症例詳細
Case detail
がちゃがちゃした前歯をきれいにしたい
治療症例の内容
- 診療科目
- 担当医
- 大元洋佑(ドクタープロフィール)
- 患者様
- 10代男性
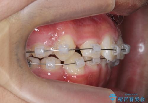
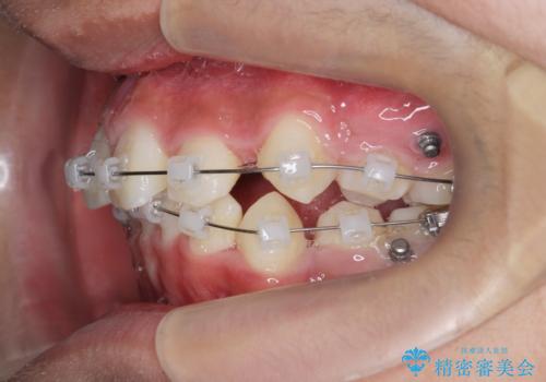
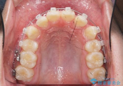
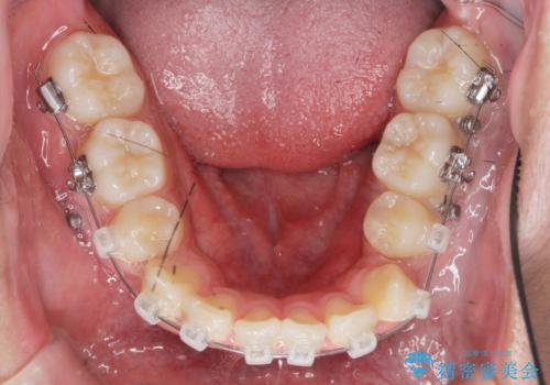
- 矯正装置
- ワイヤー矯正
- 治療期間
- 3年
- 治療回数
- 10-30回
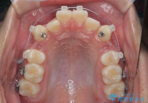
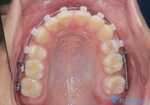
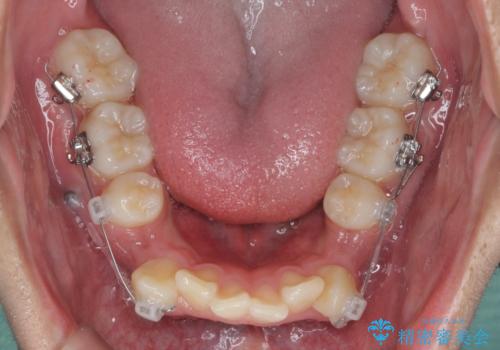
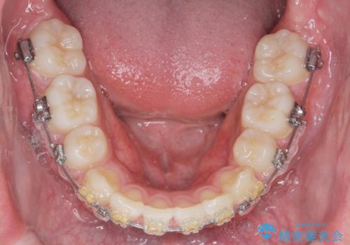
- 治療計画
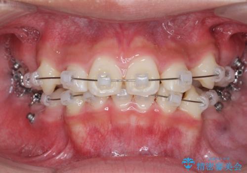
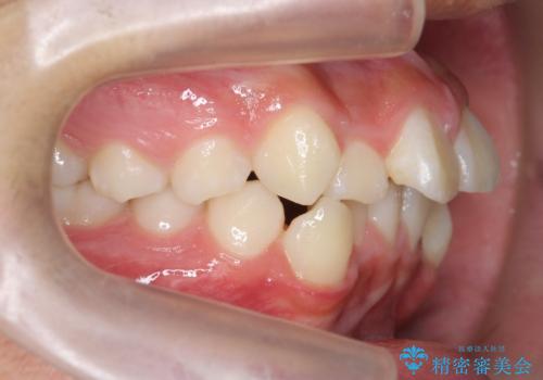
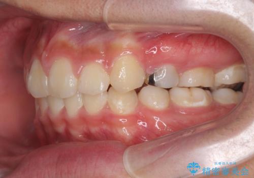
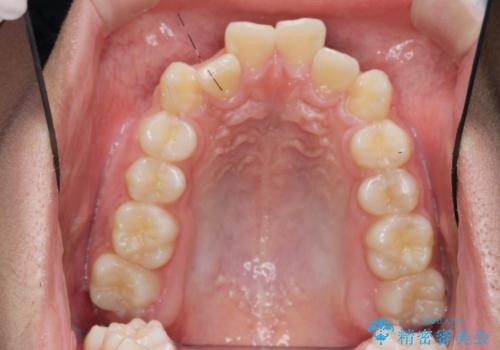
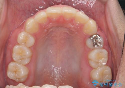
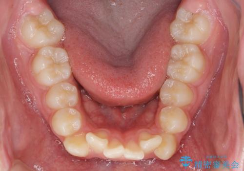
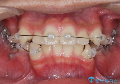
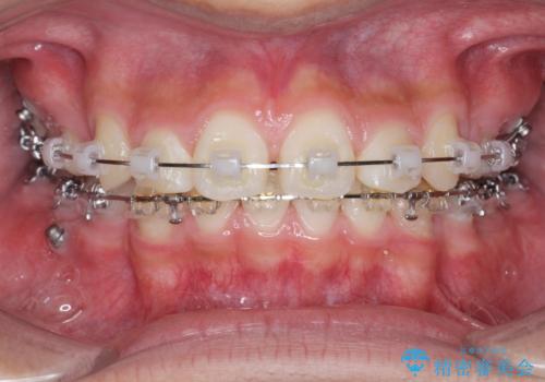
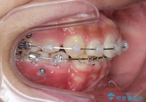
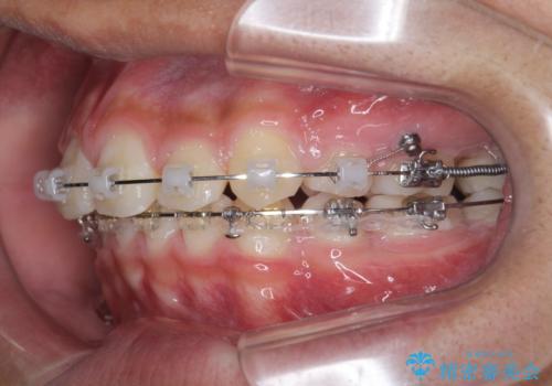
- 前歯のがたつきが原因で歯ブラシしづらい、見た目を改善したい!と矯正治療を希望され来院されました。
スペースの不足が見られるため、小臼歯の4本抜歯を行いマルチブラケットを用いた矯正治療を計画します。
- 費用(概算)
- 110万円費用は治療当時の料金となります
治療について
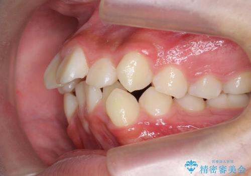
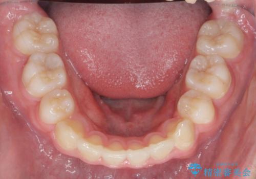
噛み締めが強く、治療に時間がかかりましたが矯正治療の仕上がりに満足いただくことができました。
ワイヤー矯正の注意事項(リスク・副作用など)
- 治療中は違和感や痛みが起こることがあります
- 症状により、抜歯が必要な場合があります
- 治療中は歯磨きがしにくくなるため、虫歯や歯周病になりやすくなります
- 矯正治療後の保定が不十分だと後戻り(元の位置に戻ろうとする動き)をします
- 自費診療(保険適用外)となります
当サイトの内容、テキスト、画像等の無断転載、複製、複写、盗用を固く禁じます。

























