症例詳細
Case detail
見落としやすい虫歯(コンタクトカリエス)を発見|精密診断で早期治療
治療症例の内容
- 診療科目
- 治療カテゴリ
- 担当医
- 河口智英(ドクタープロフィール)
- 患者様
- 30代女性
- 治療期間
- 1ヶ月
- 治療回数
- 5-10回
- 治療計画
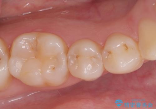
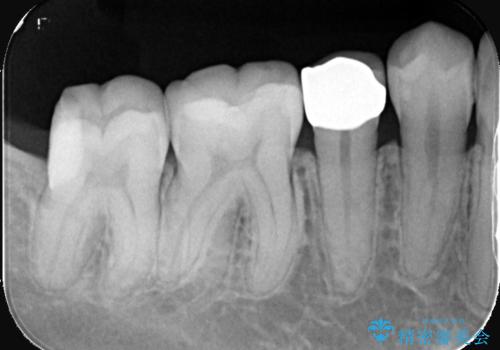
- 患者様は特に痛みはなかったものの、定期検診で虫歯がないか確認したいとのことで来院されました。視診では明らかな虫歯は見当たりませんでしたが、レントゲン検査で歯と歯の間(コンタクトポイント)に虫歯(コンタクトカリエス)を発見。この部分の虫歯は初期では自覚症状が少なく、発見が遅れると治療範囲が広がることがあるため、早期に適切な治療を行う方針としました。
- 費用(概算)
- 7万円費用は治療当時の料金となります
治療について
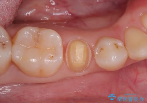
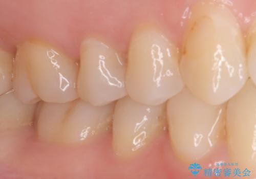
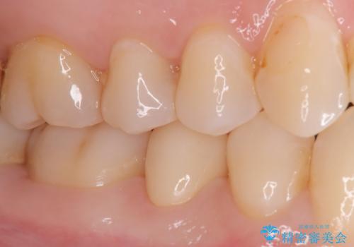
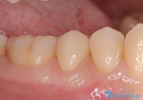
虫歯の部分のみを慎重に削除し、できる限り健康な歯質を残すように配慮しました。その後、強度があり適合性の高いセラミッククラウンを装着し、機能性と審美性の両方を確保。セラミックは変色しにくく、長期的な再発リスクも低減できるため、患者様にも安心していただけました。定期検診を継続することで、今後の虫歯リスクも管理していきます。
セラミック治療の注意事項(リスク・副作用など)
- 天然歯を削ります
- 硬い素材は天然歯を傷つけてしまう場合があります
- かみ合わせや歯ぎしりが強すぎる方はセラミックが割れてしまう可能性があります
- 自費診療(保険適用外治療)となります
当サイトの内容、テキスト、画像等の無断転載、複製、複写、盗用を固く禁じます。









