症例詳細
Case detail
大臼歯の欠損をインプラントを使わず矯正で閉鎖|親知らずの活用による咬合改善
治療症例の内容
- 担当医
- 河口智英(ドクタープロフィール)
- 患者様
- 20代女性
- 治療期間
- 4年6ヶ月
- 治療回数
- 30回以上
- 治療計画
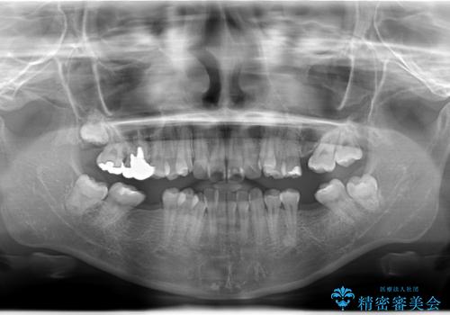
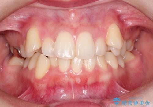
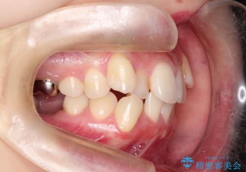
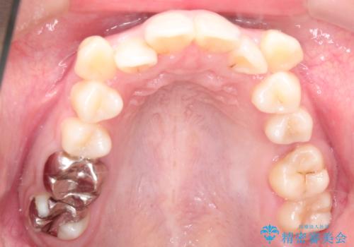
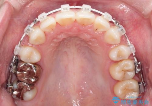
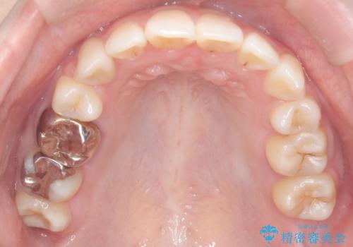
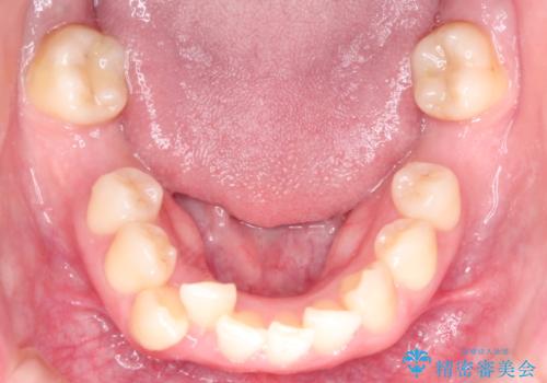
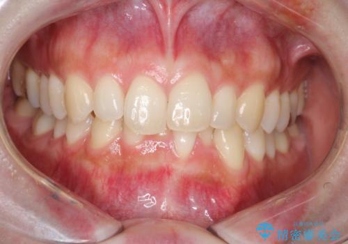
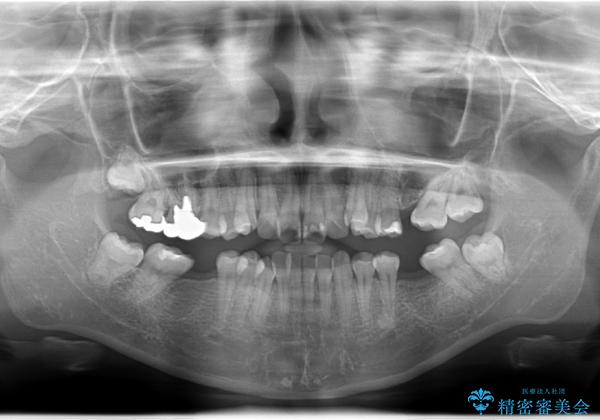
- 患者様は、下顎両側の第1大臼歯(6番)と右上6番の欠損を主訴に来院されました。
通常であればインプラントによる補綴が第一選択となる症例でしたが、患者様ご自身がインプラントを希望されなかったため、矯正治療によって欠損部の閉鎖を図る方針としました。
同時に、親知らず(智歯)の萌出や位置も考慮し、咬合全体のバランスを改善する矯正治療計画を立案しました。
- 費用(概算)
- 150万円費用は治療当時の料金となります
治療について
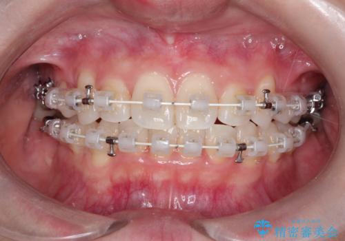
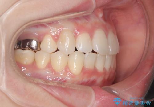
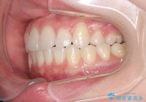
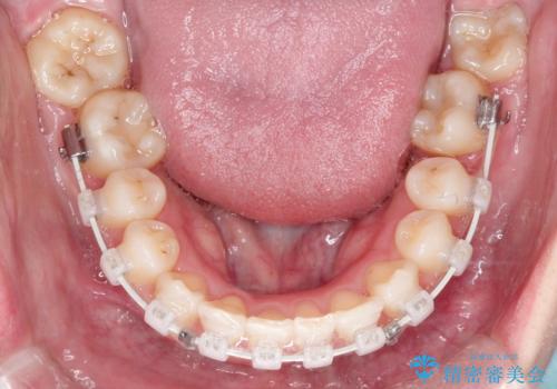
ワイヤー矯正を用いて、欠損部の閉鎖を目的とした後方からの歯の挺出・移動を行いました。
特に、親知らずを活用し、奥歯の噛み合わせを構築することに重点を置きました。
治療の途中で、1年間ご来院が難しい期間があり、当初の予定より治療期間は延長しましたが、
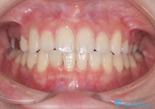
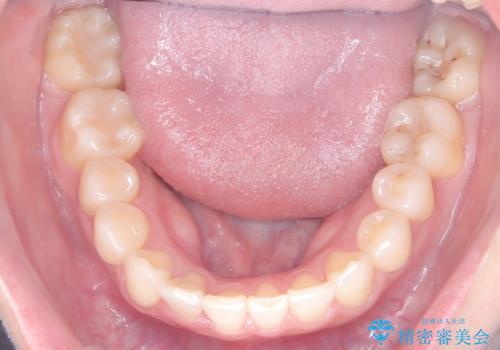
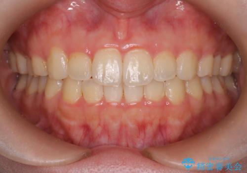
最終的には予定通りインプラントを使用せずに欠損部を閉鎖し、咬合も安定させることができました。
ワイヤー矯正の注意事項(リスク・副作用など)
- 治療中は違和感や痛みが起こることがあります
- 症状により、抜歯が必要な場合があります
- 治療中は歯磨きがしにくくなるため、虫歯や歯周病になりやすくなります
- 矯正治療後の保定が不十分だと後戻り(元の位置に戻ろうとする動き)をします
- 自費診療(保険適用外)となります
当サイトの内容、テキスト、画像等の無断転載、複製、複写、盗用を固く禁じます。


















