症例詳細
Case detail
【インビザライン】歯の本数少ないのにがたつきがある セラミックインレー
治療症例の内容
- 患者様
- 20代男性
- 矯正装置
- インビザライン
- 治療期間
- 1年
- 治療回数
- 10-30回
- 治療計画
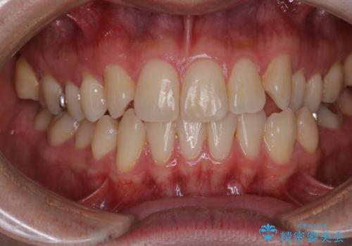
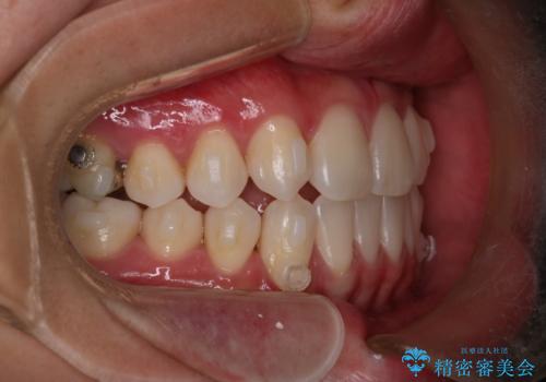
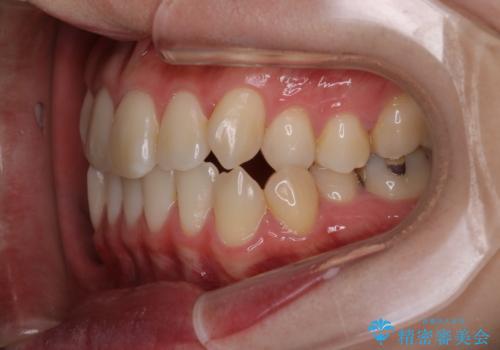
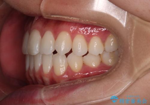
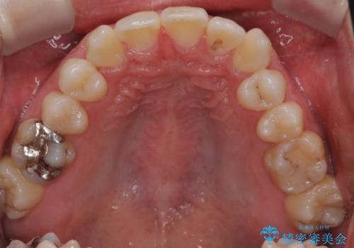
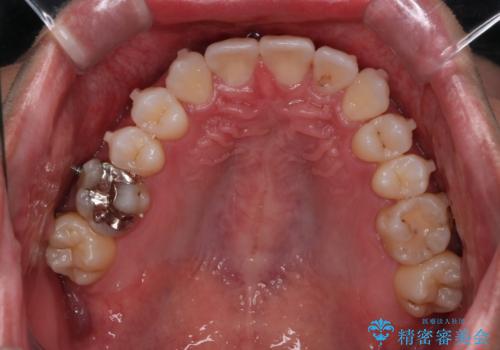
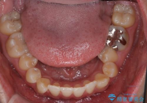
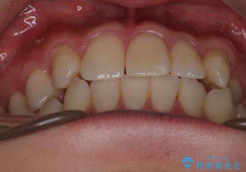
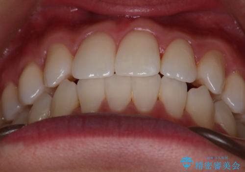
- 右上2番が欠損しており、歯並びをバランスよくしたいということで来院されました。
ワイヤー装置とマウスピースで悩まれていましたが、マウスピースで治療可能と判断致しましたのでマウスピースにて治療しました。
IPR、歯列弓拡大、ゴム掛けを行い歯並びを整える治療計画を立てました。
- 費用(概算)
- 82.5万円(税込)費用は治療当時の料金となります
治療について
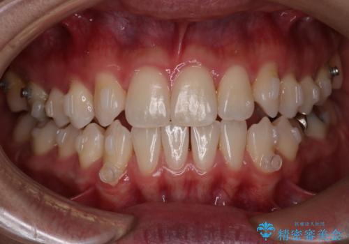
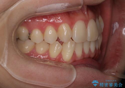
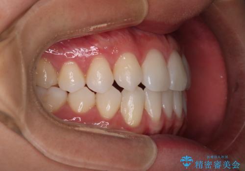
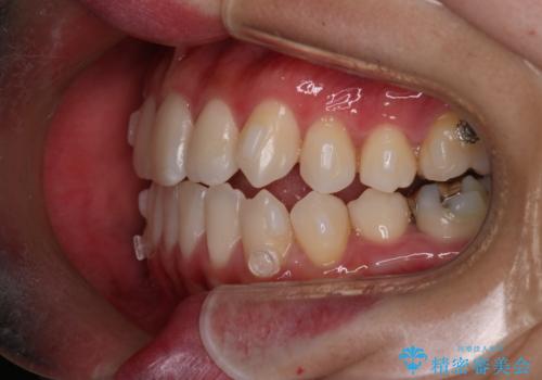
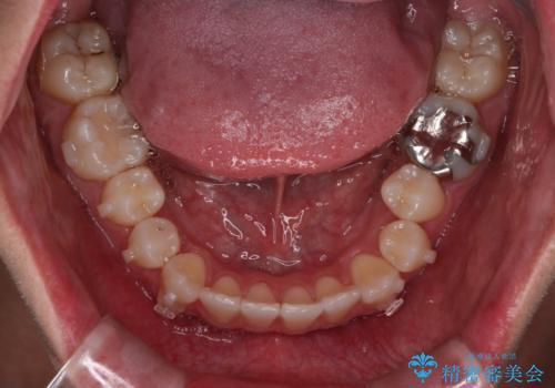
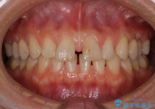
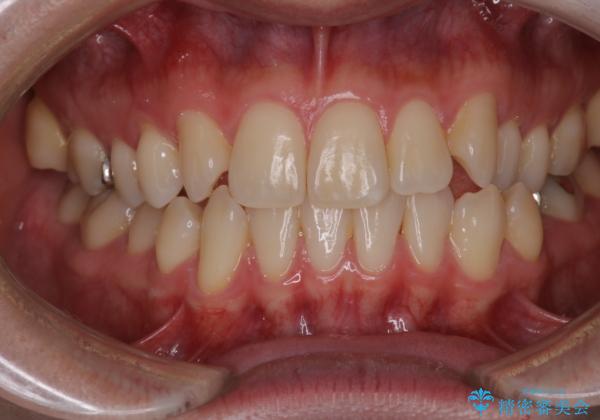
右上2番が欠損しているため、見た目と噛み合わせの両方のバランスを整えるために経過を追いながら必要な部位にゴム掛けをしました。
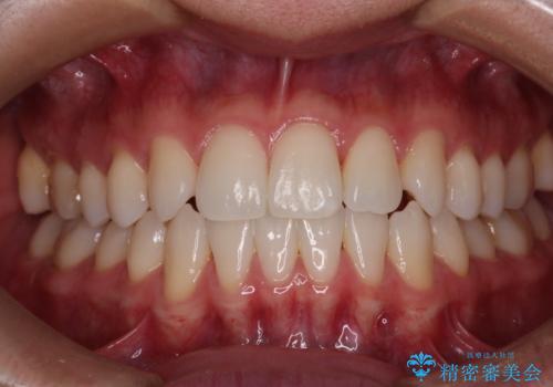
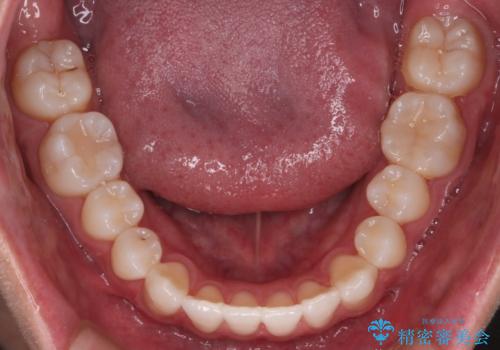
最終的に、見た目も噛み合わせも患者様に満足いただけました。
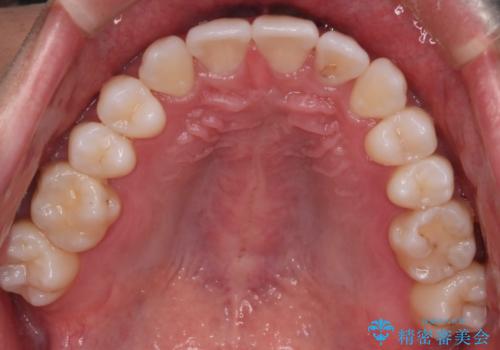
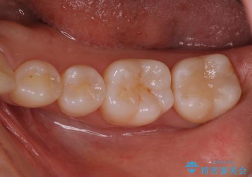
また矯正後、患者様の希望で
メタルインレーをセラミックインレーにやりかえさせていただき、さらに綺麗に仕上がりました。
マウスピース矯正の注意事項(リスク・副作用など)
- 口腔内・歯並びの状態によっては対応できない場合があります
- マウスピース型矯正装置の長時間装着(1日20時間以上)が必須です
- 治療計画通りに進めるためには、患者様の意志が重要になります
- 矯正治療後の保定が不十分だと後戻り(元の位置に戻ろうとする動き)をします
- 薬機法対象外の矯正歯科装置のため医薬品副作用被害救済制度の対象外となる場合があります
- 自費診療(保険適用外)となります
セラミック治療の注意事項(リスク・副作用など)
- 天然歯を削ります
- 硬い素材は天然歯を傷つけてしまう場合があります
- かみ合わせや歯ぎしりが強すぎる方はセラミックが割れてしまう可能性があります
- 自費診療(保険適用外治療)となります
当サイトの内容、テキスト、画像等の無断転載、複製、複写、盗用を固く禁じます。



















