症例詳細
Case detail
他院で治らなかった根管治療を精密治療で改善|MB2を発見し再治療
治療症例の内容
- 診療科目
- 担当医
- 河口智英(ドクタープロフィール)
- 患者様
- 50代男性
- 治療期間
- 2ヶ月
- 治療回数
- 2-5回
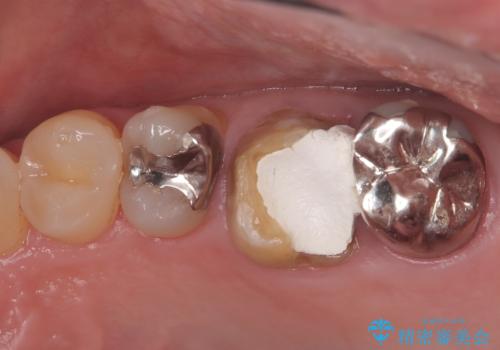
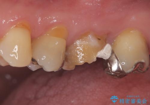
- 治療計画
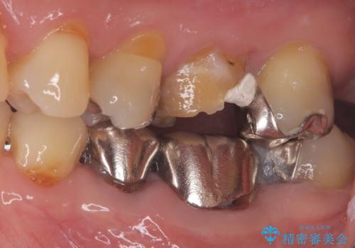
- 患者様は、他院で根管治療を受けていたが、なかなか治らず、より精密な治療を希望して当院を受診されました。マイクロスコープを使用して詳しく診断したところ、上顎第一大臼歯(6番)のMB2(第二頬側根管)の見落としが判明。このままでは感染が残り、再発のリスクが高い状態であるため、当院で精密根管治療を行う方針としました。
- 費用(概算)
- 30万円費用は治療当時の料金となります
治療について
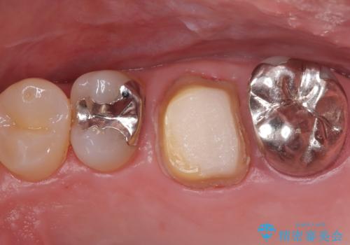
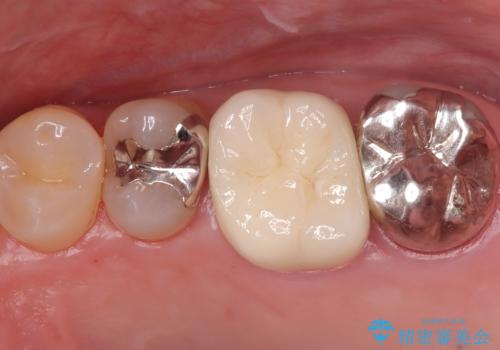
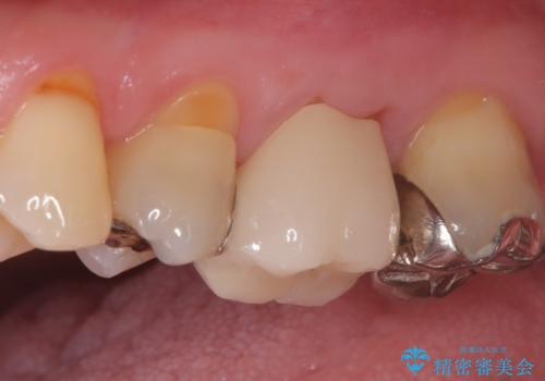
マイクロスコープを使用してMB2を確認し、感染源を徹底的に除去。その後、根管内を清掃・消毒し、高品質な充填材で密閉しました。従来の根管治療では見落とされがちなMB2の発見により、治療の精度が大幅に向上し、炎症の改善が期待できる状態となりました。患者様からは「治療後の違和感がなくなり、しっかり噛めるようになった」と喜びの声をいただきました。
根管治療の注意事項(リスク・副作用など)
- 根管治療により類似の全ての症例の問題が解決するわけではなく、症例はあくまでも一例です
- 根管治療により痛みや腫れがひかない事や、術後に痛みや腫れが生じる事、治療によるファイル破折やパーフォレーションなどの偶発症、術後の歯根破折を生じる可能性もあります
- 自費診療(保険適用外)となります
セラミック治療の注意事項(リスク・副作用など)
- 天然歯を削ります
- 硬い素材は天然歯を傷つけてしまう場合があります
- かみ合わせや歯ぎしりが強すぎる方はセラミックが割れてしまう可能性があります
- 自費診療(保険適用外治療)となります
当サイトの内容、テキスト、画像等の無断転載、複製、複写、盗用を固く禁じます。












