症例詳細
Case detail
大きく歯が欠けた。 外科処置を行ったセラミック治療
治療症例の内容
- 担当医
- 齋藤佑磨(ドクタープロフィール)
- 患者様
- 20代男性
- 治療期間
- 7ヶ月
- 治療回数
- 5-10回
- 治療計画
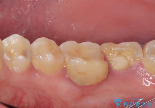
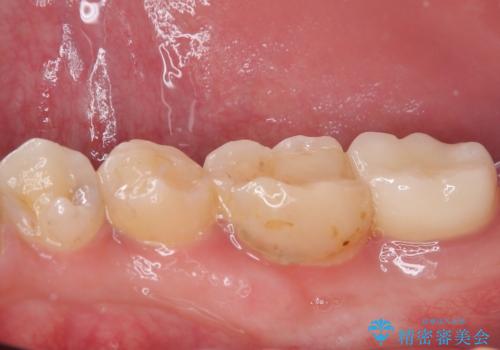
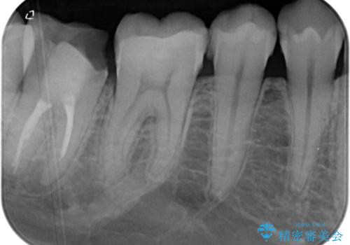
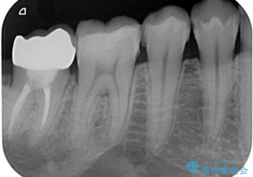
- 右下の奥歯が大きく欠けてしまったのを治したいと来院された患者様です。
舌側の歯冠がなくなってしまっていて、健全な歯質が歯茎の下にある状態です。
このままの状態だと土台がたてられず被せものがいれられないため、歯肉の切除と歯槽骨の形態修正を行い、歯の健全な部分が歯肉の外に出てくるようにしたうえで、オールセラミッククラウンによる補綴治療を行うこととしました。
根管治療のやり替えも提案しましたが、希望されなかったため行いませんでした。
- 費用(概算)
- 19万円(税込)費用は治療当時の料金となります
治療について
この状態で何もせず、虫歯がさらに進行してしまうと歯を抜かずに保存するのが難しくなってしまうことがあるため、虫歯の予防や早期発見が重要です。
セラミック治療の注意事項(リスク・副作用など)
- 天然歯を削ります
- 硬い素材は天然歯を傷つけてしまう場合があります
- かみ合わせや歯ぎしりが強すぎる方はセラミックが割れてしまう可能性があります
- 自費診療(保険適用外治療)となります
外科処置の注意事項(リスク・副作用など)
- 外科手術のため、術後に出血、痛みや腫れ、違和感を伴います
- 口腔内の状態によっては適応できないことがあります
当サイトの内容、テキスト、画像等の無断転載、複製、複写、盗用を固く禁じます。







