症例詳細
Case detail
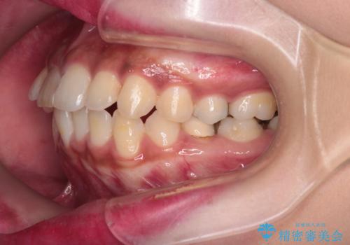
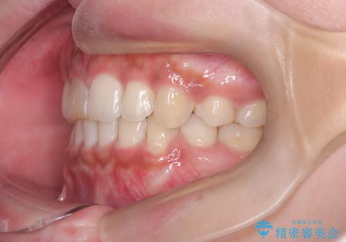
前歯の突出感を改善|上下4本の抜歯と審美ワイヤー矯正でバランスの取れた口元へ
治療症例の内容
- 担当医
- 河口智英(ドクタープロフィール)
- 患者様
- 20代女性
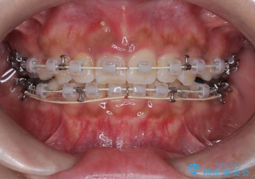
- 矯正装置
- 審美装置
- 治療期間
- 2年
- 治療回数
- 10-30回
- 治療計画
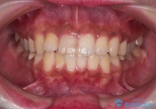
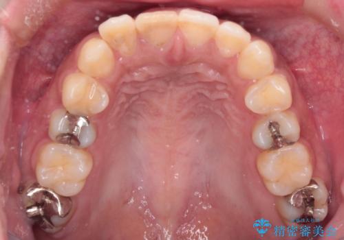
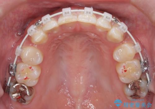
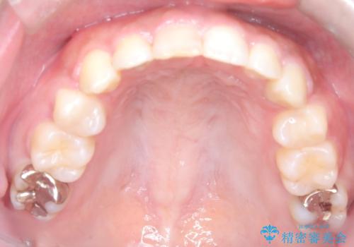
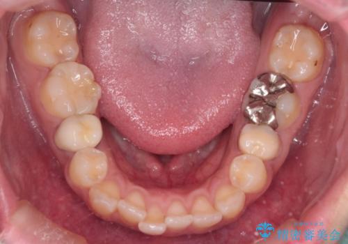
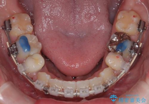
- 患者様は、前歯の突出感を気にされて来院されました。診察の結果、歯列のスペースが不足しており、前歯を後方へ移動させるには抜歯が必要と判断。上下の小臼歯4本を抜歯し、目立ちにくい審美ワイヤー矯正(白いワイヤーと透明ブラケット)を使用して治療を行う計画を立てました。
- 費用(概算)
- 100万円費用は治療当時の料金となります
治療について
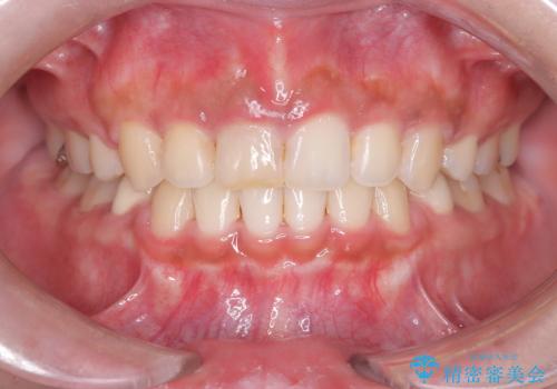
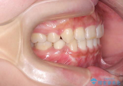
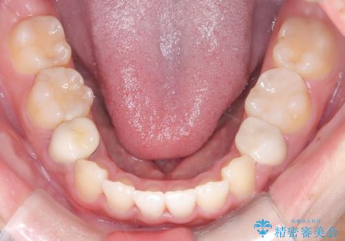
抜歯によって前歯を下げるためのスペースを確保。その後、審美ワイヤー矯正を用いて、歯列全体のバランスを整えながら前歯を後方へ移動させました。治療後は、横顔のラインが整い、自然な口元になったことで、見た目も噛み合わせも改善しました。患者様からは「口元がすっきりして、自信を持って笑えるようになった」と喜びの声をいただきました。
ワイヤー矯正の注意事項(リスク・副作用など)
- 治療中は違和感や痛みが起こることがあります
- 症状により、抜歯が必要な場合があります
- 治療中は歯磨きがしにくくなるため、虫歯や歯周病になりやすくなります
- 矯正治療後の保定が不十分だと後戻り(元の位置に戻ろうとする動き)をします
- 自費診療(保険適用外)となります
当サイトの内容、テキスト、画像等の無断転載、複製、複写、盗用を固く禁じます。















