症例詳細
Case detail
深い咬み合わせと前歯のデコボコ ワイヤー装置での抜歯矯正
治療症例の内容
- 診療科目
- 担当医
- 藤巻太一朗(ドクタープロフィール)
- 患者様
- 20代男性
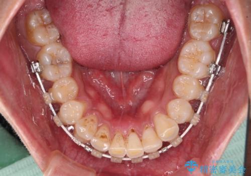
- 矯正装置
- 審美装置
- 治療期間
- 3年3ヶ月
- 治療回数
- 30回以上
- 治療計画
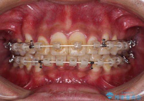
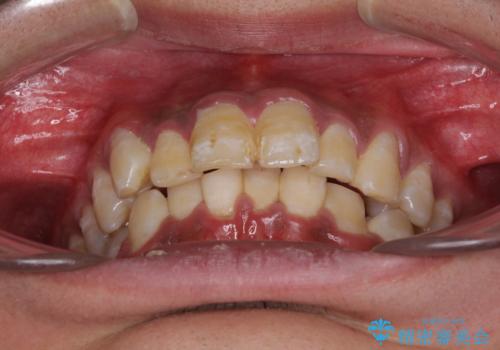
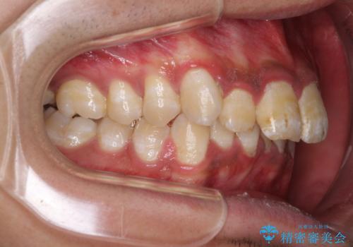
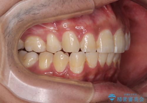
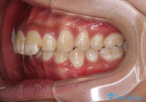
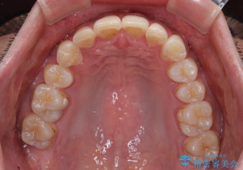
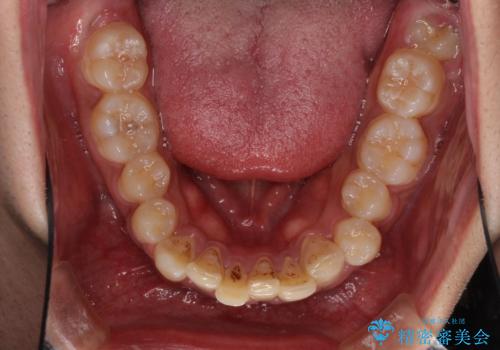
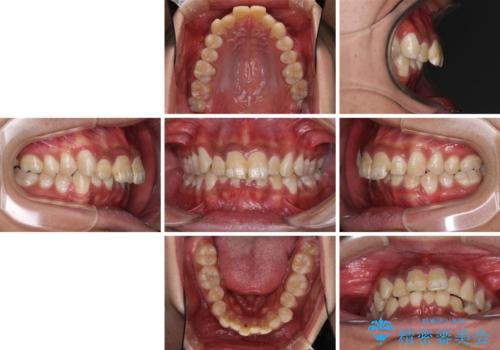
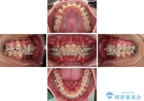
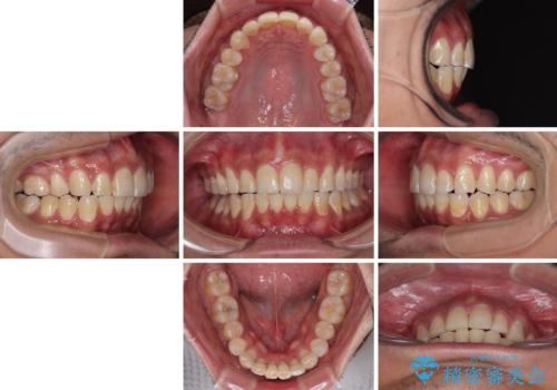
- 深い咬み合わせと前歯のデコボコを改善したいとのことで来院された患者様です。
口元の突出感はないものの、上顎前歯のデコボコが著しく、右側の咬み合わせがずれていたため、上顎右側第一小臼歯1本を抜歯することとしました。
- 費用(概算)
- 治療費の目安: 105万円(税込)費用は治療当時の料金となります
治療について
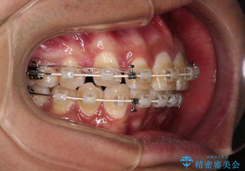
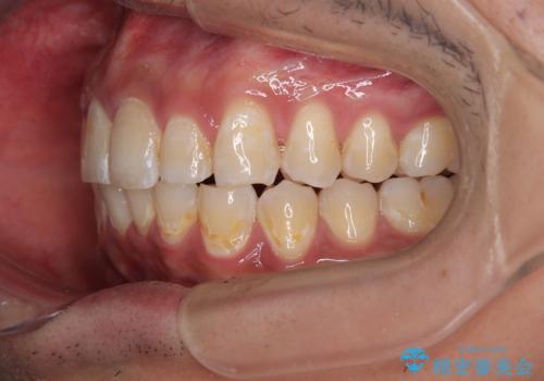
咬合力が非常に強く、抜歯したスペースがなかなか閉じないであろうことは予想できましたが、思っていた以上に期間がかかりました。
前歯のすり減りも著しかったため、仕上げの位置の調整にも期間を要しました。
ワイヤー矯正の注意事項(リスク・副作用など)
- 治療中は違和感や痛みが起こることがあります
- 症状により、抜歯が必要な場合があります
- 治療中は歯磨きがしにくくなるため、虫歯や歯周病になりやすくなります
- 矯正治療後の保定が不十分だと後戻り(元の位置に戻ろうとする動き)をします
- 自費診療(保険適用外)となります
当サイトの内容、テキスト、画像等の無断転載、複製、複写、盗用を固く禁じます。


























