症例詳細
Case detail
インプラント治療を含む精密審美治療
治療症例の内容
- 患者様
- 50代男性
- 治療期間
- 10ヶ月
- 治療回数
- 10-30回
- 治療計画
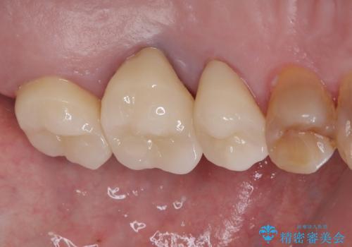
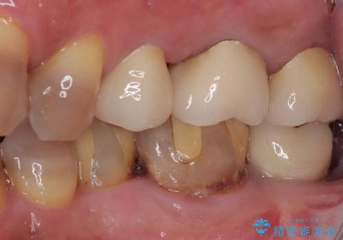
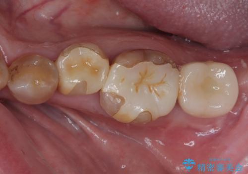
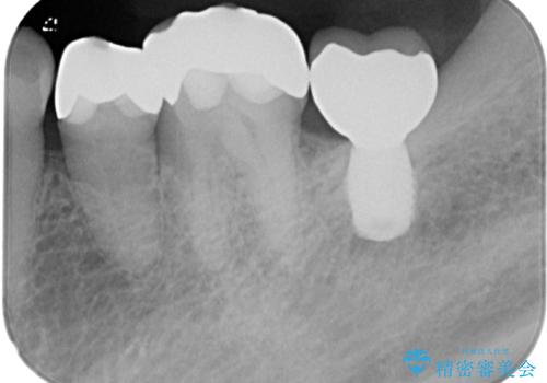
- 左下奥歯のインプラント治療と左上の被せもののやり替えを希望されて来院された患者様です。
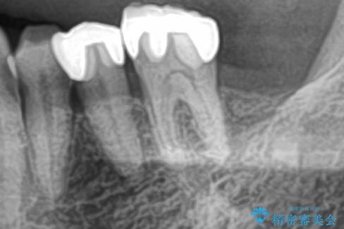
左上の奥2本は他院で根管治療と仮歯まで入れている状態です。根管治療のやり替えは希望されなかったため被せものから治療していくことにしました。
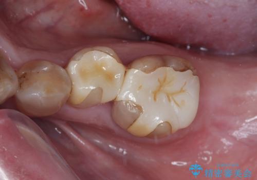
その手前の小臼歯は根尖病変が認められるため根管治療のやり直しからしていくこととしました。
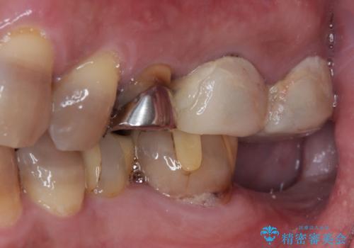
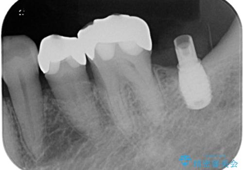
左下はインプラントによる補綴治療を行いました。
- 費用(概算)
- 100万円(税込)費用は治療当時の料金となります
治療について
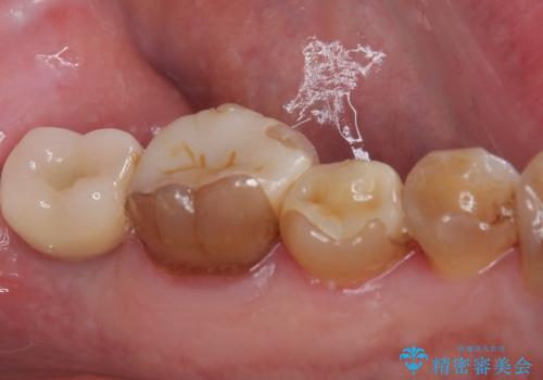
左上の小臼歯は根尖病巣が大きかったため、今後も定期的にレントゲンを撮り、経過観察していく予定です。
セラミック治療の注意事項(リスク・副作用など)
- 天然歯を削ります
- 硬い素材は天然歯を傷つけてしまう場合があります
- かみ合わせや歯ぎしりが強すぎる方はセラミックが割れてしまう可能性があります
- 自費診療(保険適用外治療)となります
インプラント治療の注意事項(リスク・副作用など)
- 外科手術のため、術後に痛みや腫れ、違和感を伴います
- メンテナンスを怠ったり喫煙により、お口の中に大きな悪影響を及ぼすインプラント周囲炎等にかかる可能性があります
- 糖尿病、肝硬変、心臓病等の場合、インプラント治療ができない可能性があります
- 高血圧、貧血・不整脈等の場合、インプラント治療後に治癒不全を招く可能性があります
- 自費診療(保険適用外治療)となります
根管治療の注意事項(リスク・副作用など)
- 根管治療により類似の全ての症例の問題が解決するわけではなく、症例はあくまでも一例です
- 根管治療により痛みや腫れがひかない事や、術後に痛みや腫れが生じる事、治療によるファイル破折やパーフォレーションなどの偶発症、術後の歯根破折を生じる可能性もあります
- 自費診療(保険適用外)となります
当サイトの内容、テキスト、画像等の無断転載、複製、複写、盗用を固く禁じます。
















