症例詳細
Case detail
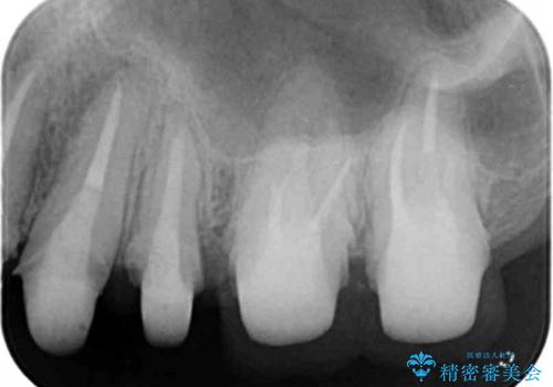
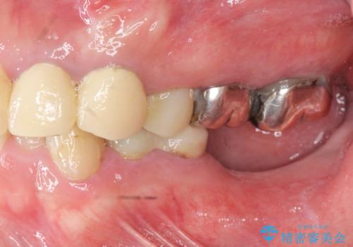
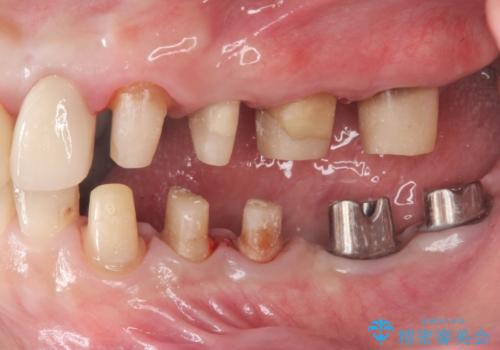
虫歯だらけの歯を治療したい
治療症例の内容
- 患者様
- 40代男性
- 治療期間
- 8ヶ月
- 治療回数
- 10-30回
- 治療計画
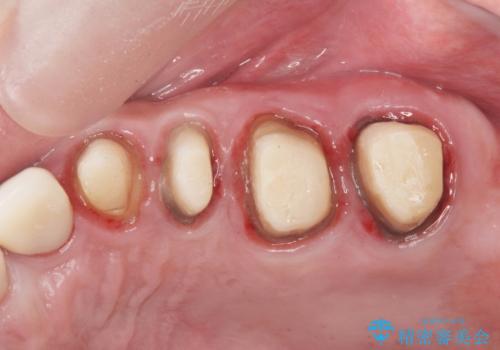
- 「虫歯が多発し、治療が終わらない。歯も無くなったし今後悪くならないような治療をしたい。」と精密治療を希望され来院されました。
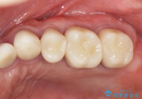
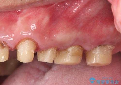
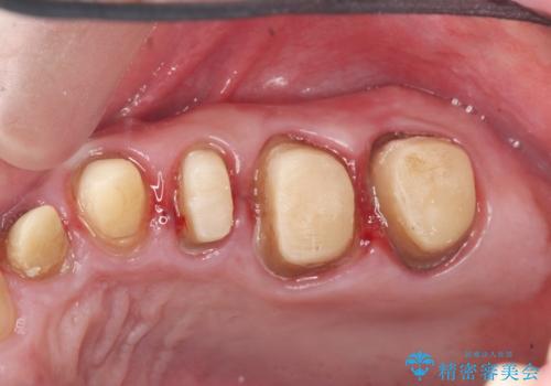
虫歯の徹底的な除去やセラミック補綴、精密根管治療、歯周外科を行うことで、治療後に歯磨きがしやすく、かみやすい機能的な仕上がりへと導きます。
- 費用(概算)
- 63.8万円(ジルコニアクラウン×4・仮歯×4・歯周外科) (上顎左側臼歯4本分の費用)費用は治療当時の料金となります
治療について
歯周外科手術をおこなったことでフェルールも獲得でき、破折リスクをより抑えることにも成功しています。
外科処置の注意事項(リスク・副作用など)
- 外科手術のため、術後に出血、痛みや腫れ、違和感を伴います
- 口腔内の状態によっては適応できないことがあります
セラミック治療の注意事項(リスク・副作用など)
- 天然歯を削ります
- 硬い素材は天然歯を傷つけてしまう場合があります
- かみ合わせや歯ぎしりが強すぎる方はセラミックが割れてしまう可能性があります
- 自費診療(保険適用外治療)となります
当サイトの内容、テキスト、画像等の無断転載、複製、複写、盗用を固く禁じます。

















