症例詳細
Case detail
右下5番の先天欠如と前歯の叢生に対するワイヤー矯正とインプラント治療
治療症例の内容
- 担当医
- 河口智英(ドクタープロフィール)
- 患者様
- 20代女性
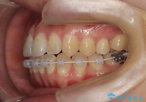
- 矯正装置
- 審美装置
- 治療期間
- 1年6ヶ月
- 治療回数
- 10-30回
- 治療計画
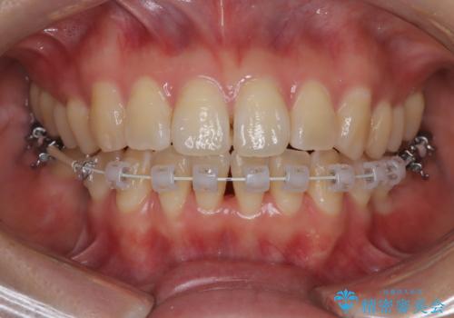
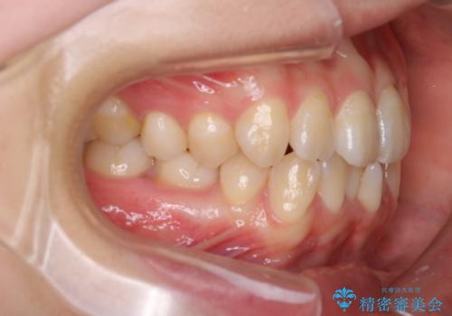
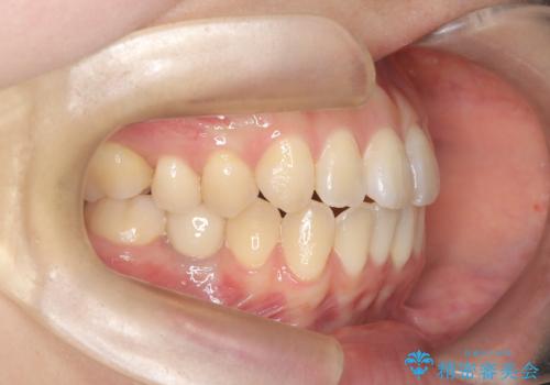
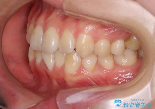
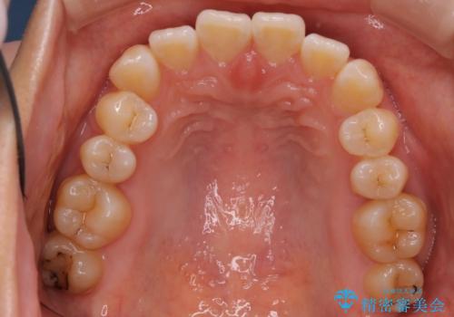
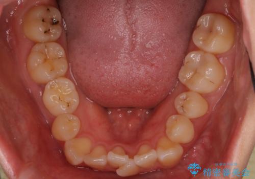
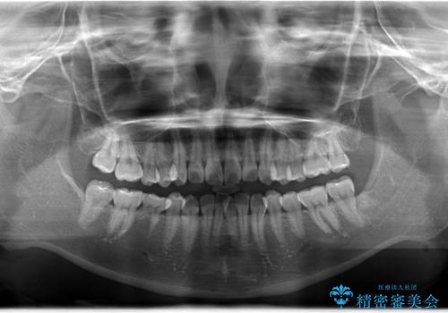
- 患者様は、右下第2小臼歯(5番)の先天欠如により乳歯が残存している状態でした。
加えて、**下顎前歯部に叢生(歯のがたつき)**が見られ、審美的・機能的な改善を希望されて来院されました。
診査の結果、乳歯は長期間機能していましたが、将来的な脱落のリスクが高く、インプラントによる永久歯の補綴が望ましいと判断しました。
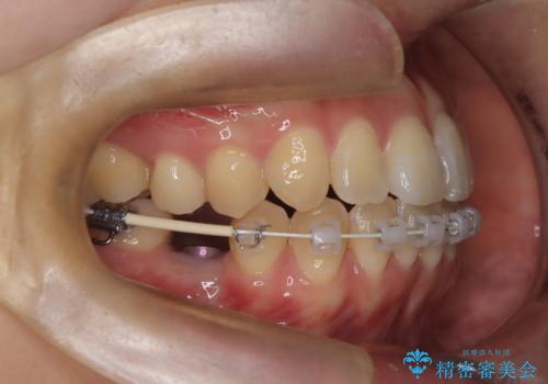
また、欠損部にインプラントを埋入するには、前後の歯の傾斜改善とスペース確保のための矯正治療が必要でした。
下顎前歯の叢生も同時に改善できるよう、全体的なワイヤー矯正による治療計画を立案しました。
- 費用(概算)
- 130万円費用は治療当時の料金となります
治療について
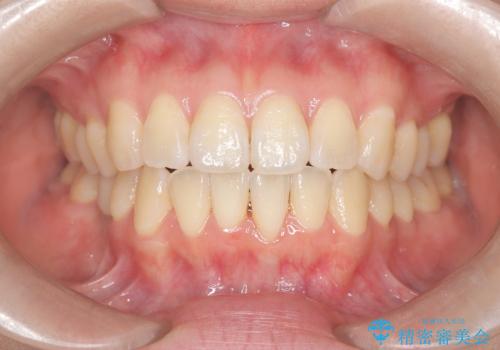
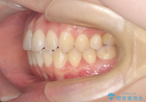
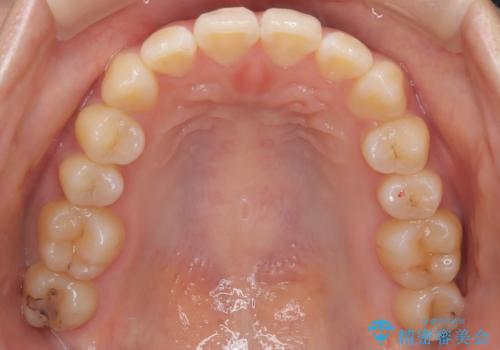
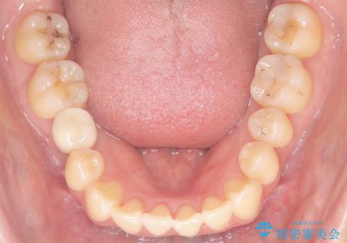
下顎前歯の叢生が整い、右下5番部には機能的かつ審美的なインプラント補綴が完了しました。
咬合全体のバランスも改善し、長期的な安定性が期待される状態となりました。
患者様にも「長年気になっていた前歯のがたつきも一緒に治せてよかった」と喜んでいただけました。
ワイヤー矯正の注意事項(リスク・副作用など)
- 治療中は違和感や痛みが起こることがあります
- 症状により、抜歯が必要な場合があります
- 治療中は歯磨きがしにくくなるため、虫歯や歯周病になりやすくなります
- 矯正治療後の保定が不十分だと後戻り(元の位置に戻ろうとする動き)をします
- 自費診療(保険適用外)となります
インプラント治療の注意事項(リスク・副作用など)
- 外科手術のため、術後に痛みや腫れ、違和感を伴います
- メンテナンスを怠ったり喫煙により、お口の中に大きな悪影響を及ぼすインプラント周囲炎等にかかる可能性があります
- 糖尿病、肝硬変、心臓病等の場合、インプラント治療ができない可能性があります
- 高血圧、貧血・不整脈等の場合、インプラント治療後に治癒不全を招く可能性があります
- 自費診療(保険適用外治療)となります
当サイトの内容、テキスト、画像等の無断転載、複製、複写、盗用を固く禁じます。

















