症例詳細
Case detail
下顎大臼歯の再根管治療とオールセラミッククラウンによる補綴治療
治療症例の内容
- 診療科目
- 担当医
- 齋藤佑磨(ドクタープロフィール)
- 患者様
- 40代女性
- 治療期間
- 3ヶ月
- 治療回数
- 5-10回
- 治療計画
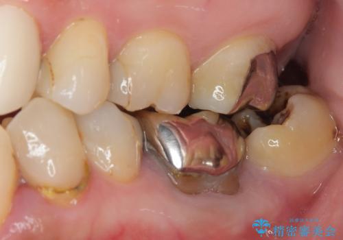
- 10年以上前に治療した銀歯をやり替え希望で来院された患者様です。
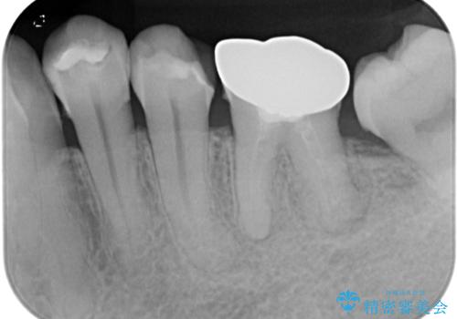
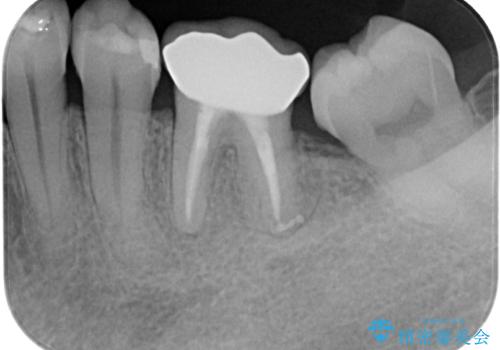
噛んだ時に少し違和感があり、レントゲン上で根尖病変が確認できるため再根管治療を行いました。
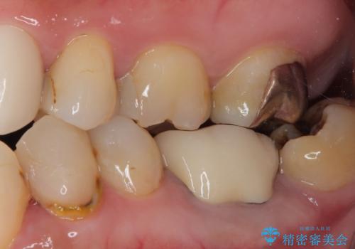
根管治療後は、ファイバーコアによる土台と、オールセラミッククラウンによる補綴治療を行いました。
なお、最後方臼歯が手前に傾いていることで汚れがたまりやすい形態を改善するための矯正治療も提案しましたが、希望されなかったためそのまま補綴治療を行っています。
- 費用(概算)
- 30万円(税込)費用は治療当時の料金となります
治療について
根管治療後、噛んだ時の違和感は消失しました。
歯ブラシだけでは清掃しにくいところは、フロスや歯間ブラシ等の補助的清掃器具が有効です。
セラミック治療の注意事項(リスク・副作用など)
- 天然歯を削ります
- 硬い素材は天然歯を傷つけてしまう場合があります
- かみ合わせや歯ぎしりが強すぎる方はセラミックが割れてしまう可能性があります
- 自費診療(保険適用外治療)となります
根管治療の注意事項(リスク・副作用など)
- 根管治療により類似の全ての症例の問題が解決するわけではなく、症例はあくまでも一例です
- 根管治療により痛みや腫れがひかない事や、術後に痛みや腫れが生じる事、治療によるファイル破折やパーフォレーションなどの偶発症、術後の歯根破折を生じる可能性もあります
- 自費診療(保険適用外)となります
当サイトの内容、テキスト、画像等の無断転載、複製、複写、盗用を固く禁じます。









