症例詳細
Case detail
噛むと痛い 奥歯のむし歯治療
治療症例の内容
- 診療科目
- 担当医
- 藤巻太一朗(ドクタープロフィール)
- 患者様
- 30代女性
- 治療期間
- 6ヶ月
- 治療回数
- 5-10回
- 治療計画
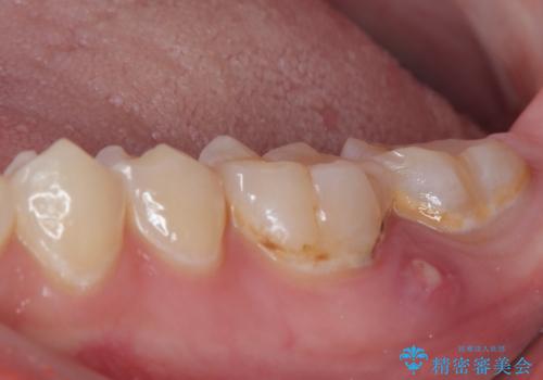
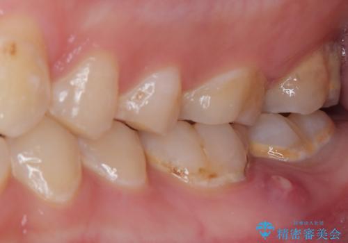
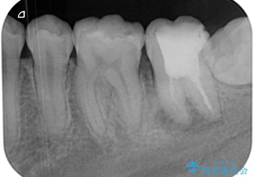
- 食事などで噛んだときに奥歯に痛みを感じるとのことで来院された患者様です。
奥に埋もれている親知らずが原因でむし歯になり、以前に根管治療を行った歯が痛みの原因であり、再度根管治療が必要な状態でした。
根管治療を行った歯は原則としてクラウンによる補綴治療が必要となるため、事前に親知らずを抜歯し、その後根管治療を行うこととしました。
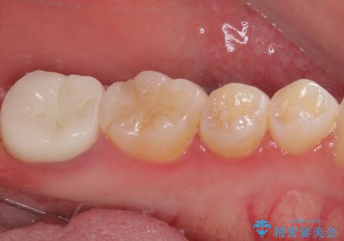
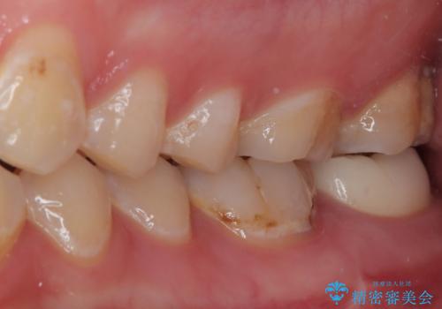
根管治療後は状態を確認し、オールセラミッククラウンにて補綴治療を行うこととしました。
- 費用(概算)
- 治療費の目安: 25万円(税込)費用は治療当時の料金となります
治療について
歯根先端付近の歯槽骨が溶けてるレントゲン像が認められましたが、治療から半年後のレントゲン写真では、消退している様子が認められました。
セラミック治療の注意事項(リスク・副作用など)
- 天然歯を削ります
- 硬い素材は天然歯を傷つけてしまう場合があります
- かみ合わせや歯ぎしりが強すぎる方はセラミックが割れてしまう可能性があります
- 自費診療(保険適用外治療)となります
根管治療の注意事項(リスク・副作用など)
- 根管治療により類似の全ての症例の問題が解決するわけではなく、症例はあくまでも一例です
- 根管治療により痛みや腫れがひかない事や、術後に痛みや腫れが生じる事、治療によるファイル破折やパーフォレーションなどの偶発症、術後の歯根破折を生じる可能性もあります
- 自費診療(保険適用外)となります
当サイトの内容、テキスト、画像等の無断転載、複製、複写、盗用を固く禁じます。











