症例詳細
Case detail
歯冠長延長術・骨隆起除去を行った、スペースの少ないセラミック治療
治療症例の内容
- 診療科目
 
- 治療カテゴリ
 
- 担当医
 - 大元洋佑(ドクタープロフィール)
 
- 患者様
 - 40代女性
 
- 治療期間
 - 1年
 
- 治療回数
 - 10-30回
 
- 治療計画
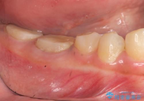
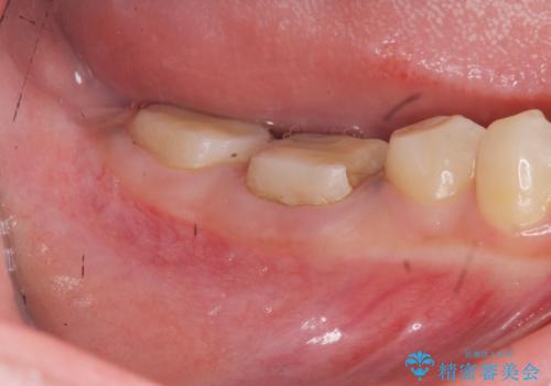
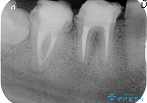
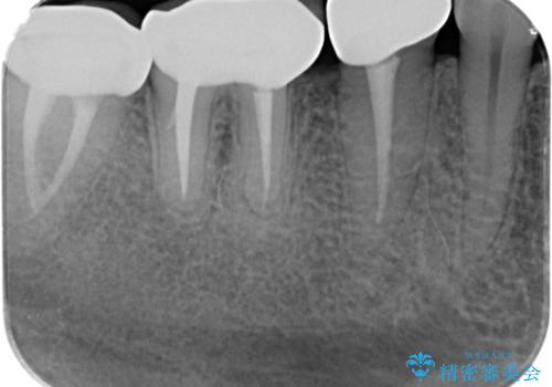
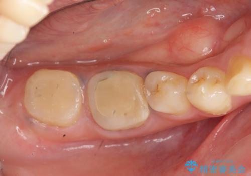
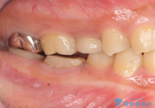
 - 治療途中の奥歯の治療の続きを希望され、来院されました。
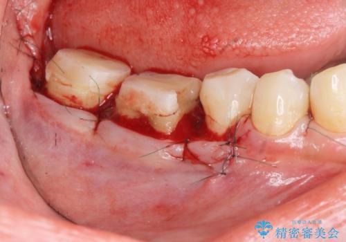
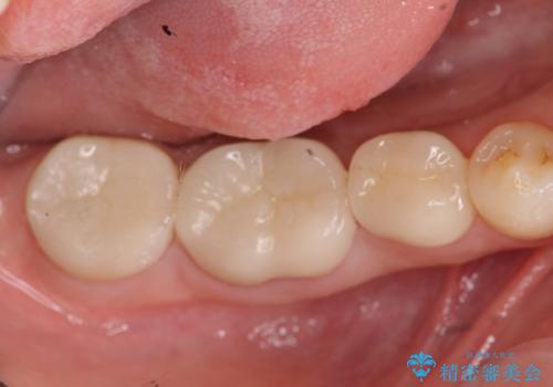
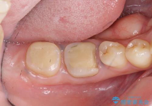
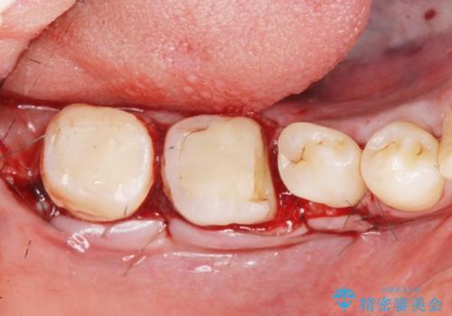
治療途中で長期間放置していたため、歯が歯ぐきから挺出(伸びてくる)してしまい、十分に強度を担保できるセラミッククラウンを装着するスペースが不足した状態です。
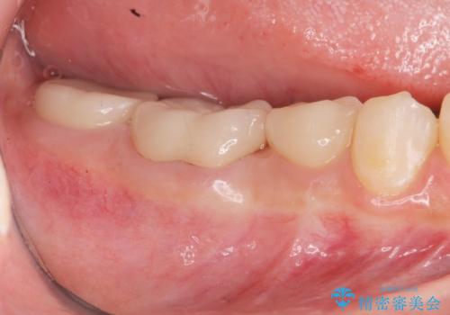
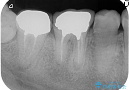
加えて、舌の邪魔になっている骨隆起や根尖病変といった問題を歯周外科・精密根管治療を行い、しっかりとスペースを確保したのちセラミッククラウンを作製していきます。 
- 費用(概算)
 - 37.4万円(ジルコニアクラウン×2・仮歯×2・歯周外科手術)費用は治療当時の料金となります
 
治療について
歯の治療は、やり直しの回数が少なければ少ないほど抜歯のリスクを下げ、長期に予後の良い可能性が高まります。
問題を一つづつ丁寧に解決していくことで、長期的に問題の起きにくい口腔内環境を作り出すことができます。
外科処置の注意事項(リスク・副作用など)
- 外科手術のため、術後に出血、痛みや腫れ、違和感を伴います
 - 口腔内の状態によっては適応できないことがあります
 
セラミック治療の注意事項(リスク・副作用など)
- 天然歯を削ります
 - 硬い素材は天然歯を傷つけてしまう場合があります
 - かみ合わせや歯ぎしりが強すぎる方はセラミックが割れてしまう可能性があります
 - 自費診療(保険適用外治療)となります
 
当サイトの内容、テキスト、画像等の無断転載、複製、複写、盗用を固く禁じます。

                      
                                                          













