となります
セラミック治療の注意事項(リスク・副作用など)
- 天然歯を削ります
- 硬い素材は天然歯を傷つけてしまう場合があります
- かみ合わせや歯ぎしりが強すぎる方はセラミックが割れてしまう可能性があります
- 自費診療(保険適用外治療)となります
当サイトの内容、テキスト、画像等の無断転載、複製、複写、盗用を固く禁じます。












